• Tel: 858.663.9055
  • SeparatorEmail: info@nsjbio.com
  • Tel: 858.663.9055
  • Email: info@nsjbio.com
Home >> Antibodies >> OSGIN1 Antibody / Oxidative stress-induced growth inhibitor 1 / BDGI / OKL38

OSGIN1 Antibody / Oxidative stress-induced growth inhibitor 1 / BDGI / OKL38 (RQ7922)

  Catalog No Formulation Size Price (USD)  
Image RQ7922 0.5mg/ml if reconstituted with 0.2ml sterile DI water 100 ug 449
Bulk quote request
Immunofluorescent staining of FFPE human lung cancer tissue with OSGIN1 antibody (red) and DAPI nuclear stain (blue). HIER: steam section in pH8 EDTA buffer for 20 min.
Immunofluorescent staining of FFPE human T-47D cells with OSGIN1 antibody (red) and Tubulin Beta mAb (green). HIER: steam section in pH6 citrate buffer for 20 min.
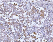
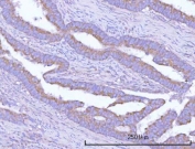
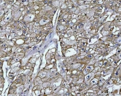
IHC staining of FFPE human lung adenocarcinoma tissue with OSGIN1 antibody. HIER: boil tissue sections in pH8 EDTA for 20 min and allow to cool before testing.
IHC staining of FFPE human testicular seminoma tissue with OSGIN1 antibody. HIER: boil tissue sections in pH8 EDTA for 20 min and allow to cool before testing.
IHC staining of FFPE human liver cancer tissue with OSGIN1 antibody. HIER: boil tissue sections in pH8 EDTA for 20 min and allow to cool before testing.
IHC staining of FFPE human colon adenocarcinoma tissue with OSGIN1 antibody. HIER: boil tissue sections in pH8 EDTA for 20 min and allow to cool before testing.
Western blot testing of human 1) HepG2, 2) T-47D and 3) A549 cell lysate with OSGIN1 antibody. Predicted molecular weight ~52 kDa.
Availability 1-3 business days
Species Reactivity Human
Format Antigen affinity purified
Host Rabbit
Clonality Polyclonal (rabbit origin)
Isotype Rabbit IgG
Purity Antigen affinity purified
Buffer Lyophilized from 1X PBS with 2% Trehalose
UniProt Q9UJX0
Localization Nuclear, cytoplasmic
Applications Western Blot : 0.5-1ug/ml
Immunohistochemistry (FFPE) : 2-5ug/ml
Immunofluorescence (FFPE) : 5ug/ml
Direct ELISA : 0.1-0.5ug/ml
Limitations This OSGIN1 antibody is available for research use only.
Review this product on BioCompare and get a $20 Amazon gift card

Description

This gene encodes an oxidative stress response protein that regulates cell death. Expression of the gene is regulated by p53 and is induced by DNA damage. The protein regulates apoptosis by inducing cytochrome c release from mitochondria. It also appears to be a key regulator of both inflammatory and anti-inflammatory molecules. The loss of this protein correlates with uncontrolled cell growth and tumor formation. Naturally occurring read-through transcription exists between this gene and the neighboring upstream malonyl-CoA decarboxylase (MLYCD) gene, but the read-through transcripts are unlikely to produce a protein product.

Application Notes

Optimal dilution of the OSGIN1 antibody should be determined by the researcher.

Immunogen

E. coli-derived recombinant human protein (amino acids M1-Q439) was used as the immunogen for the OSGIN1 antibody.

Storage

After reconstitution, the OSGIN1 antibody can be stored for up to one month at 4oC. For long-term, aliquot and store at -20oC. Avoid repeated freezing and thawing.

Cross
Bulk Quote Request Form
Name*:
Organization*:
Email*:
Phone Number*:
Catalog No.*:
Comments and Specifics(amount, formulation, etc.)*:
Validation code: Captchapackage Image


Can't read the image? click here to refresh.
    *required field

Your bulk quote request has been submitted successfully!

Please contact us if you have any questions.