• Tel: 858.663.9055
  • SeparatorEmail: info@nsjbio.com
  • Tel: 858.663.9055
  • Email: info@nsjbio.com
Home >> Antibodies >> ORM1 Antibody / Orosomucoid 1

ORM1 Antibody / Orosomucoid 1 (R32415)

  Catalog No Formulation Size Price (USD)  
Image R32415 0.5mg/ml if reconstituted with 0.2ml sterile DI water 100 ug 449
Bulk quote request
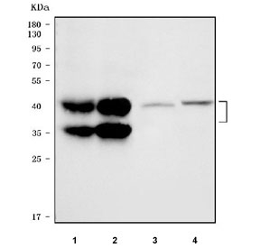
Western blot testing of 1) human HCCT, 2) human HCCP, 3) rat liver and 4) mouse liver tissue lysate with ORM1 antibody. Expected molecular weight: 24/41-60 kDa (unmodified/glycosylated).
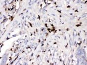
IHC testing of FFPE human intestinal cancer tissue with ORM1 antibody. HIER: Boil the paraffin sections in pH 6, 10mM citrate buffer for 20 minutes and allow to cool prior to testing.
Availability 1-3 business days
Species Reactivity Human, Mouse, Rat
Format Antigen affinity purified
Host Rabbit
Clonality Polyclonal (rabbit origin)
Isotype Rabbit IgG
Purity Antigen affinity
Buffer Lyophilized from 1X PBS with 2.5% BSA and 0.025% sodium azide
UniProt P02763
Localization Cytoplasmic
Applications Western Blot : 0.1-0.5ug/ml
IHC (FFPE) : 0.5-1ug/ml
ELISA : 0.1-0.5ug/ml (human protein tested); request BSA-free format for coating
Limitations This ORM1 antibody is available for research use only.
Review this product on BioCompare and get a $20 Amazon gift card

Description

Alpha-1-acid glycoprotein 1 is a protein that in humans is encoded by the ORM1 gene. The structural gene for orosomucoid (ORM1) is assigned to the end of the long arm of chromosome 9 by demonstration of linkage to ABO and AK1. This gene encodes a key acute phase plasma protein. Because of its increase due to acute inflammation, this protein is classified as an acute-phase reactant. The specific function of this protein has not yet been determined; however, it may be involved in aspects of immunosuppression.

Application Notes

Optimal dilution of the ORM1 antibody should be determined by the researcher.

Immunogen

Amino acids Q19-S201 from the human protein were used as the immunogen for the ORM1 antibody.

Storage

After reconstitution, the ORM1 antibody can be stored for up to one month at 4oC. For long-term, aliquot and store at -20oC. Avoid repeated freezing and thawing.

Cross
Bulk Quote Request Form
Name*:
Organization*:
Email*:
Phone Number*:
Catalog No.*:
Comments and Specifics(amount, formulation, etc.)*:
Validation code: Captchapackage Image


Can't read the image? click here to refresh.
    *required field

Your bulk quote request has been submitted successfully!

Please contact us if you have any questions.