• Tel: 858.663.9055
  • SeparatorEmail: info@nsjbio.com
  • Tel: 858.663.9055
  • Email: info@nsjbio.com
Home >> Antibodies >> ORC2 Antibody / Origin recognition complex subunit 2

ORC2 Antibody / Origin recognition complex subunit 2 (FY12600)

  Catalog No Formulation Size Price (USD)  
Image FY12600 Adding 0.2 ml of distilled water will yield a concentration of 500 ug/ml 100 ug 449
Bulk quote request
Western blot analysis of ORC2 using anti-ORC2 antibody. Lane 1: human HepG2 whole cell lysates, Lane 2: human Hela whole cell lysates, Lane 3: human 293T whole cell lysates, Lane 4: human U20S whole cell lysates. After electrophoresis, proteins were transferred to a nitrocellulose membrane at 150 mA for 50-90 minutes. Blocked the membrane with 5% non-fat milk/TBS for 1.5 hour at RT. The membrane was incubated with rabbit anti-ORC2 antibody at 0.5 ug/ml overnight at 4oC, then washed with TBS-0.1%Tween 3 times with 5 minutes each and probed with a goat anti-rabbit IgG-HRP secondary antibody at a dilution of 1:5000 for 1.5 hour at RT. The signal was developed using enhanced chemiluminescent. Western blot analysis of multiple cell and tissue lysates probed with anti-ORC2 shows a major band at ~74 kDa, slightly higher than the predicted ~68 kDa, consistent with phosphorylated ORC2. Additional weaker upper and lower bands represent differential phosphorylation states associated with cell-cycle regulation.
Western blot analysis of ORC2 using anti-ORC2 antibody. Lane 1: human MCF-7 whole cell lysates, Lane 2: human PC-3 whole cell lysates, Lane 3: human whole cell lysates, Lane 4: human whole cell lysates, Lane 5: rat testis tissue lysates, Lane 6: rat PC-12 whole cell lysates, Lane 7: mouse testis tissue lysates, Lane 8: mouse NIH/3T3 whole cell lysates. After electrophoresis, proteins were transferred to a nitrocellulose membrane at 150 mA for 50-90 minutes. Blocked the membrane with 5% non-fat milk/TBS for 1.5 hour at RT. The membrane was incubated with rabbit anti-ORC2 antibody at 0.25 ug/ml overnight at 4oC, then washed with TBS-0.1%Tween 3 times with 5 minutes each and probed with a goat anti-rabbit IgG-HRP secondary antibody at a dilution of 1:5000 for 1.5 hour at RT. The signal was developed using enhanced chemiluminescent. Western blot analysis of multiple cell and tissue lysates probed with anti-ORC2 shows a major band at ~74 kDa, slightly higher than the predicted ~68 kDa, consistent with phosphorylated ORC2. Additional weaker upper and lower bands represent differential phosphorylation states associated with cell-cycle regulation.
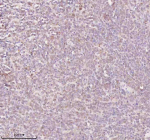
Immunohistochemical staining of ORC2 using anti-ORC2 antibody. ORC2 was detected in a paraffin-embedded section of diffuse large B-cell lymphoma of human intestine tissue. Heat mediated antigen retrieval was performed in EDTA buffer (pH 8.0, epitope retrieval solution). The tissue section was blocked with 10% goat serum. The tissue section was then incubated with 2 ug/ml rabbit anti-ORC2 antibody overnight at 4oC. Peroxidase Conjugated Goat Anti-rabbit IgG was used as secondary antibody and incubated for 30 minutes at 37oC. The tissue section was developed using an HRP secondary and DAB substrate.
Immunohistochemical staining of ORC2 using anti-ORC2 antibody. ORC2 was detected in a paraffin-embedded section of diffuse large B-cell lymphoma of human intestine tissue. Heat mediated antigen retrieval was performed in EDTA buffer (pH 8.0, epitope retrieval solution). The tissue section was blocked with 10% goat serum. The tissue section was then incubated with 2 ug/ml rabbit anti-ORC2 antibody overnight at 4oC. Peroxidase Conjugated Goat Anti-rabbit IgG was used as secondary antibody and incubated for 30 minutes at 37oC. The tissue section was developed using an HRP secondary and DAB substrate.
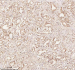
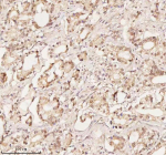
Immunohistochemical staining of ORC2 using anti-ORC2 antibody. ORC2 was detected in a paraffin-embedded section of human prostate adenocarcinoma tissue. Heat mediated antigen retrieval was performed in EDTA buffer (pH 8.0, epitope retrieval solution). The tissue section was blocked with 10% goat serum. The tissue section was then incubated with 2 ug/ml rabbit anti-ORC2 antibody overnight at 4oC. Peroxidase Conjugated Goat Anti-rabbit IgG was used as secondary antibody and incubated for 30 minutes at 37oC. The tissue section was developed using an HRP secondary and DAB substrate.
Immunohistochemical staining of ORC2 using anti-ORC2 antibody. ORC2 was detected in a paraffin-embedded section of human prostate adenocarcinoma tissue. Heat mediated antigen retrieval was performed in EDTA buffer (pH 8.0, epitope retrieval solution). The tissue section was blocked with 10% goat serum. The tissue section was then incubated with 2 ug/ml rabbit anti-ORC2 antibody overnight at 4oC. Peroxidase Conjugated Goat Anti-rabbit IgG was used as secondary antibody and incubated for 30 minutes at 37oC. The tissue section was developed using an HRP secondary and DAB substrate.
Immunofluorescent staining of ORC2 using anti-ORC2 antibody (red) and anti-Beta Tubulin antibody (green). ORC2 was detected in immunocytochemical section of cell. Enzyme antigen retrieval was performed using IHC enzyme antigen retrieval reagent for 15 mins. The cells were blocked with 10% goat serum. And then incubated with 5 ug/ml rabbit anti-ORC2 antibody and mouse anti-Beta Tubulin antibody overnight at 4oC. Cy3 Conjugated Goat Anti-Rabbit IgG and FITC Conjugated Goat Anti-Mouse IgG were used as secondary antibody at 1:500 dilution and incubated for 30 minutes at 37oC. Visualize using a fluorescence microscope and filter sets appropriate for the label used.
Flow Cytometry analysis of HepG2 cells using anti-ORC2 antibody. Overlay histogram showing HepG2 cells stained with (Blue line). To facilitate intracellular staining, cells were fixed with 4% paraformaldehyde and permeabilized with permeabilization buffer. The cells were blocked with 10% normal goat serum. And then incubated with rabbit anti-ORC2 antibody (1 ug/million cells) for 30 min at 20oC. DyLight 488 conjugated goat anti-rabbit IgG (5-10 ug/million cells) was used as secondary antibody for 30 minutes at 20oC. Isotype control antibody (Green line) was rabbit IgG (1 ug/million cells) used under the same conditions. Unlabelled sample (Red line) was also used as a control.
Availability 1-2 days
Species Reactivity Human, Mouse, Rat
Format Lyophilized
Host Rabbit
Clonality Polyclonal (rabbit origin)
Isotype Rabbit IgG
Purity Immunogen affinity purified
Buffer Each vial contains 4 mg Trehalose, 0.9 mg NaCl, 0.2 mg Na2HPO4.
UniProt Q13416
Applications Western Blot : 0.25-0.5ug/ml
Immunohistochemistry : 2-5ug/ml
Immunocytochemistry : 5ug/ml
Immunofluorescence : 5ug/ml
Flow Cytometry : 1-3ug/million cells
ELISA : 0.1-0.5ug/ml
Limitations This ORC2 antibody is available for research use only.
Review this product on BioCompare and get a $20 Amazon gift card

Description

ORC2 antibody detects Origin recognition complex subunit 2, a component of the six-subunit origin recognition complex (ORC) that initiates DNA replication. ORC2 binds replication origins throughout the genome, marking them for pre-replicative complex assembly and ensuring precise duplication of the genome each cell cycle. The ORC2 antibody is used extensively in molecular biology, replication, and cell cycle research to study DNA replication initiation and checkpoint control.

ORC2 is encoded by the ORC2 gene on human chromosome 2q23.1. The protein is approximately 577 amino acids long and functions as part of the core ORC complex with ORC1, ORC3, ORC4, ORC5, and ORC6. ORC2 contributes to the stability and chromatin association of the complex, anchoring it to replication origins during G1 phase. Its binding provides a platform for recruitment of CDC6, CDT1, and the MCM helicase complex required for origin licensing.

The ORC2 antibody detects a 72 kilodalton protein by western blot and demonstrates nuclear punctate staining consistent with replication foci. ORC2 remains bound to chromatin through most of the cell cycle, although its activity is regulated by phosphorylation and proteasomal turnover. Disruption of ORC2 function leads to replication defects, genomic instability, and cell cycle arrest.

In addition to replication initiation, ORC2 participates in heterochromatin organization and transcriptional silencing. ORC2 interacts with chromatin modifiers such as HP1 and histone methyltransferases to maintain heterochromatin boundaries. Deficiency of ORC2 causes chromosomal breaks and increased sensitivity to replication stress, linking replication initiation to genome integrity.

Because ORC2 is fundamental to DNA replication and chromatin architecture, it serves as a valuable marker for replication initiation studies. NSJ Bioreagents provides a validated ORC2 antibody optimized for western blot, immunofluorescence, and immunohistochemistry, supporting research into DNA replication origin function, licensing, and genomic maintenance.

Application Notes

Optimal dilution of the ORC2 antibody should be determined by the researcher.

Immunogen

E.coli-derived human ORC2 recombinant protein (Position: E130-R493) was used as the immunogen for the ORC2 antibody.

Storage

After reconstitution, the ORC2 antibody can be stored for up to one month at 4oC. For long-term, aliquot and store at -20oC. Avoid repeated freezing and thawing.

Cross
Bulk Quote Request Form
Name*:
Organization*:
Email*:
Phone Number*:
Catalog No.*:
Comments and Specifics(amount, formulation, etc.)*:
Validation code: Captchapackage Image


Can't read the image? click here to refresh.
    *required field

Your bulk quote request has been submitted successfully!

Please contact us if you have any questions.