• Tel: 858.663.9055
  • SeparatorEmail: info@nsjbio.com
  • Tel: 858.663.9055
  • Email: info@nsjbio.com
Home >> Antibodies >> ORAI2 Antibody

ORAI2 Antibody (RQ5833)

  Catalog No Formulation Size Price (USD)  
Image RQ5833 0.5mg/ml if reconstituted with 0.2ml sterile DI water 100 ug 449
Bulk quote request
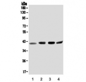
Western blot testing of human 1) A375, 2) Jurkat, 3) HepG2 and 4) K562 lysate with ORAI2 antibody. Predicted molecular weight: 28 kDa but may be observed higher due to glycosylation.
Availability 1-3 business days
Species Reactivity Human
Format Antigen affinity purified
Host Rabbit
Clonality Polyclonal (rabbit origin)
Isotype Rabbit IgG
Purity Affinity purified
Buffer Lyophilized from 1X PBS with 2% Trehalose and 0.025% sodium azide
UniProt Q96SN7
Applications Western Blot : 0.5-1ug/ml
Direct ELISA : 0.1-0.5ug/ml
Limitations This ORAI2 antibody is available for research use only.
Review this product on BioCompare and get a $20 Amazon gift card

Description

Protein orai-2 is a protein that in humans is encoded by the ORAI2 gene. Orai2 transcripts are predominantly expressed in kidney, lung, and spleen, and it appears that Orai2 is the only Orai isoform with multiple transcripts. Co-expresssion of Orai2 and STIM1 was shown to produce currents that appear similar but smaller than those produced by co-expression of Orai1 and STIM1.

Application Notes

Optimal dilution of the ORAI2 antibody should be determined by the researcher.

Immunogen

Recombinant human protein (amino acids H21-L254) was used as the immunogen for the ORAI2 antibody.

Storage

After reconstitution, the ORAI2 antibody can be stored for up to one month at 4oC. For long-term, aliquot and store at -20oC. Avoid repeated freezing and thawing.

Cross
Bulk Quote Request Form
Name*:
Organization*:
Email*:
Phone Number*:
Catalog No.*:
Comments and Specifics(amount, formulation, etc.)*:
Validation code: Captchapackage Image


Can't read the image? click here to refresh.
    *required field

Your bulk quote request has been submitted successfully!

Please contact us if you have any questions.