• Tel: 858.663.9055
  • SeparatorEmail: info@nsjbio.com
  • Tel: 858.663.9055
  • Email: info@nsjbio.com
Home >> Antibodies >> OPA1 Antibody

OPA1 Antibody (R31823)

  Catalog No Formulation Size Price (USD)  
Image R31823 0.5mg/ml if reconstituted with 0.2ml sterile DI water 100 ug 449
Bulk quote request
Immunofluorescent staining of FFPE human U-2 OS cells with OPA1 antibody (red) and DAPI nuclear stain (blue). HIER: steam section in pH6 citrate buffer for 20 min.
IHC testing of FFPE human lung cancer tissue with OPA1 antibody. HIER: Boil the paraffin sections in pH 6, 10mM citrate buffer for 20 minutes and allow to cool prior to staining.
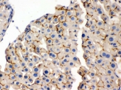
IHC testing of FFPE mouse liver with OPA1 antibody. HIER: Boil the paraffin sections in pH 6, 10mM citrate buffer for 20 minutes and allow to cool prior to staining.
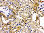
IHC testing of FFPE rat kidney with OPA1 antibody. HIER: Boil the paraffin sections in pH 6, 10mM citrate buffer for 20 minutes and allow to cool prior to staining.
Western blot testing of human 1) MCF7, 2) PANC-1, 3) PC-3 and 4) T-47D lysate with OPA1 antibody. Predicted molecular weight: 111-120 kDa with multiple smaller isoforms from 81-95 kDa.
Western blot testing of 1) rat brain, 2) mouse brain, 3) mouse heart and 4) mouse NIH 3T3 lysate with OPA1 antibody. Predicted molecular weight: 111-120 kDa with multiple smaller isoforms from 81-95 kDa.
Flow cytometry testing of human U-2 OS cells with OPA1 antibody at 1ug/million cells (blocked with goat sera); Red=cells alone, Green=isotype control, Blue= OPA1 antibody.
Availability 1-3 business days
Species Reactivity Human, Mouse, Rat
Format Antigen affinity purified
Host Rabbit
Clonality Polyclonal (rabbit origin)
Isotype Rabbit IgG
Purity Antigen affinity
Buffer Lyophilized from 1X PBS with 2.5% BSA and 0.025% sodium azide
UniProt O60313
Localization Cytoplasmic, membrane
Applications Western Blot : 0.1-0.5ug/ml
Immunohistochemistry (FFPE) : 0.5-1ug/ml
Immunofluorescence : 2-4ug/ml
Flow Cytometry : 1-3ug/million cells
Limitations This OPA1 antibody is available for research use only.
Review this product on BioCompare and get a $20 Amazon gift card

Related Products

Description

Dynamin-like 120 kDa protein, mitochondrial is a protein that in humans is encoded by the OPA1 gene. It is mapped to 3q29. This protein regulates mitochondrial fusion and cristae structure in the inner mitochondrial membrane (IMM) and contributes to ATP synthesis and apoptosis. This gene product is a nuclear-encoded mitochondrial protein with similarity to dynamin-related GTPases. It is a component of the mitochondrial network. Mutations in this gene have been associated with optic atrophy type 1, which is a dominantly inherited optic neuropathy resulting in progressive loss of visual acuity, leading in many cases to legal blindness. Multiple transcript variants encoding different isoforms have been found for this gene.

Application Notes

Optimal dilution of the OPA1 antibody should be determined by the researcher.

Immunogen

Amino acids EDGEKKIKLLTGKRVQLAEDLKKVREIQEKLDAFIEA of human OPA1 were used as the immunogen for the OPA1 antibody.

Storage

After reconstitution, the OPA1 antibody can be stored for up to one month at 4oC. For long-term, aliquot and store at -20oC. Avoid repeated freezing and thawing.

Cross
Bulk Quote Request Form
Name*:
Organization*:
Email*:
Phone Number*:
Catalog No.*:
Comments and Specifics(amount, formulation, etc.)*:
Validation code: Captchapackage Image


Can't read the image? click here to refresh.
    *required field

Your bulk quote request has been submitted successfully!

Please contact us if you have any questions.