• Tel: 858.663.9055
  • SeparatorEmail: info@nsjbio.com
  • Tel: 858.663.9055
  • Email: info@nsjbio.com
Home >> Antibodies >> Opa-interacting Protein 4 Antibody / Tumor Antigen

Opa-interacting Protein 4 Antibody / Tumor Antigen [clone PRAME/9189] (V5572)

  Catalog No Formulation Size Price (USD)  
Image V5572-100UG 0.2 mg/ml in 1X PBS with 0.1 mg/ml BSA (US sourced), 0.05% sodium azide 100 ug 559
Image
V5572-20UG 0.2 mg/ml in 1X PBS with 0.1 mg/ml BSA (US sourced), 0.05% sodium azide 20 ug 259
Image
V5572SAF-100UG 1 mg/ml in 1X PBS; BSA free, sodium azide free 100 ug 559
Bulk quote request
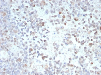
Opa-interacting Protein 4 Antibody Tumor IHC. Immunohistochemistry analysis of FFPE human tumor tissue stained with Opa-interacting Protein 4 Antibody / Tumor Antigen clone PRAME/9189. Tumor cell populations demonstrate variable nuclear HRP-DAB brown staining consistent with expression of Opa-interacting protein 4 / PRAME, a cancer-testis antigen associated with tumor-associated immune signaling and transcriptional regulation pathways commonly elevated in malignant tissues.
SDS-PAGE analysis of purified, BSA-free Opa-interacting protein 4 antibody (clone PRAME/9189) as confirmation of integrity and purity.
Opa-interacting Protein 4 Antibody Human Lung WB. Western blot analysis of human lung tissue lysate using Opa-interacting Protein 4 Antibody / Tumor Antigen clone PRAME/9189. A distinct band is detected at approximately 58-60 kDa, consistent with the expected molecular weight of Opa-interacting protein 4 / PRAME, a cancer-testis antigen involved in transcriptional regulation and tumor-associated immune signaling pathways. The observed signal supports expression of PRAME-associated tumor antigen pathways within human tissue-derived lysates.
Availability 1-3 business days
Species Reactivity Human
Format Purified
Host Mouse
Clonality Monoclonal (mouse origin)
Isotype Mouse IgG2b, kappa
Clone Name PRAME/9189
Purity Protein A/G affinity
UniProt P78395
Localization Nucleus, Cytoplasm, Cell membrane
Applications Immunohistochemistry (FFPE) : 1-2ug/ml
Western Blot : 2-4ug/ml
Limitations This Opa-interacting Protein 4 Antibody / Tumor Antigen is available for research use only.
Review this product on BioCompare and get a $20 Amazon gift card

Related Products

Description

Functions as a transcriptional repressor, inhibiting the signaling of retinoic acid through the retinoic acid receptors RARA, RARB and RARG. Prevents retinoic acid-induced cell proliferation arrest, differentiation and apoptosis. This gene encodes an antigen that is preferentially expressed in human melanomas and that is recognized by cytolytic T lymphocytes. It is not expressed in normal tissues, except testis. The encoded protein acts as a repressor of retinoic acid receptor, and likely confers a growth advantage to cancer cells via this function. Alternative splicing results in multiple transcript variants.

Researchers studying melanoma-associated antigens, cancer-testis antigen biology, and tumor-associated immune signaling pathways may also be interested in our PRAME Antibody / Tumor Immunology Marker page featuring validated immunohistochemistry and western blot applications for PRAME-associated cancer research.

Application Notes

Optimal dilution of the Opa-interacting Protein 4 Antibody / Tumor Antigen should be determined by the researcher.

Immunogen

A recombinant fragment (within amino acids 100-250) of human PRAME protein was used as the immunogen for the Opa-interacting protein 4 antibody.

Storage

Aliquot the PRAME antibody and store frozen at -20oC or colder. Avoid repeated freeze-thaw cycles.

Alternate Names

PRAME antibody, OIP-4 antibody, Preferentially expressed antigen in melanoma antibody, Cancer-testis antigen antibody, Tumor immunology marker antibody

Cross
Bulk Quote Request Form
Name*:
Organization*:
Email*:
Phone Number*:
Catalog No.*:
Comments and Specifics(amount, formulation, etc.)*:
Validation code: Captchapackage Image


Can't read the image? click here to refresh.
    *required field

Your bulk quote request has been submitted successfully!

Please contact us if you have any questions.