• Tel: 858.663.9055
  • SeparatorEmail: info@nsjbio.com
  • Tel: 858.663.9055
  • Email: info@nsjbio.com
Home >> Antibodies >> Oncomodulin 1 Antibody / OCM

Oncomodulin 1 Antibody / OCM (RQ8812)

  Catalog No Formulation Size Price (USD)  
Image RQ8812 0.5mg/ml if reconstituted with 0.2ml sterile DI water 100 ug 449
Bulk quote request
IHC staining of FFPE human thyroid cancer tissue with Oncomodulin 1 antibody. HIER: boil tissue sections in pH8 EDTA for 20 min and allow to cool before testing.
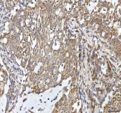
IHC staining of FFPE human lung cancer tissue with Oncomodulin 1 antibody. HIER: boil tissue sections in pH8 EDTA for 20 min and allow to cool before testing.
IHC staining of FFPE human liver cancer tissue with Oncomodulin 1 antibody. HIER: boil tissue sections in pH8 EDTA for 20 min and allow to cool before testing.
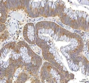
IHC staining of FFPE human colon adenocarcinoma tissue with Oncomodulin 1 antibody. HIER: boil tissue sections in pH8 EDTA for 20 min and allow to cool before testing.
IHC staining of FFPE human tonsil tissue with Oncomodulin 1 antibody. HIER: boil tissue sections in pH8 EDTA for 20 min and allow to cool before testing.
IHC staining of FFPE human tonsil tissue with Oncomodulin 1 antibody. HIER: boil tissue sections in pH8 EDTA for 20 min and allow to cool before testing.
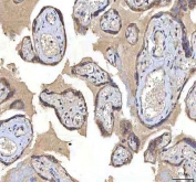
IHC staining of FFPE human placental tissue with Oncomodulin 1 antibody. HIER: boil tissue sections in pH8 EDTA for 20 min and allow to cool before testing.
Availability 1-3 days
Species Reactivity Human
Format Antigen affinity purified
Host Rabbit
Clonality Polyclonal (rabbit origin)
Isotype Rabbit IgG
Purity Antigen affinity chromatography
Buffer Lyophilized from 1X PBS with 2% Trehalose
UniProt P0CE72
Localization Cytoplasm
Applications Immunohistochemistry (FFPE) : 2-5ug/ml
ELISA : 0.1-0.5ug/ml
Limitations This Oncomodulin 1 antibody is available for research use only.
Review this product on BioCompare and get a $20 Amazon gift card

Description

Oncomodulin is a high-affinity calcium ion-binding protein. It belongs to the superfamily of calmodulin proteins, also known as the EF-hand proteins. Oncomodulin is an oncodevelopmental protein found in early embryonic cells in the placenta and also in tumors.

Application Notes

Optimal dilution of the Oncomodulin 1 antibody should be determined by the researcher.

Immunogen

An E.coli-derived human recombinant protein (amino acids M1-S110) was used as the immunogen for the Oncomodulin 1 antibody.

Storage

After reconstitution, the Oncomodulin 1 Antibody can be stored for up to one month at 4oC. For long-term, aliquot and store at -20oC. Avoid repeated freezing and thawing.

Cross
Bulk Quote Request Form
Name*:
Organization*:
Email*:
Phone Number*:
Catalog No.*:
Comments and Specifics(amount, formulation, etc.)*:
Validation code: Captchapackage Image


Can't read the image? click here to refresh.
    *required field

Your bulk quote request has been submitted successfully!

Please contact us if you have any questions.