- Tel: 858.663.9055
- 
									 Email: info@nsjbio.com Email: info@nsjbio.com
- Tel: 858.663.9055
- Email: info@nsjbio.com
 Email: info@nsjbio.com
Email: info@nsjbio.com
								Related Products
| 
 | 
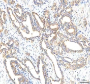
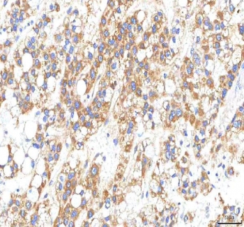
Serine protease HTRA2, mitochondrial, also called Omi stress-regulated endoprotease (OMI), is an enzyme that in humans is encoded by the HTRA2 gene. This gene encodes a serine protease. The protein has been localized in the endoplasmic reticulum and interacts with an alternatively spliced form of mitogen-activated protein kinase 14. The protein has also been localized to the mitochondria with release to the cytosol following apoptotic stimulus. The protein is thought to induce apoptosis by binding the apoptosis inhibitory protein baculoviral IAP repeat-containing 4. Nuclear localization of this protein has also been observed. Alternate splicing of this gene results in multiple transcript variants encoding different isoforms.
Optimal dilution of the OMI antibody should be determined by the researcher.
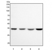
An E.coli-derived human recombinant protein (amino acids R30-E458) was used as the immunogen for the OMI antibody.
After reconstitution, the OMI Antibody can be stored for up to one month at 4oC. For long-term, aliquot and store at -20oC. Avoid repeated freezing and thawing.
 
Your bulk quote request has been submitted successfully!
Please contact us if you have any questions.