• Tel: 858.663.9055
  • SeparatorEmail: info@nsjbio.com
  • Tel: 858.663.9055
  • Email: info@nsjbio.com
Home >> Antibodies >> OMA1 Antibody / Overlapping with the m-AAA protease 1

OMA1 Antibody / Overlapping with the m-AAA protease 1 (FY12452)

  Catalog No Formulation Size Price (USD)  
Image FY12452 Adding 0.2 ml of distilled water will yield a concentration of 500 ug/ml 100 ug 449
Bulk quote request
Immunofluorescent staining of OMA1 using anti-OMA1 antibody (green) and anti-Tubulin Alpha antibody (red). OMA1 was detected in immunocytochemical section of cell. Enzyme antigen retrieval was performed using IHC enzyme antigen retrieval reagent for 15 mins. The cells were blocked with 10% goat serum. And then incubated with 5 ug/ml rabbit anti-OMA1 antibody and mouse anti-Tubulin Alpha antibody overnight at 4oC. DyLight 488 Conjugated Goat Anti-Rabbit IgG and Cy3 Conjugated Goat Anti-Mouse IgG were used as secondary antibody at 1:500 dilution and incubated for 30 minutes at 37oC. Visualize using a fluorescence microscope and filter sets appropriate for the label used.
Western blot analysis of OMA1 using anti-OMA1 antibody. Electrophoresis was performed on a 10% SDS-PAGE gel at 80V (Stacking gel) / 120V (Resolving gel) for 2 hours. Lane 1: human Hela whole cell lysates, Lane 2: human 293T whole cell lysates, Lane 3: human K562 whole cell lysates, Lane 4: human HepG2 whole cell lysates, Lane 5: rat heart tissue lysates, Lane 6: rat skeletal muscle tissue lysates, Lane 7: mouse heart tissue lysates, Lane 8: mouse skeletal muscle tissue lysates. After electrophoresis, proteins were transferred to a nitrocellulose membrane at 150 mA for 50-90 minutes. Blocked the membrane with 5% non-fat milk/TBS for 1.5 hour at RT. The membrane was incubated with rabbit anti-OMA1 antibody at 0.5 ug/ml overnight at 4oC, then washed with TBS-0.1%Tween 3 times with 5 minutes each and probed with a goat anti-rabbit IgG-HRP secondary antibody at a dilution of 1:5000 for 1.5 hour at RT. The signal was developed using an ECL Plus Western Blotting Substrate. OMA1 (~60 kDa predicted) was detected as a major band at ~60-65 kDa, representing the active form, and as an additional ~95 kDa species corresponding to the inactive or oligomeric precursor described in mitochondrial stress studies.
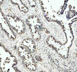
Immunohistochemical staining of OMA1 using anti-OMA1 antibody. OMA1 was detected in a paraffin-embedded section of human ovarian cancer tissue. Heat mediated antigen retrieval was performed in EDTA buffer (pH 8.0, epitope retrieval solution). The tissue section was blocked with 10% goat serum. The tissue section was then incubated with 2 ug/ml rabbit anti-OMA1 antibody overnight at 4oC. Peroxidase Conjugated Goat Anti-rabbit IgG was used as secondary antibody and incubated for 30 minutes at 37oC. The tissue section was developed using an HRP secondary and DAB substrate.
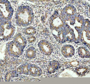
Immunohistochemical staining of OMA1 using anti-OMA1 antibody. OMA1 was detected in a paraffin-embedded section of human colon cancer tissue. Heat mediated antigen retrieval was performed in EDTA buffer (pH 8.0, epitope retrieval solution). The tissue section was blocked with 10% goat serum. The tissue section was then incubated with 2 ug/ml rabbit anti-OMA1 antibody overnight at 4oC. Peroxidase Conjugated Goat Anti-rabbit IgG was used as secondary antibody and incubated for 30 minutes at 37oC. The tissue section was developed using an HRP secondary and DAB substrate.
Flow Cytometry analysis of HepG2 cells using anti-OMA1 antibody. Overlay histogram showing HepG2 cells stained with (Blue line). To facilitate intracellular staining, cells were fixed with 4% paraformaldehyde and permeabilized with permeabilization buffer. The cells were blocked with 10% normal goat serum. And then incubated with rabbit anti-OMA1 antibody (1 ug/million cells) for 30 min at 20oC. DyLight 488 conjugated goat anti-rabbit IgG (5-10 ug/million cells) was used as secondary antibody for 30 minutes at 20oC. Isotype control antibody (Green line) was rabbit IgG (1 ug/million cells) used under the same conditions. Unlabelled sample without incubation with primary antibody and secondary antibody (Red line) was used as a blank control.
Availability 1-2 days
Species Reactivity Human, Mouse, Rat
Format Lyophilized
Host Rabbit
Clonality Polyclonal (rabbit origin)
Isotype Rabbit IgG
Purity Immunogen affinity purified
Buffer Each vial contains 4 mg Trehalose, 0.9 mg NaCl, 0.2 mg Na2HPO4.
UniProt Q96E52
Localization Mitochondria in cytoplasm, nucleus
Applications Western Blot : 0.25-0.5ug/ml
Immunohistochemistry : 2-5ug/ml
Immunocytochemistry/Immunofluorescence : 5ug/ml
Flow Cytometry : 1-3ug/million cells
ELISA : 0.1-0.5ug/ml
Limitations This OMA1 antibody is available for research use only.
Review this product on BioCompare and get a $20 Amazon gift card

Description

OMA1 antibody recognizes Metallopeptidase OMA1, a zinc-dependent mitochondrial protease that plays a critical role in regulating mitochondrial dynamics and quality control. OMA1 cleaves OPA1, an inner mitochondrial membrane GTPase, under stress conditions such as loss of membrane potential or proteotoxic stress. This cleavage promotes mitochondrial fission, facilitating the removal of damaged mitochondria through mitophagy. The OMA1 antibody is widely used in research on mitochondrial homeostasis, apoptosis, and neurodegenerative disease mechanisms that involve disrupted mitochondrial morphology.

OMA1 is encoded by the OMA1 gene located on human chromosome 1p32.2. It encodes an integral membrane protein of the inner mitochondrial membrane, with its catalytic domain facing the intermembrane space. The protein contains a conserved HEXXH metalloprotease motif required for zinc ion coordination and proteolytic activity. OMA1 exists in inactive and active forms that are regulated by mitochondrial potential and proteolytic turnover. Activation leads to processing of long isoforms of OPA1 into short forms, promoting mitochondrial fragmentation during stress.

The OMA1 antibody is valuable for investigating mitochondrial stress pathways and proteolytic processing events. Western blot analysis typically detects bands near 60-65 kDa, corresponding to the precursor and active forms of OMA1. In immunocytochemistry, the antibody reveals punctate mitochondrial staining, confirming localization within the inner membrane network. Functional studies using OMA1-deficient cells demonstrate its essential role in maintaining mitochondrial morphology and preventing accumulation of dysfunctional organelles. Loss of OMA1 activity has been associated with neurodegeneration, cardiomyopathy, and metabolic syndromes due to impaired mitochondrial adaptation.

OMA1 acts in concert with other mitochondrial proteases, including YME1L1 and PARL, to fine-tune the balance between fusion and fission events. It also participates in the mitochondrial unfolded protein response and contributes to stress-induced apoptosis. NSJ Bioreagents offers a validated OMA1 antibody optimized for western blot, immunofluorescence, and mitochondrial fractionation assays. This reagent enables detailed characterization of mitochondrial protease regulation and its role in cellular energy homeostasis and disease pathology.

Application Notes

Optimal dilution of the OMA1 antibody should be determined by the researcher.

Immunogen

E.coli-derived human OMA1 recombinant protein (Position: K256-H483) was used as the immunogen for the OMA1 antibody.

Storage

After reconstitution, the OMA1 antibody can be stored for up to one month at 4oC. For long-term, aliquot and store at -20oC. Avoid repeated freezing and thawing.

Cross
Bulk Quote Request Form
Name*:
Organization*:
Email*:
Phone Number*:
Catalog No.*:
Comments and Specifics(amount, formulation, etc.)*:
Validation code: Captchapackage Image


Can't read the image? click here to refresh.
    *required field

Your bulk quote request has been submitted successfully!

Please contact us if you have any questions.