• Tel: 858.663.9055
  • SeparatorEmail: info@nsjbio.com
  • Tel: 858.663.9055
  • Email: info@nsjbio.com
Home >> Antibodies >> Oligodendrocyte transcription factor 2 Antibody / OLIG2

Oligodendrocyte transcription factor 2 Antibody / OLIG2 [clone OLIG2/9995R] (V5640)

  Catalog No Formulation Size Price (USD)  
Image V5640-100UG 0.2 mg/ml in 1X PBS with 0.1 mg/ml BSA (US sourced), 0.05% sodium azide 100 ug 559
Image
V5640-20UG 0.2 mg/ml in 1X PBS with 0.1 mg/ml BSA (US sourced), 0.05% sodium azide 20 ug 259
Image
V5640SAF-100UG 1 mg/ml in 1X PBS; BSA free, sodium azide free 100 ug 559
Microvalidated Recrabbitmono
Bulk quote request
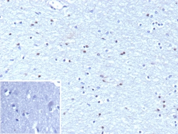
IHC staining of FFPE human brain tissue with Oligodendrocyte transcription factor 2 antibody (clone OLIG2/9995R). Inset: PBS used in place of primary Ab (secondary Ab negative control). HIER: boil tissue sections in pH 9 10mM Tris with 1mM EDTA for 20 min and allow to cool before testing.
SDS-PAGE analysis of purified, BSA-free Oligodendrocyte transcription factor 2 antibody (clone OLIG2/9995R) as confirmation of integrity and purity.
Availability 1-3 business days
Species Reactivity Human
Format Purified
Host Rabbit
Clonality Recombinant Rabbit Monoclonal
Isotype Rabbit IgG, kappa
Clone Name OLIG2/9995R
Purity Protein A affinity
UniProt Q13516
Localization Nucleus, Cytoplasm
Applications Immunohistochemistry (FFPE) : 1-2ug/ml
Limitations This Oligodendrocyte transcription factor 2 antibody is available for research use only.
Review this product on BioCompare and get a $20 Amazon gift card

Related Products

Description

Olig2, a basic helix-loop-helix transcription factor, is involved in oligo-dendroglial specification. Olig2 expression has been reported in most glial tumors, such as oligodendrogliomas and astrocytomas. Although more than half of glioblastomas are positive for Olig2, expression is very weak in terms of both percentage of labeled cells and intensity.

Application Notes

Optimal dilution of the Oligodendrocyte transcription factor 2 antibody should be determined by the researcher.

Immunogen

A portion of amino acids 1-200 from human OLIG2 protein was used as the immunogen for the Oligodendrocyte transcription factor 2 antibody.

Storage

Aliquot the Oligodendrocyte transcription factor 2 antibody and store frozen at -20oC or colder. Avoid repeated freeze-thaw cycles.

Cross
Bulk Quote Request Form
Name*:
Organization*:
Email*:
Phone Number*:
Catalog No.*:
Comments and Specifics(amount, formulation, etc.)*:
Validation code: Captchapackage Image


Can't read the image? click here to refresh.
    *required field

Your bulk quote request has been submitted successfully!

Please contact us if you have any questions.