• Tel: 858.663.9055
  • SeparatorEmail: info@nsjbio.com
  • Tel: 858.663.9055
  • Email: info@nsjbio.com
Home >> Antibodies >> OIP-4 Antibody / Cancer-Testis Antigen

OIP-4 Antibody / Cancer-Testis Antigen [clone PRAME/6928R] (V4852)

  Catalog No Formulation Size Price (USD)  
Image V4852-100UG 0.2 mg/ml in 1X PBS with 0.1 mg/ml BSA (US sourced), 0.05% sodium azide 100 ug 559
Image
V4852-20UG 0.2 mg/ml in 1X PBS with 0.1 mg/ml BSA (US sourced), 0.05% sodium azide 20 ug 259
Image
V4852SAF-100UG 1 mg/ml in 1X PBS; BSA free, sodium azide free 100 ug 559
Microvalidated Recrabbitmono
Bulk quote request
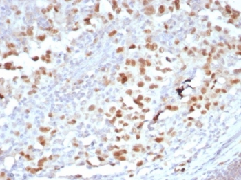
OIP-4 Antibody Melanoma IHC. Immunohistochemistry analysis of FFPE human melanoma tissue stained with recombinant rabbit monoclonal OIP-4 antibody clone PRAME/6928R. Tumor cells demonstrate prominent nuclear HRP-DAB brown staining consistent with expression of Opa-interacting protein 4 / PRAME, a cancer-testis antigen involved in tumor-associated immune signaling and transcriptional regulation pathways. The observed staining pattern is consistent with established PRAME expression in melanoma-associated tumor cell populations. HIER: boil tissue sections in pH 9 10mM Tris with 1mM EDTA for 20 min and allow to cool before testing.
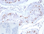
OIP-4 Antibody Human Testis IHC. Immunohistochemistry analysis of FFPE human testis tissue stained with recombinant rabbit monoclonal OIP-4 antibody clone PRAME/6928R. Scattered germ cell populations demonstrate distinct nuclear HRP-DAB brown staining consistent with expression of Opa-interacting protein 4 / PRAME, a cancer-testis antigen associated with germ cell-restricted expression and tumor-associated immune signaling pathways. The inset image shows a PBS-only negative control processed without primary antibody, confirming minimal non-specific background staining. HIER: boil tissue sections in pH 9 10mM Tris with 1mM EDTA for 20 min and allow to cool before testing.
Availability 1-3 business days
Species Reactivity Human
Format Purified
Host Rabbit
Clonality Recombinant Rabbit Monoclonal
Isotype Rabbit IgG, kappa
Clone Name PRAME/6928R
Purity Protein A/G affinity
UniProt P78395
Localization Nucleus, Cytoplasm, Cell membrane
Applications Immunohistochemistry (FFPE) : 1-2ug/ml for 30 min at RT
Limitations This OIP-4 Antibody / Cancer-Testis Antigen is available for research use only.
Review this product on BioCompare and get a $20 Amazon gift card

Related Products

Description

Opa-interacting protein 4 (OIP-4), also known as Preferentially expressed antigen in melanoma (PRAME), is a cancer-testis antigen involved in transcriptional regulation, cellular differentiation control, and tumor-associated immune signaling pathways. OIP-4 Antibody / Cancer-Testis Antigen is useful for studying malignancy-associated antigen expression, tumor immunology, and cancer-associated transcriptional regulation mechanisms. OIP-4 antibody, also referred to as PRAME antibody and Preferentially expressed antigen in melanoma antibody in the literature, recognizes a tumor-associated antigen broadly expressed across multiple malignancies while demonstrating restricted expression in most normal tissues.

PRAME is predominantly localized within the nucleus where it participates in transcription-associated signaling pathways regulating cellular proliferation, retinoic acid responsiveness, and differentiation programs. Expression of OIP-4 is generally limited in normal tissues but becomes elevated in melanoma, leukemia, sarcoma, ovarian carcinoma, breast carcinoma, lung cancer, and additional malignancies associated with tumor progression and immune recognition pathways. Because of this restricted normal tissue distribution and broad tumor-associated expression profile, PRAME has become highly relevant in cancer immunology and diagnostic pathology research.

OIP-4-associated signaling pathways have been investigated in tumor immune evasion, oncogenic transcriptional reprogramming, and antigen-directed therapeutic strategies. PRAME expression has also become important in studies examining melanoma classification, metastatic progression, and immunotherapy development. In pathology research, PRAME immunohistochemistry is commonly used to evaluate melanocytic lesions and assist in distinguishing malignant melanoma from benign melanocytic proliferations. Expression patterns have additionally been studied in hematologic malignancies and soft tissue tumors associated with aberrant transcriptional regulation pathways.

Because OIP-4 functions as a tumor-associated nuclear antigen linked to cancer-testis biology, this target remains highly relevant for studies focused on tumor classification, cancer-associated immune signaling, and transcriptional regulation within malignant cells. Immunohistochemistry studies commonly demonstrate nuclear staining patterns consistent with the transcription-associated functions of PRAME signaling pathways in tumor cell populations.

A recombinant rabbit monoclonal clone PRAME/6928R antibody can be used for studies examining cancer-testis antigen biology and tumor-associated immune regulation pathways. Researchers studying broader melanoma biology, tumor immunology, and PRAME-associated signaling pathways may also be interested in our PRAME Antibody / Tumor Immunology Marker page featuring validated immunohistochemistry and western blot applications for cancer-testis antigen research.

Researchers studying melanoma-associated antigens, cancer-testis antigen biology, and tumor-associated immune signaling pathways may also be interested in our PRAME Antibody / Tumor Immunology Marker page featuring validated immunohistochemistry and western blot applications for PRAME-associated cancer research.

Application Notes

Optimal dilution of the OIP-4 Antibody / Cancer-Testis Antigen should be determined by the researcher.

Immunogen

A recombinant partial protein sequence (within amino acids 100-509) from the human protein was used as the immunogen for the OIP-4 antibody.

Storage

Aliquot the OIP-4 antibody and store frozen at -20oC or colder. Avoid repeated freeze-thaw cycles.

Alternate Names

PRAME antibody, Preferentially expressed antigen in melanoma antibody, Opa-interacting protein 4 antibody, Tumor immunology marker antibody, Melanoma antigen antibody

Cross
Bulk Quote Request Form
Name*:
Organization*:
Email*:
Phone Number*:
Catalog No.*:
Comments and Specifics(amount, formulation, etc.)*:
Validation code: Captchapackage Image


Can't read the image? click here to refresh.
    *required field

Your bulk quote request has been submitted successfully!

Please contact us if you have any questions.