• Tel: 858.663.9055
  • SeparatorEmail: info@nsjbio.com
  • Tel: 858.663.9055
  • Email: info@nsjbio.com
Home >> Antibodies >> OGG1 Antibody / 8-Oxoguanine glycosylase

OGG1 Antibody / 8-Oxoguanine glycosylase (RQ4046)

  Catalog No Formulation Size Price (USD)  
Image RQ4046 0.5mg/ml if reconstituted with 0.2ml sterile DI water 100 ug 449
Bulk quote request
Immunofluorescent staining of FFPE human HeLa cells with OGG1 antibody (green) and Alpha Tubulin mAb (red). HIER: steam section in pH6 citrate buffer for 20 min.
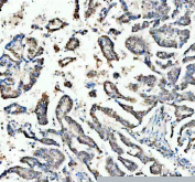
IHC staining of FFPE human lung cancer tissue with OGG1 antibody. HIER: boil tissue sections in pH8 EDTA for 20 min and allow to cool before testing.
IHC staining of FFPE human breast cancer tissue with OGG1 antibody. HIER: boil tissue sections in pH8 EDTA for 20 min and allow to cool before testing.
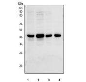
Western blot testing of human 1) A549, 2) HepG2, 3) HeLa and 4) 293T cell lysate with OGG1 antibody at 0.5ug/ml. Predicted molecular weight ~39 kDa.
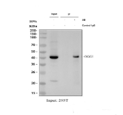
Immunoprecipitation of OGG1 protein from 500ug of human 293T whole cell lysate with 2ug of OGG1 antibody.
Availability 1-3 business days
Species Reactivity Human
Format Antigen affinity purified
Host Rabbit
Clonality Polyclonal (rabbit origin)
Isotype Rabbit IgG
Purity Antigen affinity purified
Buffer Lyophilized from 1X PBS with 2% Trehalose
UniProt O15527
Applications Western Blot : 0.5-1ug/ml
Immunohistochemistry (FFPE) : 2-5ug/ml
Immunofluorescence : 5ug/ml
Immunoprecipitation : 2ug per 500ug of lysate
Limitations This OGG1 antibody is available for research use only.
Review this product on BioCompare and get a $20 Amazon gift card

Related Products

Description

OGG1 antibody targets 8-oxoguanine glycosylase, encoded by the OGG1 gene. 8-Oxoguanine glycosylase is a DNA repair enzyme that plays a central role in the base excision repair pathway by recognizing and removing oxidatively damaged bases from DNA. Its primary substrate is 8-oxoguanine, a mutagenic lesion generated by reactive oxygen species that can mispair with adenine during DNA replication and lead to G:C to T:A transversions if left unrepaired. OGG1 is localized to both the nucleus and mitochondria, reflecting its role in maintaining genomic integrity in multiple cellular compartments.

Functionally, 8-oxoguanine glycosylase initiates base excision repair by cleaving the N-glycosidic bond of oxidized guanine residues, creating an abasic site that is subsequently processed by downstream repair enzymes. In addition to its glycosylase activity, OGG1 possesses associated lyase activity that contributes to strand cleavage at damaged sites. Through these coordinated actions, OGG1 helps prevent the accumulation of oxidative DNA lesions and preserves genome stability under conditions of oxidative stress. An OGG1 antibody supports studies focused on DNA damage recognition and repair mechanisms.

OGG1 is widely expressed across tissues, consistent with the universal need for protection against oxidative DNA damage. Expression is particularly relevant in metabolically active tissues and in cells exposed to high levels of oxidative stress, where reactive oxygen species are continuously generated as byproducts of cellular metabolism. OGG1 activity is tightly regulated and coordinated with other base excision repair factors to ensure efficient lesion removal without compromising DNA integrity. Its dual localization underscores the importance of repairing oxidative damage in both nuclear and mitochondrial genomes.

From a disease-relevance perspective, altered OGG1 function has been implicated in cancer, neurodegenerative disease, and aging-related pathologies. Reduced repair of oxidative DNA lesions can contribute to mutation accumulation, genomic instability, and increased cancer risk. Variants in OGG1 have also been studied in relation to susceptibility to inflammatory and metabolic disorders, where chronic oxidative stress plays a pathogenic role. These associations make OGG1 an important molecule in research examining the links between oxidative stress, DNA damage, and disease progression.

At the molecular level, 8-oxoguanine glycosylase interacts with damaged DNA in a lesion-specific manner and undergoes conformational changes that facilitate base excision. Post-translational modifications and cellular context can influence its activity, localization, and electrophoretic behavior on SDS-PAGE without implying changes in primary sequence. An OGG1 antibody supports research applications focused on oxidative DNA damage, genome maintenance, and disease-associated alterations in DNA repair pathways, with NSJ Bioreagents providing reagents intended for research use.

Application Notes

Optimal dilution of the OGG1 antibody should be determined by the researcher.

Immunogen

Amino acids KYFQLDVTLAQLYHHWGSVDSHFQEVAQKFQGVRLLRQD from the human protein were used as the immunogen for the OGG1 antibody.

Storage

After reconstitution, the OGG1 antibody can be stored for up to one month at 4oC. For long-term, aliquot and store at -20oC. Avoid repeated freezing and thawing.

Cross
Bulk Quote Request Form
Name*:
Organization*:
Email*:
Phone Number*:
Catalog No.*:
Comments and Specifics(amount, formulation, etc.)*:
Validation code: Captchapackage Image


Can't read the image? click here to refresh.
    *required field

Your bulk quote request has been submitted successfully!

Please contact us if you have any questions.