• Tel: 858.663.9055
  • SeparatorEmail: info@nsjbio.com
  • Tel: 858.663.9055
  • Email: info@nsjbio.com
Home >> Antibodies >> OGG1 Antibody

OGG1 Antibody (R34250)

  Catalog No Formulation Size Price (USD)  
Image R34250-100UG 0.5 mg/ml in 1X TBS, pH7.3, with 0.5% BSA (US sourced) and 0.02% sodium azide 100 ug 475
Bulk quote request
Western blot testing of rat spleen lysate with OGG1 antibody at 0.1ug/ml. Predicted molecular weight ~38 kDa.
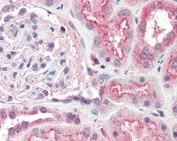
IHC testing of FFPE human kidney tissue with OGG1 antibody at 5ug/ml. Required HIER: steamed antigen retrieval with pH6 citrate buffer; AP-staining.
Availability 1-3 business days
Species Reactivity Human, Rat
Predicted Reactivity Mouse
Format Antigen affinity purified
Host Goat
Clonality Polyclonal (goat origin)
Isotype Goat Ig
Purity Antigen affinity
Gene ID 18294
Localization Nuclear
Applications Western Blot : 0.1-0.3ug/ml
IHC (FFPE) : 5ug/ml
ELISA (peptide) LOD : 1:128000
Limitations This OGG1 antibody is available for research use only.
Review this product on BioCompare and get a $20 Amazon gift card

Related Products

Description

Additional name(s) for this target protein: 8-oxoguanine DNA glycosylase

Application Notes

Optimal dilution of the OGG1 antibody should be determined by the researcher.

Immunogen

Amino acids HPKTSQAKGPSPLANK were used as the immunogen for this OGG1 antibody.

Storage

Aliquot and store the OGG1 antibody at -20oC.

Cross
Bulk Quote Request Form
Name*:
Organization*:
Email*:
Phone Number*:
Catalog No.*:
Comments and Specifics(amount, formulation, etc.)*:
Validation code: Captchapackage Image


Can't read the image? click here to refresh.
    *required field

Your bulk quote request has been submitted successfully!

Please contact us if you have any questions.