• Tel: 858.663.9055
  • SeparatorEmail: info@nsjbio.com
  • Tel: 858.663.9055
  • Email: info@nsjbio.com
Home >> Antibodies >> OGDHL Antibody / 2-Oxoglutarate dehydrogenase-like

OGDHL Antibody / 2-Oxoglutarate dehydrogenase-like (RQ7954)

  Catalog No Formulation Size Price (USD)  
Image RQ7954 0.5mg/ml if reconstituted with 0.2ml sterile DI water 100 ug 449
Bulk quote request
Immunofluorescent staining of FFPE human U-2 OS cells with OGDHL antibody (red) and DAPI nuclear stain (blue). HIER: steam section in pH6 citrate buffer for 20 min.
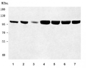
Western blot testing of 1) human HepG2, 2) human SH-SY5Y, 3) human U-2 OS, 4) rat brain, 5) rat kidney, 6) mouse brain and 7) mouse kidney tissue lysate with OGDHL antibody. Predicted molecular weight: 91-114 kDa (multiple isoforms).
Flow cytometry testing of human U937 cells with OGDHL antibody at 1ug/million cells (blocked with goat sera); Red=cells alone, Green=isotype control, Blue= OGDHL antibody.
Availability 1-3 business days
Species Reactivity Human, Mouse, Rat
Format Antigen affinity purified
Host Rabbit
Clonality Polyclonal (rabbit origin)
Isotype Rabbit IgG
Purity Antigen affinity purified
Buffer Lyophilized from 1X PBS with 2% Trehalose
UniProt Q9ULD0
Localization Cytoplasm
Applications Western Blot : 0.5-1ug/ml
Flow Cytometry : 1-3ug/million cells
Immunofluorscence : 5ug/ml
Direct ELISA : 0.1-0.5ug/ml
Limitations This OGDHL antibody is available for research use only.
Review this product on BioCompare and get a $20 Amazon gift card

Description

The protein encoded by this gene is similar to oxoglutarate dehydrogenase (OGDH) of the OGDH complex, which degrades glucose and glutamate. This gene encodes several isoforms, including some that appear to localize to mitochondria. The encoded protein down-regulates the AKT signaling cascade and can suppress the growth of cervical cancer cells.

Application Notes

Optimal dilution of the OGDHL antibody should be determined by the researcher.

Immunogen

E. coli-derived recombinant human protein (amino acids M1-F1010) was used as the immunogen for the OGDHL antibody.

Storage

After reconstitution, the OGDHL antibody can be stored for up to one month at 4oC. For long-term, aliquot and store at -20oC. Avoid repeated freezing and thawing.

Cross
Bulk Quote Request Form
Name*:
Organization*:
Email*:
Phone Number*:
Catalog No.*:
Comments and Specifics(amount, formulation, etc.)*:
Validation code: Captchapackage Image


Can't read the image? click here to refresh.
    *required field

Your bulk quote request has been submitted successfully!

Please contact us if you have any questions.