• Tel: 858.663.9055
  • SeparatorEmail: info@nsjbio.com
  • Tel: 858.663.9055
  • Email: info@nsjbio.com
Home >> Antibodies >> ODF2 Antibody / Outer dense fiber protein 2

ODF2 Antibody / Outer dense fiber protein 2 (FY12135)

  Catalog No Formulation Size Price (USD)  
Image FY12135 Adding 0.2 ml of distilled water will yield a concentration of 500 ug/ml 100 ug 449
Bulk quote request
Flow Cytometry analysis of MCF-7 cells using anti-ODF2 antibody. Overlay histogram showing MCF-7 cells stained with (Blue line). To facilitate intracellular staining, cells were fixed with 4% paraformaldehyde and permeabilized with permeabilization buffer. The cells were blocked with 10% normal goat serum. And then incubated with rabbit anti-ODF2 antibody (1 ug/million cells) for 30 min at 20oC. DyLight 488 conjugated goat anti-rabbit IgG (5-10 ug/million cells) was used as secondary antibody for 30 minutes at 20oC. Isotype control antibody (Green line) was rabbit IgG (1 ug/million cells) used under the same conditions. Unlabelled sample without incubation with primary antibody and secondary antibody (Red line) was used as a blank control.
Western blot analysis of ODF2 using anti-ODF2 antibody. Electrophoresis was performed on a 8% SDS-PAGE gel at 80V (Stacking gel) / 120V (Resolving gel) for 2 hours. Lane 1: human MCF-7 whole cell lysates, Lane 2: human Hacat whole cell lysates, Lane 3: human K562 whole cell lysates, Lane 4: human Hela whole cell lysates, Lane 5: rat C6 whole cell lysates, Lane 6: mouse NIH/3T3 whole cell lysates. After electrophoresis, proteins were transferred to a nitrocellulose membrane at 150 mA for 50-90 minutes. Blocked the membrane with 5% non-fat milk/TBS for 1.5 hour at RT. The membrane was incubated with rabbit anti-ODF2 antibody at 0.5 ug/ml overnight at 4oC, then washed with TBS-0.1%Tween 3 times with 5 minutes each and probed with a goat anti-rabbit IgG-HRP secondary antibody at a dilution of 1:5000 for 1.5 hour at RT. The signal was developed using an ECL Plus Western Blotting Substrate. A specific band was detected for ODF2 at approximately 95 kDa. The expected band size for ODF2 is at 95 kDa.
IHC analysis of ODF2 using anti-ODF2 antibody. ODF2 was detected in a paraffin-embedded section of rat testis tissue. Heat mediated antigen retrieval was performed in EDTA buffer (pH 8.0, epitope retrieval solution). The tissue section was blocked with 10% goat serum. The tissue section was then incubated with 2 ug/ml rabbit anti-ODF2 antibody overnight at 4oC. Peroxidase Conjugated Goat Anti-rabbit IgG was used as secondary antibody and incubated for 30 minutes at 37oC. The tissue section was developed using an HRP secondary and DAB substrate.
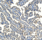
IHC analysis of ODF2 using anti-ODF2 antibody. ODF2 was detected in a paraffin-embedded section of human ovarian cancer tissue. Heat mediated antigen retrieval was performed in EDTA buffer (pH 8.0, epitope retrieval solution). The tissue section was blocked with 10% goat serum. The tissue section was then incubated with 2 ug/ml rabbit anti-ODF2 antibody overnight at 4oC. Peroxidase Conjugated Goat Anti-rabbit IgG was used as secondary antibody and incubated for 30 minutes at 37oC. The tissue section was developed using an HRP secondary and DAB substrate.
Availability 1-2 days
Species Reactivity Human, Mouse, Rat
Format Lyophilized
Host Rabbit
Clonality Polyclonal (rabbit origin)
Isotype Rabbit IgG
Purity Immunogen affinity purified
Buffer Each vial contains 4 mg Trehalose, 0.9 mg NaCl, 0.2 mg Na2HPO4.
UniProt Q5BJF6
Applications Western Blot : 0.25-0.5ug/ml
Immunohistochemistry : 2-5ug/ml
Flow Cytometry : 1-3ug/million cells
ELISA : 0.1-0.5ug/ml
Limitations This ODF2 antibody is available for research use only.
Review this product on BioCompare and get a $20 Amazon gift card

Related Products

  • Applications : WB, ELISA (peptide)
    Reactivity : Human, Mouse, Rat
    Pred. Reactivity : Dog, Pig

Description

ODF2 antibody detects Outer dense fiber protein 2, encoded by the ODF2 gene on chromosome 9q34.11. ODF2 antibody is used to study this coiled-coil structural protein, which is a key component of outer dense fibers in the sperm tail and the centrosomal appendages of somatic cells. ODF2 provides structural support to sperm flagella, ensuring integrity during motility, and contributes to centrosome function, microtubule anchoring, and ciliogenesis. Its dual role in reproductive biology and cell cycle regulation makes ODF2 a protein of wide research interest.

Structurally, ODF2 is a coiled-coil protein that assembles into filaments. In sperm, ODF2 filaments wrap around axonemal microtubules, forming outer dense fibers that stabilize the flagellum and protect it against mechanical stress. In somatic cells, ODF2 localizes to subdistal and distal appendages of centrioles, where it serves as a scaffold for proteins involved in ciliogenesis and microtubule anchoring. This dual localization underscores ODF2's evolutionary adaptation from reproductive structures to general centrosome biology.

Functionally, ODF2 plays a critical role in sperm motility and fertility. Knockout mouse models show that absence of ODF2 leads to abnormal sperm tails, defective motility, and infertility. In somatic cells, loss of ODF2 disrupts ciliogenesis, impairs microtubule organization, and causes defects in signaling pathways mediated by primary cilia. ODF2 is also required for centriole maturation and stability, influencing mitotic spindle organization and accurate chromosome segregation. Researchers use ODF2 antibody to study these processes in reproductive biology and cell cycle regulation.

Clinically, mutations or altered expression of ODF2 are associated with male infertility syndromes and ciliopathies, including primary ciliary dyskinesia. Dysregulation of ODF2 may also contribute to cancer through defective centrosome function, leading to chromosomal instability. Expression studies using ODF2 antibody demonstrate strong staining in testis and centrosome-associated structures in diverse tissues. NSJ Bioreagents offers ODF2 antibody to support investigations into sperm biology, centrosome function, and ciliary signaling.

Application Notes

Optimal dilution of the ODF2 antibody should be determined by the researcher.

Immunogen

E.coli-derived human ODF2 recombinant protein (Position: R11-A829) was used as the immunogen for the ODF2 antibody.

Storage

After reconstitution, the ODF2 antibody can be stored for up to one month at 4oC. For long-term, aliquot and store at -20oC. Avoid repeated freezing and thawing.

Cross
Bulk Quote Request Form
Name*:
Organization*:
Email*:
Phone Number*:
Catalog No.*:
Comments and Specifics(amount, formulation, etc.)*:
Validation code: Captchapackage Image


Can't read the image? click here to refresh.
    *required field

Your bulk quote request has been submitted successfully!

Please contact us if you have any questions.