• Tel: 858.663.9055
  • SeparatorEmail: info@nsjbio.com
  • Tel: 858.663.9055
  • Email: info@nsjbio.com
Home >> Antibodies >> Oct-2 Antibody / POU2F2

Oct-2 Antibody / POU2F2 (F43298)

  Catalog No Formulation Size Price (USD)  
Image F43298-0.4ML In 1X PBS, pH 7.4, with 0.09% sodium azide 0.4 ml 439
Image
F43298-0.08ML In 1X PBS, pH 7.4, with 0.09% sodium azide 0.08 ml 205
Bulk quote request
Oct-2 antibody western blot analysis in ZR-75-1 lysate. Predicted molecular weight: isoforms 1-5 range in size from 43~62kDa.
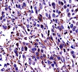
Oct-2 antibody immunohistochemistry analysis in formalin fixed and paraffin embedded human testis carcinoma.
Availability 1-3 business days
Species Reactivity Human
Predicted Reactivity Mouse, Pig
Format Antigen affinity purified
Host Rabbit
Clonality Polyclonal (rabbit origin)
Isotype Rabbit Ig
Purity Antigen affinity
UniProt P09086
Applications Western Blot : 1:1000
IHC (Paraffin) : 1:10-1:50
Limitations This Oct-2 antibody is available for research use only.
Review this product on BioCompare and get a $20 Amazon gift card

Related Products

Description

Oct-2/POU2F2 is a transcription factor that specifically binds to the octamer motif (5'-ATTTGCAT-3'). Regulates transcription in a number of tissues in addition to activating immunoglobulin gene expression. Modulates transcription transactivation by NR3C1, AR and PGR. Isoform 5 activates the U2 small nuclear RNA (snRNA) promoter.

Application Notes

Titration of the Oct-2 antibody may be required due to differences in protocols and secondary/substrate sensitivity.

Immunogen

A portion of amino acids 10-39 from the human protein was used as the immunogen for this Oct-2 antibody. This sequence is common to isoforms 1-5.

Storage

Aliquot the Oct-2 antibody and store frozen at -20oC or colder. Avoid repeated freeze-thaw cycles.

Cross
Bulk Quote Request Form
Name*:
Organization*:
Email*:
Phone Number*:
Catalog No.*:
Comments and Specifics(amount, formulation, etc.)*:
Validation code: Captchapackage Image


Can't read the image? click here to refresh.
    *required field

Your bulk quote request has been submitted successfully!

Please contact us if you have any questions.