• Tel: 858.663.9055
  • SeparatorEmail: info@nsjbio.com
  • Tel: 858.663.9055
  • Email: info@nsjbio.com
Home >> Antibodies >> Oct-1 Antibody / POU2F1

Oct-1 Antibody / POU2F1 (R31730)

  Catalog No Formulation Size Price (USD)  
Image R31730 0.5mg/ml if reconstituted with 0.2ml sterile DI water 100 ug 449
Bulk quote request
Western blot testing of Oct-1 antibody and Lane 1: rat liver; and human samples 2: placenta; 3: Jurkat; 4: HeLa; 5: A549; 6: SMMC-7721. Predicted molecular weight ~89 kDa.
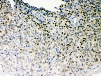
IHC-P: Oct-1 antibody testing of human tonsil tissue
Availability 1-3 business days
Species Reactivity Human
Format Antigen affinity purified
Host Rabbit
Clonality Polyclonal (rabbit origin)
Isotype Rabbit IgG
Purity Antigen affinity
Buffer Lyophilized from 1X PBS with 2.5% BSA and 0.025% sodium azide
UniProt P14859
Applications Western Blot : 0.5-1ug/ml
IHC (FFPE) : 0.5-1ug/ml
Limitations This Oct-1 antibody is available for research use only.
Review this product on BioCompare and get a $20 Amazon gift card

Related Products

  • Applications : WB, ELISA
    Reactivity : Human
    Pred. Reactivity : Pig, Chicken
  • Applications : WB, IHC, ELISA
    Reactivity : Human
    Pred. Reactivity : Mouse, Rat, Pig, Chicken, Xenopus
  • Applications : WB, ELISA (peptide)
    Reactivity : Human
    Pred. Reactivity : Mouse, Rat, Dog, Pig, Cow

Description

POU domain class 2 transcription factor 1, also known as OTF1 (Octamer-binding transcription factor 1) or Oct-1 (Octamer-binding protein 1), is a protein that in humans is encoded by the POU2F1 gene. The transcription factor was among the first identified members of the POU transcription factor family. It has been found that the Oct-1 dimer formed on the palindromic OCT factor recognition element, or PORE (ATTTGAAATGCAAAT), could recruit the transcriptional coactivator OBF1 , whereas dimers formed on the consensus MORE (more PORE) (ATGCATATGCAT) or on MOREs from immunoglobulin heavy chain promoters (AT[G/A][C/A]ATATGCAA) failed to interact. POU domain proteins contain a bipartite DNA-binding domain divided by a flexible linker that enables them to adopt various monomer configurations on DNA.

Application Notes

The stated application concentrations are suggested starting amounts. Titration of the Oct-1 antibody may be required due to differences in protocols and secondary/substrate sensitivity.

Immunogen

Human partial recombinant protein (AA 11-240) was used as the immunogen for this Oct-1 antibody.

Storage

After reconstitution, the Oct-1 antibody can be stored for up to one month at 4oC. For long-term, aliquot and store at -20oC. Avoid repeated freezing and thawing.

Cross
Bulk Quote Request Form
Name*:
Organization*:
Email*:
Phone Number*:
Catalog No.*:
Comments and Specifics(amount, formulation, etc.)*:
Validation code: Captchapackage Image


Can't read the image? click here to refresh.
    *required field

Your bulk quote request has been submitted successfully!

Please contact us if you have any questions.