• Tel: 858.663.9055
  • SeparatorEmail: info@nsjbio.com
  • Tel: 858.663.9055
  • Email: info@nsjbio.com
Home >> Antibodies >> OCLN Antibody Rabbit Polyclonal / Occludin

OCLN Antibody Rabbit Polyclonal / Occludin (FY12345)

  Catalog No Formulation Size Price (USD)  
Image FY12345 Adding 0.2 ml of distilled water will yield a concentration of 500 ug/ml 100 ug 449
Bulk quote request
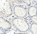
Immunohistochemical staining of OCLN using anti-OCLN antibody rabbit polyclonal. OCLN was detected in a paraffin-embedded section of human stomach tissue. Heat mediated antigen retrieval was performed in EDTA buffer (pH 8.0, epitope retrieval solution). The tissue section was blocked with 10% goat serum. The tissue section was then incubated with 2 ug/ml rabbit anti-OCLN antibody overnight at 4oC. Peroxidase Conjugated Goat Anti-rabbit IgG was used as secondary antibody and incubated for 30 minutes at 37oC. The tissue section was developed using an HRP secondary and DAB substrate.
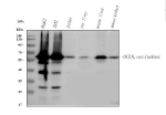
Western blot analysis of OCLN using anti-OCLN antibody rabbit polyclonal. Lane 1: human HepG2 whole cell lysates, Lane 2: human 293T whole cell lysates, Lane 3: human Jurkat whole cell lysates, Lane 4: rat liver tissue lysates, Lane 5: mouse liver tissue lysates, Lane 6: mouse kidney tissue lysates. After electrophoresis, proteins were transferred to a nitrocellulose membrane at 150 mA for 50-90 minutes. Blocked the membrane with 5% non-fat milk/TBS for 1.5 hour at RT. The membrane was incubated with rabbit anti-OCLN antibody at 0.5 ug/ml overnight at 4oC, then washed with TBS-0.1%Tween 3 times with 5 minutes each and probed with a goat anti-rabbit IgG-HRP secondary antibody at a dilution of 1:5000 for 1.5 hour at RT. The signal was developed using enhanced chemiluminescent. The expected molecular weight of OCLN is ~59 kDa.
Immunoprecipitation of OCLN in HepG2 whole cell lysate. Western blot analysis of OCLN using anti-OCLN antibody rabbit polyclonal. Lane 1: HepG2 whole cell lysates (30ug), Lane 2: Rabbit control IgG instead of anti-OCLN antibody in HepG2 whole cell lysate, Lane 3: anti-OCLN antibody (2ug) + HepG2 whole cell lysate (500ug). After electrophoresis, proteins were transferred to a membrane. Then the membrane was incubated with rabbit anti-OCLN antibody at a dilution of 0.5 ug/ml and probed with a mouse anti-rabbit IgG-HRP secondary antibody (Light Chain Specific). The signal is developed using ECL Plus Western Blotting Substrate. The expected molecular weight of OCLN is ~59 kDa.
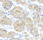
Immunohistochemical staining of OCLN using anti-OCLN antibody rabbit polyclonal. OCLN was detected in a paraffin-embedded section of human stomach tissue. Heat mediated antigen retrieval was performed in EDTA buffer (pH 8.0, epitope retrieval solution). The tissue section was blocked with 10% goat serum. The tissue section was then incubated with 2 ug/ml rabbit anti-OCLN antibody overnight at 4oC. Peroxidase Conjugated Goat Anti-rabbit IgG was used as secondary antibody and incubated for 30 minutes at 37oC. The tissue section was developed using an HRP secondary and DAB substrate.
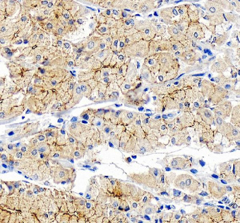
Immunohistochemical staining of OCLN using anti-OCLN antibody rabbit polyclonal. OCLN was detected in a paraffin-embedded section of human stomach tissue. Heat mediated antigen retrieval was performed in EDTA buffer (pH 8.0, epitope retrieval solution). The tissue section was blocked with 10% goat serum. The tissue section was then incubated with 2 ug/ml rabbit anti-OCLN antibody overnight at 4oC. Peroxidase Conjugated Goat Anti-rabbit IgG was used as secondary antibody and incubated for 30 minutes at 37oC. The tissue section was developed using an HRP secondary and DAB substrate.
Availability 1-2 days
Species Reactivity Human, Mouse, Rat
Format Lyophilized
Host Rabbit
Clonality Polyclonal (rabbit origin)
Isotype Rabbit IgG
Purity Immunogen affinity purified
Buffer Each vial contains 4 mg Trehalose, 0.9 mg NaCl, 0.2 mg Na2HPO4.
UniProt Q16625
Localization Cell membrane
Applications Western Blot : 0.25-0.5ug/ml
Immunohistochemistry : 2-5ug/ml
Immunoprecipitation : 2-4ug/500ug of lysate
ELISA : 0.1-0.5ug/ml
Limitations This OCLN antibody is available for research use only.
Review this product on BioCompare and get a $20 Amazon gift card

Related Products

Description

The OCLN antibody targets Occludin, a key integral membrane protein encoded by the OCLN gene that contributes to tight junction formation and epithelial barrier integrity. Occludin is a 59 kDa tetraspan protein localized at intercellular junctions of epithelial and endothelial cells. It works together with claudins, junctional adhesion molecules (JAMs), and cytoplasmic scaffolding proteins such as ZO-1 to form the tight junction complex that regulates paracellular permeability. The OCLN antibody rabbit polyclonal enables specific detection of Occludin, allowing researchers to investigate the molecular architecture of tight junctions and how their disruption contributes to disease.

Occludin plays a central role in maintaining cell polarity, barrier selectivity, and communication between adjacent cells. It acts as both a structural and signaling molecule, participating in pathways that control cell growth and differentiation. Phosphorylation of Occludin on serine, threonine, or tyrosine residues dynamically regulates its interaction with cytoplasmic partners and influences tight junction assembly and disassembly. The OCLN antibody is an essential reagent for tracking these modifications and monitoring Occludin redistribution during epithelial remodeling or inflammation.

Mutations in OCLN cause band-like calcification with simplified gyration and polymicrogyria (BLC-PMG), a neurological disorder associated with cortical malformations and hepatic dysfunction. These findings underscore the systemic importance of Occludin beyond epithelial physiology. The OCLN antibody provides researchers with a means to quantify protein levels in both brain and peripheral tissues, aiding studies into developmental and metabolic roles of tight junction components.

Occludin dysfunction is also implicated in a range of diseases, including cancer metastasis, viral infection, and inflammatory bowel disease. Pathogens such as hepatitis C virus and cytomegalovirus exploit Occludin to gain cellular entry or modulate junction integrity. Altered Occludin expression can weaken epithelial barriers, promoting invasion or chronic inflammation. The OCLN antibody allows visualization of these alterations in tissue models, helping elucidate how tight junction disruption contributes to pathogenesis.

The OCLN antibody performs effectively in immunofluorescence microscopy, immunohistochemistry, and western blotting. In epithelial cultures, staining reveals tight junction localization, while in tissues it highlights barrier organization across endothelium and epithelia. NSJ Bioreagents provides this reagent with validated specificity and reliability for studying Occludin regulation, trafficking, and function. By supporting detailed investigation of tight junction biology, the OCLN antibody helps clarify molecular mechanisms that preserve epithelial homeostasis and their perturbation in human disease.

Application Notes

Optimal dilution of the OCLN antibody should be determined by the researcher.

Immunogen

E.coli-derived human Occludin/OCLN recombinant protein (Position: S358-Q520) was used as the immunogen for the OCLN antibody rabbit polyclonal.

Storage

After reconstitution, the OCLN antibody rabbit polyclonal can be stored for up to one month at 4oC. For long-term, aliquot and store at -20oC. Avoid repeated freezing and thawing.

Cross
Bulk Quote Request Form
Name*:
Organization*:
Email*:
Phone Number*:
Catalog No.*:
Comments and Specifics(amount, formulation, etc.)*:
Validation code: Captchapackage Image


Can't read the image? click here to refresh.
    *required field

Your bulk quote request has been submitted successfully!

Please contact us if you have any questions.