• Tel: 858.663.9055
  • SeparatorEmail: info@nsjbio.com
  • Tel: 858.663.9055
  • Email: info@nsjbio.com
Home >> Antibodies >> OAZ1 Antibody / Ornithine decarboxylase antizyme 1

OAZ1 Antibody / Ornithine decarboxylase antizyme 1 (FY13217)

  Catalog No Formulation Size Price (USD)  
Image FY13217 Adding 0.2 ml of distilled water will yield a concentration of 500 ug/ml 100 ug 449
Bulk quote request
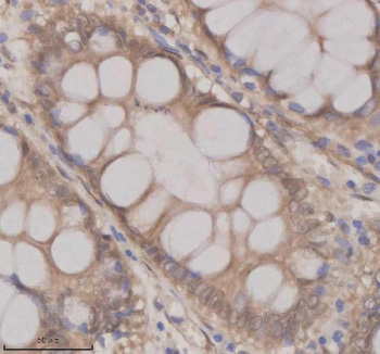
Immunohistochemical staining of OAZ1 using anti-OAZ1 antibody. OAZ1 was detected in a paraffin-embedded section of human colon tissue. Heat mediated antigen retrieval was performed in EDTA buffer (pH 8.0, epitope retrieval solution). The tissue section was blocked with 10% goat serum. The tissue section was then incubated with 2 ug/ml rabbit anti-OAZ1 antibody overnight at 4oC. Peroxidase Conjugated Goat Anti-rabbit IgG was used as secondary antibody and incubated for 30 minutes at 37oC. The tissue section was developed using an HRP secondary and DAB substrate.
Western blot analysis of OAZ1 using anti-OAZ1 antibody. Electrophoresis was performed on a 12% SDS-PAGE gel at 80V (Stacking gel) / 120V (Resolving gel) for 2 hours. Lane 1: human whole cell lysates, Lane 2: human U251 whole cell lysates, Lane 3: human K562 whole cell lysates. After electrophoresis, proteins were transferred to a nitrocellulose membrane at 150 mA for 50-90 minutes. Blocked the membrane with 5% non-fat milk/TBS for 1.5 hour at RT. The membrane was incubated with rabbit anti-OAZ1 antibody at 0.5 ug/ml overnight at 4oC, then washed with TBS-0.1%Tween 3 times with 5 minutes each and probed with a goat anti-rabbit IgG-HRP secondary antibody at a dilution of 1:5000 for 1.5 hour at RT. The signal was developed using an ECL Plus Western Blotting Substrate. A specific band was detected for OAZ1 at approximately 25 kDa. The expected molecular weight of OAZ1 is ~25 kDa.
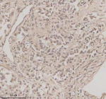
Immunohistochemical staining of OAZ1 using anti-OAZ1 antibody. OAZ1 was detected in a paraffin-embedded section of human colon cancer tissue. Heat mediated antigen retrieval was performed in EDTA buffer (pH 8.0, epitope retrieval solution). The tissue section was blocked with 10% goat serum. The tissue section was then incubated with 2 ug/ml rabbit anti-OAZ1 antibody overnight at 4oC. Peroxidase Conjugated Goat Anti-rabbit IgG was used as secondary antibody and incubated for 30 minutes at 37oC. The tissue section was developed using an HRP secondary and DAB substrate.
Immunohistochemical staining of OAZ1 using anti-OAZ1 antibody. OAZ1 was detected in a paraffin-embedded section of human lung cancer tissue. Heat mediated antigen retrieval was performed in EDTA buffer (pH 8.0, epitope retrieval solution). The tissue section was blocked with 10% goat serum. The tissue section was then incubated with 2 ug/ml rabbit anti-OAZ1 antibody overnight at 4oC. Peroxidase Conjugated Goat Anti-rabbit IgG was used as secondary antibody and incubated for 30 minutes at 37oC. The tissue section was developed using an HRP secondary and DAB substrate.
Flow Cytometry analysis of K562 cells using anti-OAZ1 antibody. Overlay histogram showing K562 cells stained with (Blue line). To facilitate intracellular staining, cells were fixed with 4% paraformaldehyde and permeabilized with permeabilization buffer. The cells were blocked with 10% normal goat serum. And then incubated with rabbit anti-OAZ1 antibody (1 ug/million cells) for 30 min at 20oC. DyLight 488 conjugated goat anti-rabbit IgG (5-10 ug/million cells) was used as secondary antibody for 30 minutes at 20oC. Isotype control antibody (Green line) was rabbit IgG (1 ug/million cells) used under the same conditions. Unlabelled sample without incubation with primary antibody and secondary antibody (Red line) was used as a blank control.
Availability 1-2 days
Species Reactivity Human
Format Lyophilized
Host Rabbit
Clonality Polyclonal (rabbit origin)
Isotype Rabbit IgG
Purity Immunogen affinity purified
Buffer Each vial contains 4 mg Trehalose, 0.9 mg NaCl, 0.2 mg Na2HPO4.
UniProt P54368
Localization Cytoplasmic, Nuclear
Applications Western Blot : 0.25-0.5ug/ml
Immunohistochemistry : 2-5ug/ml
Flow Cytometry : 1-3ug/million cells
Limitations This OAZ1 antibody is available for research use only.
Review this product on BioCompare and get a $20 Amazon gift card

Related Products

Description

OAZ1 antibody detects Ornithine decarboxylase antizyme 1, a regulatory protein that controls cellular polyamine levels by inhibiting ornithine decarboxylase (ODC) and polyamine uptake. The UniProt recommended name is Ornithine decarboxylase antizyme 1 (OAZ1). This protein plays a key role in maintaining intracellular polyamine homeostasis, which is essential for cell growth, differentiation, and apoptosis. OAZ1 functions as a feedback regulator that ensures balance between biosynthesis and transport of polyamines such as putrescine, spermidine, and spermine.

Functionally, OAZ1 antibody identifies a 228-amino-acid cytoplasmic protein that binds to and inhibits the enzyme ODC, preventing the conversion of ornithine into putrescine, the first step in polyamine biosynthesis. OAZ1 also targets ODC for ubiquitin-independent proteasomal degradation, ensuring rapid turnover of the enzyme. Additionally, OAZ1 regulates polyamine transport across the plasma membrane by binding to polyamine importers and blocking uptake. These dual inhibitory actions maintain tight control of intracellular polyamine concentrations.

The OAZ1 gene is located on chromosome 19p13.3 and is expressed in nearly all tissues, with high levels in liver, brain, and reproductive organs. OAZ1 translation is uniquely regulated by a +1 ribosomal frameshifting mechanism triggered by elevated polyamine concentrations, creating an autoregulatory feedback loop that modulates its own synthesis in response to metabolic conditions.

Pathologically, dysregulation of OAZ1 contributes to cancer, neurodegeneration, and reproductive disorders. Reduced OAZ1 activity leads to elevated polyamine levels that promote uncontrolled cell proliferation, while overexpression can suppress tumor growth by restricting polyamine availability. In the nervous system, OAZ1 influences synaptic plasticity and neuronal differentiation. Research using OAZ1 antibody supports studies in metabolic regulation, cancer biology, and neurophysiology.

OAZ1 antibody is validated for western blotting, immunofluorescence, and immunohistochemistry to detect polyamine regulators. NSJ Bioreagents provides OAZ1 antibody reagents optimized for studies in enzyme regulation, protein degradation, and metabolic control.

Structurally, Ornithine decarboxylase antizyme 1 consists of a conserved ODC-binding region that mediates enzyme inhibition and a C-terminal domain required for proteasomal targeting. The protein's structure allows it to act both as an inhibitor and degradation adaptor without requiring ubiquitin conjugation. This antibody enables detailed investigation of OAZ1's role in polyamine metabolism, feedback control, and tumor suppression.

Application Notes

Optimal dilution of the OAZ1 antibody should be determined by the researcher.

Immunogen

A synthetic peptide corresponding to a sequence at the N-terminus of human OAZ1 was used as the immunogen for the OAZ1 antibody.

Storage

After reconstitution, the OAZ1 antibody can be stored for up to one month at 4oC. For long-term, aliquot and store at -20oC. Avoid repeated freezing and thawing.

Cross
Bulk Quote Request Form
Name*:
Organization*:
Email*:
Phone Number*:
Catalog No.*:
Comments and Specifics(amount, formulation, etc.)*:
Validation code: Captchapackage Image


Can't read the image? click here to refresh.
    *required field

Your bulk quote request has been submitted successfully!

Please contact us if you have any questions.