• Tel: 858.663.9055
  • SeparatorEmail: info@nsjbio.com
  • Tel: 858.663.9055
  • Email: info@nsjbio.com
Home >> Antibodies >> OARD1 Antibody / O-acetyl-ADP-ribose deacetylase 1

OARD1 Antibody / O-acetyl-ADP-ribose deacetylase 1 (FY12264)

  Catalog No Formulation Size Price (USD)  
Image FY12264 Adding 0.2 ml of distilled water will yield a concentration of 500 ug/ml 100 ug 449
Bulk quote request
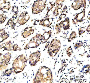
Immunohistochemical staining of OARD1 using anti-OARD1 antibody. OARD1 was detected in a paraffin-embedded section of human breast cancer tissue. Heat mediated antigen retrieval was performed in EDTA buffer (pH 8.0, epitope retrieval solution). The tissue section was blocked with 10% goat serum. The tissue section was then incubated with 2 ug/ml rabbit anti-OARD1 antibody overnight at 4oC. Peroxidase Conjugated Goat Anti-rabbit IgG was used as secondary antibody and incubated for 30 minutes at 37oC. The tissue section was developed using an HRP secondary and DAB substrate.
Western blot analysis of OARD1 using anti-OARD1 antibody. Electrophoresis was performed on a 12% SDS-PAGE gel at 80V (Stacking gel) / 120V (Resolving gel) for 2 hours. Lane 1: human K562 whole cell lysates, Lane 2: human Jurkat whole cell lysates, Lane 3: human HepG2 whole cell lysates, Lane 4: human U251 whole cell lysates, Lane 5: rat brain tissue lysates, Lane 6: mouse brain tissue lysates, Lane 7: mouse Neoro-2a whole cell lysates. After electrophoresis, proteins were transferred to a nitrocellulose membrane at 150 mA for 50-90 minutes. Blocked the membrane with 5% non-fat milk/TBS for 1.5 hour at RT. The membrane was incubated with rabbit anti-OARD1 antibody at 0.5 ug/ml overnight at 4oC, then washed with TBS-0.1%Tween 3 times with 5 minutes each and probed with a goat anti-rabbit IgG-HRP secondary antibody at a dilution of 1:5000 for 1.5 hour at RT. The signal was developed using an ECL Plus Western Blotting Substrate. A specific band was detected for OARD1 at approximately 17 kDa. The expected band size for OARD1 is at 17 kDa.
Immunofluorescent staining of OARD1 using anti-OARD1 antibody (green) and anti-Beta Tubulin antibody (red). OARD1 was detected in an immunocytochemical section of U2OS cells. Enzyme antigen retrieval was performed using IHC enzyme antigen retrieval reagent for 15 mins. The cells were blocked with 10% goat serum. And then incubated with 5 ug/ml rabbit anti-OARD1 antibody and mouse anti-Beta Tubulin antibody overnight at 4oC. DyLight 488 Conjugated Goat Anti-Rabbit IgG and Cy3 Conjugated Goat Anti-Mouse IgG were used as secondary antibody at 1:500 dilution and incubated for 30 minutes at 37oC. Visualize using a fluorescence microscope and filter sets appropriate for the label used.
Flow Cytometry analysis of K562 cells using anti-OARD1 antibody. Overlay histogram showing K562 cells stained with (Blue line). To facilitate intracellular staining, cells were fixed with 4% paraformaldehyde and permeabilized with permeabilization buffer. The cells were blocked with 10% normal goat serum. And then incubated with rabbit anti-OARD1 antibody (1 ug/million cells) for 30 min at 20oC. DyLight 488 conjugated goat anti-rabbit IgG (5-10 ug/million cells) was used as secondary antibody for 30 minutes at 20oC. Isotype control antibody (Green line) was rabbit IgG (1 ug/million cells) used under the same conditions. Unlabelled sample without incubation with primary antibody and secondary antibody (Red line) was used as a blank control.
Availability 1-2 days
Species Reactivity Human, Mouse, Rat
Format Lyophilized
Host Rabbit
Clonality Polyclonal (rabbit origin)
Isotype Rabbit IgG
Purity Immunogen affinity purified
Buffer Each vial contains 4 mg Trehalose, 0.9 mg NaCl, 0.2 mg Na2HPO4.
UniProt Q9Y530
Applications Western Blot : 0.25-0.5ug/ml
Immunohistochemistry : 2-5ug/ml
Immunocytochemistry/Immunofluorescence : 5ug/ml
Flow Cytometry : 1-3ug/million cells
ELISA : 0.1-0.5ug/ml
Limitations This OARD1 antibody is available for research use only.
Review this product on BioCompare and get a $20 Amazon gift card

Description

OARD1 antibody detects ADP-ribose glycohydrolase OARD1, encoded by the OARD1 gene on chromosome 6q14.2. OARD1 antibody is used in research on ADP-ribosylation, DNA repair, and chromatin biology. OARD1 is an enzyme that removes ADP-ribose from proteins, acting as a mono-ADP-ribosylhydrolase. This activity counteracts PARP-mediated ADP-ribosylation, a key post-translational modification involved in DNA repair, transcription, and stress signaling.

Structurally, OARD1 is a ~17 kDa protein containing a macrodomain, which mediates binding and hydrolysis of ADP-ribose groups. The macrodomain recognizes ADP-ribosylated substrates and catalyzes removal of the modification. OARD1 localizes to the nucleus, where it associates with chromatin and DNA repair complexes. Isoforms generated by alternative splicing provide additional regulatory functions.

Functionally, OARD1 regulates chromatin dynamics and DNA repair by reversing mono-ADP-ribosylation on histones and DNA repair proteins. This counter-regulation maintains genomic stability and prevents accumulation of aberrant ADP-ribose modifications. Knockdown of OARD1 leads to DNA damage sensitivity, chromatin defects, and altered transcription. Researchers use OARD1 antibody to study ADP-ribosylation signaling, chromatin regulation, and DNA repair pathways.

Clinically, OARD1 has been implicated in cancer and neurodegeneration. Altered ADP-ribosylation dynamics contribute to oncogenesis by disrupting DNA repair and transcriptional regulation. OARD1 may also influence response to PARP inhibitors, which are used to treat BRCA-deficient tumors. Mutations or dysregulation of OARD1 have been linked to neurological disorders involving DNA damage accumulation. NSJ Bioreagents provides OARD1 antibody to support cancer, neurology, and epigenetics research.

Experimentally, OARD1 antibody is used in western blotting to detect the ~17 kDa protein, in immunohistochemistry to study nuclear expression, and in chromatin immunoprecipitation to examine ADP-ribosylation regulation. Co-immunoprecipitation with OARD1 antibody identifies partners including PARP family members and DNA repair proteins.

Application Notes

Optimal dilution of the OARD1 antibody should be determined by the researcher.

Immunogen

E.coli-derived human C6orf130/OARD1 recombinant protein (Position: M1-L152) was used as the immunogen for the OARD1 antibody.

Storage

After reconstitution, the OARD1 antibody can be stored for up to one month at 4oC. For long-term, aliquot and store at -20oC. Avoid repeated freezing and thawing.

Cross
Bulk Quote Request Form
Name*:
Organization*:
Email*:
Phone Number*:
Catalog No.*:
Comments and Specifics(amount, formulation, etc.)*:
Validation code: Captchapackage Image


Can't read the image? click here to refresh.
    *required field

Your bulk quote request has been submitted successfully!

Please contact us if you have any questions.