• Tel: 858.663.9055
  • SeparatorEmail: info@nsjbio.com
  • Tel: 858.663.9055
  • Email: info@nsjbio.com
Home >> Antibodies >> NUT family member 1 Antibody / NUTM1

NUT family member 1 Antibody / NUTM1 [clone SNUPN/7363R] (V4393)

  Catalog No Formulation Size Price (USD)  
Image V4393-100UG 0.2 mg/ml in 1X PBS with 0.1 mg/ml BSA (US sourced), 0.05% sodium azide 100 ug 559
Image
V4393-20UG 0.2 mg/ml in 1X PBS with 0.1 mg/ml BSA (US sourced), 0.05% sodium azide 20 ug 259
Image
V4393SAF-100UG 1 mg/ml in 1X PBS; BSA free, sodium azide free 100 ug 559
Microvalidated Recrabbitmono
Bulk quote request
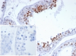
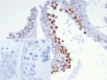
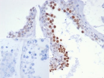
IHC staining of FFPE human testis tissue with NUT family member 1 antibody (clone SNUPN/7363R). Inset: PBS used in place of primary Ab (secondary Ab negative control). HIER: boil tissue sections in pH 9 10mM Tris with 1mM EDTA for 20 min and allow to cool before testing.
SDS-PAGE analysis of purified, BSA-free NUT family member 1 antibody (clone SNUPN/7363R) as confirmation of integrity and purity.
Availability 1-3 business days
Species Reactivity Human
Format Purified
Host Rabbit
Clonality Recombinant Rabbit Monoclonal
Isotype Rabbit IgG, kappa
Clone Name SNUPN/7363R
Purity Protein A/G affinity
UniProt Q86Y26
Localization Nucleus, Cytoplasm
Applications Immunohistochemistry (FFPE) : 1-2ug/ml for 30 minutes at RT
Limitations This NUT family member 1 antibody is available for research use only.
Review this product on BioCompare and get a $20 Amazon gift card

Related Products

Description

NUTM1 (NUT Midline Carcinoma Family Member 1) is a Protein Coding gene. Diseases associated with NUTM1 include Nut Midline Carcinoma and Spindle Cell Sarcoma. Among its related pathways are Chromatin Regulation / Acetylation. An important paralog of this gene is NUTM2G.Plays a role in the regulation of proliferation. Regulates TERT expression by modulating SP1 binding to TERT promoter binding sites.

Application Notes

Optimal dilution of the NUT family member 1 antibody should be determined by the researcher.

Immunogen

A recombinant partial protein sequence (within amino acids 900-1100) from the human protein was used as the immunogen for the NUT family member 1 antibody.

Storage

Aliquot the NUT family member 1 antibody and store frozen at -20oC or colder. Avoid repeated freeze-thaw cycles.

Cross
Bulk Quote Request Form
Name*:
Organization*:
Email*:
Phone Number*:
Catalog No.*:
Comments and Specifics(amount, formulation, etc.)*:
Validation code: Captchapackage Image


Can't read the image? click here to refresh.
    *required field

Your bulk quote request has been submitted successfully!

Please contact us if you have any questions.