• Tel: 858.663.9055
  • SeparatorEmail: info@nsjbio.com
  • Tel: 858.663.9055
  • Email: info@nsjbio.com
Home >> Antibodies >> NUPR1 Antibody / Nuclear protein 1

NUPR1 Antibody / Nuclear protein 1 (FY12888)

  Catalog No Formulation Size Price (USD)  
Image FY12888 Adding 0.2 ml of distilled water will yield a concentration of 500 ug/ml 100 ug 439
Bulk quote request
Immunofluorescent staining of NUPR1 using anti-NUPR1 antibody (red). NUPR1 was detected in a paraffin-embedded section of human lung cancer tissue. Heat mediated antigen retrieval was performed in EDTA buffer (pH 8.0, epitope retrieval solution). The tissue section was blocked with 10% goat serum. The tissue section was then incubated with 5 ug/ml rabbit anti-NUPR1 antibody overnight at 4oC. Cy3 Conjugated Goat Anti-Rabbit IgG was used as secondary antibody at 1:500 dilution and incubated for 30 minutes at 37oC. The section was counterstained with DAPI nuclear stain (blue). Visualize using a fluorescence microscope and filter sets appropriate for the label used.
Western blot analysis of NUPR1 using anti-NUPR1 antibody. Electrophoresis was performed on a 12% SDS-PAGE gel at 80V (Stacking gel) / 120V (Resolving gel) for 2 hours. Lane 1: human HepG2 whole cell lysates, Lane 2: human U2OS whole cell lysates, Lane 3: human U251 whole cell lysates, Lane 4: human K562 whole cell lysates, Lane 5: rat pancreas tissue lysates, Lane 6: rat ovary tissue lysates, Lane 7: mouse pancreas tissue lysates, Lane 8: mouse ovary tissue lysates. After electrophoresis, proteins were transferred to a nitrocellulose membrane at 150 mA for 50-90 minutes. Blocked the membrane with 5% non-fat milk/TBS for 1.5 hour at RT. The membrane was incubated with rabbit anti-NUPR1 antibody at 0.5 ug/ml overnight at 4oC, then washed with TBS-0.1%Tween 3 times with 5 minutes each and probed with a goat anti-rabbit IgG-HRP secondary antibody at a dilution of 1:5000 for 1.5 hour at RT. The signal was developed using an ECL Plus Western Blotting Substrate. NUPR1 western blot across cell and tissue lysates shows a predominant band at ~17 kDa. Although the predicted mass is ~9 kDa, NUPR1 is a small, acidic, intrinsically disordered protein that characteristically migrates at ~16-18 kDa on SDS-PAGE; minor PTMs may contribute to the shift.
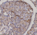
Immunohistochemical staining of NUPR1 using anti-NUPR1 antibody. NUPR1 was detected in a paraffin-embedded section of human lung cancer tissue. Heat mediated antigen retrieval was performed in EDTA buffer (pH 8.0, epitope retrieval solution). The tissue section was blocked with 10% goat serum. The tissue section was then incubated with 2 ug/ml rabbit anti-NUPR1 antibody overnight at 4oC. Peroxidase Conjugated Goat Anti-rabbit IgG was used as secondary antibody and incubated for 30 minutes at 37oC. The tissue section was developed using an HRP secondary and DAB substrate.
Immunohistochemical staining of NUPR1 using anti-NUPR1 antibody. NUPR1 was detected in a paraffin-embedded section of mouse pancreas tissue. Heat mediated antigen retrieval was performed in EDTA buffer (pH 8.0, epitope retrieval solution). The tissue section was blocked with 10% goat serum. The tissue section was then incubated with 2 ug/ml rabbit anti-NUPR1 antibody overnight at 4oC. Peroxidase Conjugated Goat Anti-rabbit IgG was used as secondary antibody and incubated for 30 minutes at 37oC. The tissue section was developed using an HRP secondary and DAB substrate.
Immunohistochemical staining of NUPR1 using anti-NUPR1 antibody. NUPR1 was detected in a paraffin-embedded section of rat pancreas tissue. Heat mediated antigen retrieval was performed in EDTA buffer (pH 8.0, epitope retrieval solution). The tissue section was blocked with 10% goat serum. The tissue section was then incubated with 2 ug/ml rabbit anti-NUPR1 antibody overnight at 4oC. Peroxidase Conjugated Goat Anti-rabbit IgG was used as secondary antibody and incubated for 30 minutes at 37oC. The tissue section was developed using an HRP secondary and DAB substrate.
Immunofluorescent staining of NUPR1 using anti-NUPR1 antibody (red). NUPR1 was detected in a paraffin-embedded section of mouse pancreas tissue. Heat mediated antigen retrieval was performed in EDTA buffer (pH 8.0, epitope retrieval solution). The tissue section was blocked with 10% goat serum. The tissue section was then incubated with 5 ug/ml rabbit anti-NUPR1 antibody overnight at 4oC. Cy3 Conjugated Goat Anti-Rabbit IgG was used as secondary antibody at 1:500 dilution and incubated for 30 minutes at 37oC. The section was counterstained with DAPI nuclear stain (blue). Visualize using a fluorescence microscope and filter sets appropriate for the label used.
Immunofluorescent staining of NUPR1 using anti-NUPR1 antibody (red). NUPR1 was detected in a paraffin-embedded section of human bladder cancer tissue. Heat mediated antigen retrieval was performed in EDTA buffer (pH 8.0, epitope retrieval solution). The tissue section was blocked with 10% goat serum. The tissue section was then incubated with 5 ug/ml rabbit anti-NUPR1 antibody overnight at 4oC. Cy3 Conjugated Goat Anti-Rabbit IgG was used as secondary antibody at 1:500 dilution and incubated for 30 minutes at 37oC. The section was counterstained with DAPI nuclear stain (blue). Visualize using a fluorescence microscope and filter sets appropriate for the label used.
Immunohistochemical staining of NUPR1 using anti-NUPR1 antibody. NUPR1 was detected in a paraffin-embedded section of human bladder cancer tissue. Heat mediated antigen retrieval was performed in EDTA buffer (pH 8.0, epitope retrieval solution). The tissue section was blocked with 10% goat serum. The tissue section was then incubated with 2 ug/ml rabbit anti-NUPR1 antibody overnight at 4oC. Peroxidase Conjugated Goat Anti-rabbit IgG was used as secondary antibody and incubated for 30 minutes at 37oC. The tissue section was developed using an HRP secondary and DAB substrate.
Immunofluorescent staining of NUPR1 using anti-NUPR1 antibody (green) and anti-Beta Tubulin antibody (red). NUPR1 was detected in an immunocytochemical section of U2OS cells. Enzyme antigen retrieval was performed using IHC enzyme antigen retrieval reagent for 15 mins. The cells were blocked with 10% goat serum. And then incubated with 5 ug/ml rabbit anti-NUPR1 antibody and mouse anti-Beta Tubulin antibody overnight at 4oC. DyLight 488 Conjugated Goat Anti-Rabbit IgG and Cy3 Conjugated Goat Anti-Mouse IgG were used as secondary antibody at 1:500 dilution and incubated for 30 minutes at 37oC. Visualize using a fluorescence microscope and filter sets appropriate for the label used.
Flow Cytometry analysis of HepG2 cells using anti-NUPR1 antibody. Overlay histogram showing HepG2 cells stained with (Blue line). To facilitate intracellular staining, cells were fixed with 4% paraformaldehyde and permeabilized with permeabilization buffer. The cells were blocked with 10% normal goat serum. And then incubated with rabbit anti-NUPR1 antibody (1 ug/million cells) for 30 min at 20oC. DyLight 488 conjugated goat anti-rabbit IgG (5-10 ug/million cells) was used as secondary antibody for 30 minutes at 20oC. Isotype control antibody (Green line) was rabbit IgG (1 ug/million cells) used under the same conditions. Unlabelled sample without incubation with primary antibody and secondary antibody (Red line) was used as a blank control.
Availability 1-2 days
Species Reactivity Human, Mouse, Rat
Format Lyophilized
Clonality Polyclonal (rabbit origin)
Isotype Rabbit IgG
Purity Immunogen affinity purified
Buffer Each vial contains 4 mg Trehalose, 0.9 mg NaCl, 0.2 mg Na2HPO4.
UniProt O60356
Localization Nuclear, cytoplasmic
Applications Western Blot : 0.25-0.5ug/ml
Immunohistochemistry : 2-5ug/ml
Immunofluorescence : 5ug/ml
Immunocytochemistry/Immunofluorescence : 5ug/ml
Flow Cytometry : 1-3ug/million cells
Limitations This NUPR1 antibody is available for research use only.
Review this product on BioCompare and get a $20 Amazon gift card

Description

NUPR1 antibody detects Nuclear protein 1, a small chromatin-associated transcriptional regulator induced by cellular stress. Encoded by the NUPR1 gene on chromosome 16p11.2, this intrinsically disordered nuclear protein is activated in response to stress stimuli such as oxidative damage, hypoxia, and nutrient deprivation. NUPR1 modulates gene expression related to cell cycle control, apoptosis, and autophagy, playing a pivotal role in stress adaptation and tumor progression.

Structurally, NUPR1 is a 100-amino-acid protein of approximately 9 kilodaltons lacking defined secondary structure, which enables flexible interactions with DNA and chromatin-modifying enzymes. It acts as a transcriptional cofactor rather than a classical DNA-binding protein, partnering with p300, SMADs, and histone modifiers to influence transcriptional responses. NUPR1 localizes predominantly to the nucleus but can shuttle between compartments depending on stress conditions and post-translational modifications.

The NUPR1 antibody is widely used in oncology, stress biology, and transcription research to study adaptive gene regulation and tumor cell survival. Western blot analysis detects a 9 kilodalton band corresponding to NUPR1, while immunofluorescence demonstrates strong nuclear localization that increases following stress induction. This antibody enables analysis of NUPR1 expression during oxidative and metabolic stress and its contribution to stress-responsive transcription networks.

Functionally, NUPR1 promotes survival under cytotoxic conditions by regulating genes involved in autophagy and anti-apoptotic pathways. It acts downstream of ATF4 and CHOP in the endoplasmic reticulum stress response and influences cell fate decisions by modulating p53-dependent transcription. In cancer, overexpression of NUPR1 supports tumor growth, resistance to chemotherapy, and epithelial-mesenchymal transition (EMT). Conversely, NUPR1 depletion sensitizes tumor cells to oxidative damage and metabolic inhibitors. The NUPR1 antibody provides a key research tool for exploring stress signaling, transcriptional plasticity, and tumor adaptability. NSJ Bioreagents validates this antibody for its applications, ensuring sensitive and reproducible detection across experimental systems.

Application Notes

Optimal dilution of the NUPR1 antibody should be determined by the researcher.

Immunogen

A synthetic peptide corresponding to a sequence at the C-terminus of human NUPR1 was used as the immunogen for the NUPR1 antibody.

Storage

After reconstitution, the NUPR1 antibody can be stored for up to one month at 4oC. For long-term, aliquot and store at -20oC. Avoid repeated freezing and thawing.

Cross
Bulk Quote Request Form
Name*:
Organization*:
Email*:
Phone Number*:
Catalog No.*:
Comments and Specifics(amount, formulation, etc.)*:
Validation code: Captchapackage Image


Can't read the image? click here to refresh.
    *required field

Your bulk quote request has been submitted successfully!

Please contact us if you have any questions.