• Tel: 858.663.9055
  • SeparatorEmail: info@nsjbio.com
  • Tel: 858.663.9055
  • Email: info@nsjbio.com
Home >> Antibodies >> NUP62 Antibody / Nucleoporin 62

NUP62 Antibody / Nucleoporin 62 (FY12565)

  Catalog No Formulation Size Price (USD)  
Image FY12565 Adding 0.2 ml of distilled water will yield a concentration of 500 ug/ml 100 ug 449
Bulk quote request
Immunofluorescent staining of NUP62 using anti-NUP62 antibody (red). NUP62 was detected in an immunocytochemical section of U2OS cells. Enzyme antigen retrieval was performed using IHC enzyme antigen retrieval reagent for 15 mins. The cells were blocked with 10% goat serum. And then incubated with 5 ug/ml rabbit anti-NUP62 antibody overnight at 4oC. Cy3 Conjugated Goat Anti-Rabbit IgG was used as secondary antibody at 1:500 dilution and incubated for 30 minutes at 37oC. The section was counterstained with DAPI nuclear stain (blue). Visualize using a fluorescence microscope and filter sets appropriate for the label used.
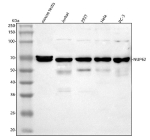
Western blot analysis of NUP62 using anti-NUP62 antibody. Lane 1: mouse testis tissue lysates, Lane 2: human Jurkat whole cell lysates, Lane 3: human 293T whole cell lysates, Lane 4: human Hela whole cell lysates, Lane 5: human PC-3 whole cell lysates. After electrophoresis, proteins were transferred to a nitrocellulose membrane at 150 mA for 50-90 minutes. Blocked the membrane with 5% non-fat milk/TBS for 1.5 hour at RT. The membrane was incubated with rabbit anti-NUP62 antibody at 0.5 ug/ml overnight at 4oC, then washed with TBS-0.1%Tween 3 times with 5 minutes each and probed with a goat anti-rabbit IgG-HRP secondary antibody at a dilution of 1:5000 for 1.5 hour at RT. The signal was developed using enhanced chemiluminescent. Western blot of indicated lysates probed with anti-NUP62. A strong band is detected at ~69 kDa in human cell lines, higher than the calculated ~53 kDa and consistent with the known slower SDS-PAGE migration of NUP62. Mouse testis shows a ~69 kDa doublet, likely reflecting isoform and post-translational modification heterogeneity.
Immunofluorescent staining of NUP62 using anti-NUP62 antibody (red) and anti-Beta Tubulin antibody (green). NUP62 was detected in immunocytochemical section of U2OS cell. Enzyme antigen retrieval was performed using IHC enzyme antigen retrieval reagent for 15 mins. The cells were blocked with 10% goat serum. And then incubated with 5 ug/ml rabbit anti-NUP62 antibody and mouse anti-Beta Tubulin antibody overnight at 4oC. Cy3 Conjugated Goat Anti-Rabbit IgG and DyLight 488 Conjugated Goat Anti-Mouse IgG were used as secondary antibody at 1:500 dilution and incubated for 30 minutes at 37oC. Visualize using a fluorescence microscope and filter sets appropriate for the label used.
Immunohistochemical staining of NUP62 using anti-NUP62 antibody. NUP62 was detected in a paraffin-embedded section of human ovarian cancer tissue. Heat mediated antigen retrieval was performed in EDTA buffer (pH 8.0, epitope retrieval solution). The tissue section was blocked with 10% goat serum. The tissue section was then incubated with 2 ug/ml rabbit anti-NUP62 antibody overnight at 4oC. Peroxidase Conjugated Goat Anti-rabbit IgG was used as secondary antibody and incubated for 30 minutes at 37oC. The tissue section was developed using an HRP secondary and DAB substrate.
Flow Cytometry analysis of PC-3 cells using anti-NUP62 antibody. Overlay histogram showing PC-3 cells stained with (Blue line). To facilitate intracellular staining, cells were fixed with 4% paraformaldehyde and permeabilized with permeabilization buffer. The cells were blocked with 10% normal goat serum. And then incubated with rabbit anti-NUP62 antibody (1 ug/million cells) for 30 min at 20oC. DyLight 488 conjugated goat anti-rabbit IgG (5-10 ug/million cells) was used as secondary antibody for 30 minutes at 20oC. Isotype control antibody (Green line) was rabbit IgG (1 ug/million cells) used under the same conditions. Unlabelled sample (Red line) was also used as a control.
Availability 1-2 days
Species Reactivity Human, Mouse
Format Lyophilized
Host Rabbit
Clonality Polyclonal (rabbit origin)
Isotype Rabbit IgG
Purity Immunogen affinity purified
Buffer Each vial contains 4 mg Trehalose, 0.9 mg NaCl, 0.2 mg Na2HPO4.
UniProt P37198
Localization Nuclear, cytoplasmic
Applications ELISA : 0.1-0.5ug/ml
Immunofluorescence : 5ug/ml
Immunohistochemistry : 2-5ug/ml
Immunocytochemistry : 5ug/ml
Western Blot : 0.25-0.5ug/ml
Flow Cytometry : 1-3ug/million cells (Intracellular)
Limitations This NUP62 antibody is available for research use only.
Review this product on BioCompare and get a $20 Amazon gift card

Description

NUP62 antibody detects Nucleoporin 62, a central channel component of the nuclear pore complex that mediates selective nucleocytoplasmic transport of macromolecules. NUP62 forms part of the symmetrical ring structure and contributes to the permeability barrier that controls RNA export and protein import. The NUP62 antibody is used in molecular biology, nuclear transport, and cell cycle research to investigate nuclear envelope dynamics and transport regulation.

NUP62 is encoded by the NUP62 gene located on human chromosome 19q13.32. The protein is approximately 520 amino acids long and contains multiple phenylalanine-glycine repeat motifs that create the selective barrier of the pore. NUP62 interacts with importins, exportins, and Ran GTPase to regulate directionality of cargo transport across the nuclear envelope.

The NUP62 antibody detects a 62 kilodalton band on western blot and shows punctate nuclear envelope staining by immunofluorescence. NUP62 forms a subcomplex with NUP54 and NUP58 to create the central transport channel, undergoing dynamic conformational changes during translocation events. This structure selectively allows passage of karyopherin-bound cargo while excluding non-specific diffusion.

Beyond transport, NUP62 participates in mitosis, where portions of the nuclear pore disassemble to allow spindle formation and chromosome segregation. Mutations or mislocalization of NUP62 disrupt nuclear-cytoplasmic communication, leading to developmental defects and neurodegeneration. Autoantibodies against NUP62 have been identified in certain autoimmune diseases, reflecting its immunogenicity when nuclear integrity is compromised.

Through its integral role in nuclear transport and cell cycle progression, NUP62 maintains genome organization and communication between nuclear and cytoplasmic compartments. NSJ Bioreagents provides a validated NUP62 antibody optimized for western blot, immunofluorescence, and nuclear envelope imaging, supporting research into nucleocytoplasmic trafficking, mitotic control, and nuclear pore architecture.

Application Notes

Optimal dilution of the NUP62 antibody should be determined by the researcher.

Immunogen

E.coli-derived human NUP62 recombinant protein (Position: E404-D522) was used as the immunogen for the NUP62 antibody.

Storage

After reconstitution, the NUP62 antibody can be stored for up to one month at 4oC. For long-term, aliquot and store at -20oC. Avoid repeated freezing and thawing.

Cross
Bulk Quote Request Form
Name*:
Organization*:
Email*:
Phone Number*:
Catalog No.*:
Comments and Specifics(amount, formulation, etc.)*:
Validation code: Captchapackage Image


Can't read the image? click here to refresh.
    *required field

Your bulk quote request has been submitted successfully!

Please contact us if you have any questions.