• Tel: 858.663.9055
  • SeparatorEmail: info@nsjbio.com
  • Tel: 858.663.9055
  • Email: info@nsjbio.com
Home >> Antibodies >> NUMB Antibody

NUMB Antibody (R31714)

  Catalog No Formulation Size Price (USD)  
Image R31714 0.5mg/ml if reconstituted with 0.2ml sterile DI water 100 ug 449
Bulk quote request
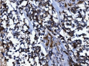
IHC staining of FFPE human liver cancer tissue with NUMB antibody. HIER: boil tissue sections in pH8 EDTA for 20 min and allow to cool before testing.
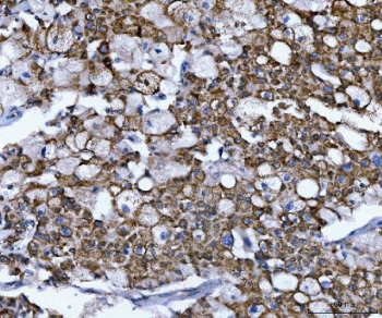
IHC staining of FFPE human lung cancer tissue with NUMB antibody. HIER: boil tissue sections in pH8 EDTA for 20 min and allow to cool before testing.
Western blot testing of 1) human HeLa, 2) monkey COS-7, 3) human RT4, 4) rat C6 and 5) mouse NIH 3T3 cell lysate with NUMB antibody. Predicted molecular weight ~70 kDa.
Flow cytometry testing of human U-87 MG cells with NUMB antibody at 1ug/million cells (blocked with goat sera); Red=cells alone, Green=isotype control, Blue= NUMB antibody.
Availability 1-3 business days
Species Reactivity Human, Mouse, Rat, Monkey
Format Antigen affinity purified
Host Rabbit
Clonality Polyclonal (rabbit origin)
Isotype Rabbit IgG
Purity Antigen affinity
Buffer Lyophilized from 1X PBS with 2% Trehalose
UniProt P49757
Localization Cytoplasm, cell membrane
Applications Western Blot : 0.5-1ug/ml
Immunohistochemistry (FFPE) : 2-5ug/ml
Flow Cytometry : 1-3ug/million cells
Limitations This NUMB antibody is available for research use only.
Review this product on BioCompare and get a $20 Amazon gift card

Related Products

  • Applications : WB, IHC, ELISA
    Reactivity : Human
    Pred. Reactivity : Mouse, Rat
  • Applications : IHC-P, IF/ICC, FACS, ELISA (peptide)
    Reactivity : Human, Mouse
  • Applications : WB, FACS, ELISA
    Reactivity : Human, Monkey, Mouse, Rat

Description

Numb is a protein that in humans is encoded by the gene of the same name. The encoded protein, whose degradation is induced in a proteasome-dependent manner by MDM2, is a membrane-bound protein that has been shown to associate with EPS15, LNX1, and NOTCH1. The primary function of Numb in cell differentiation is as an inhibitor of Notch signaling which is essential for maintaining self-renewal potential in stem and progenitor cells. Numb also plays a crucial role in asymmetrical cell division during development, allowing for differential cell fate specification in the central and peripheral nervous systems. Additionally, the protein product controls binary cell fate decisions in the peripheral and central nervous systems of both invertebrates and mammals during neurogenesis.

Application Notes

The stated application concentrations are suggested starting amounts. Titration of the NUMB antibody may be required due to differences in protocols and secondary/substrate sensitivity.

Immunogen

Amino acids 194-220 (SFRVTTATEQAEREEIMKQMQDAKKAE-human) were used as the immunogen for this NUMB antibody.

Storage

After reconstitution, the NUMB antibody can be stored for up to one month at 4oC. For long-term, aliquot and store at -20oC. Avoid repeated freezing and thawing.

Cross
Bulk Quote Request Form
Name*:
Organization*:
Email*:
Phone Number*:
Catalog No.*:
Comments and Specifics(amount, formulation, etc.)*:
Validation code: Captchapackage Image


Can't read the image? click here to refresh.
    *required field

Your bulk quote request has been submitted successfully!

Please contact us if you have any questions.