• Tel: 858.663.9055
  • SeparatorEmail: info@nsjbio.com
  • Tel: 858.663.9055
  • Email: info@nsjbio.com
Home >> Antibodies >> NUFIP1 Antibody / Nuclear FMR1-interacting protein 1

NUFIP1 Antibody / Nuclear FMR1-interacting protein 1 (RQ8398)

  Catalog No Formulation Size Price (USD)  
Image RQ8398 0.5mg/ml if reconstituted with 0.2ml sterile DI water 100 ug 449
Bulk quote request
Immunofluorescent staining of FFPE human U-2 OS cells with NUFIP1 antibody (red) and Beta Tubulin mAb (green). HIER: steam section in pH6 citrate buffer for 20 min.
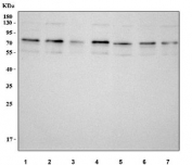
Western blot testing of human 1) HeLa, 2) A375, 3) Caco-2, 4) HEL, 5) 293T, 6) HepG2 and 7) SH-SY5Y cell lysate with NUFIP1 antibody. Predicted molecular weight ~56 kDa, commonly observed at 70-75 kDa.
Availability 1-3 business days
Species Reactivity Human
Format Antigen affinity purified
Host Rabbit
Clonality Polyclonal (rabbit origin)
Isotype Rabbit IgG
Purity Antigen affinity purified
Buffer Lyophilized from 1X PBS with 2% Trehalose
UniProt Q9UHK0
Applications Western Blot : 0.5-1ug/ml
Immunofluorescence : 5ug/ml
Direct ELISA : 0.1-0.5ug/ml
Limitations This NUFIP1 antibody is available for research use only.
Review this product on BioCompare and get a $20 Amazon gift card

Description

Nuclear fragile X mental retardation-interacting protein 1 is a protein that in humans is encoded by the NUFIP1 gene. This gene encodes a nuclear RNA binding protein that contains a C2H2 zinc finger motif and a nuclear localization signal. This protein is associated with the nuclear matrix in perichromatin fibrils and, in neurons, localizes to the cytoplasm in association with endoplasmic reticulum ribosomes. This protein interacts with the fragile X mental retardation protein (FMRP), the tumor suppressor protein BRCA1, upregulates RNA polymerase II transcription, and is involved in box C/D snoRNP biogenesis. A pseudogene of this gene resides on chromosome 6q12.

Application Notes

Optimal dilution of the NUFIP1 antibody should be determined by the researcher.

Immunogen

An E.coli-derived human recombinant protein (Q66-D481) was used as the immunogen for the NUFIP1 antibody.

Storage

After reconstitution, the NUFIP1 antibody can be stored for up to one month at 4oC. For long-term, aliquot and store at -20oC. Avoid repeated freezing and thawing.

Cross
Bulk Quote Request Form
Name*:
Organization*:
Email*:
Phone Number*:
Catalog No.*:
Comments and Specifics(amount, formulation, etc.)*:
Validation code: Captchapackage Image


Can't read the image? click here to refresh.
    *required field

Your bulk quote request has been submitted successfully!

Please contact us if you have any questions.