• Tel: 858.663.9055
  • SeparatorEmail: info@nsjbio.com
  • Tel: 858.663.9055
  • Email: info@nsjbio.com
Home >> Antibodies >> NUDT8 Antibody / Nudix hydrolase 8

NUDT8 Antibody / Nudix hydrolase 8 (FY13372)

  Catalog No Formulation Size Price (USD)  
Image FY13372 Adding 0.2 ml of distilled water will yield a concentration of 500 ug/ml 100 ug 449
Bulk quote request
Immunohistochemical staining of NUDT8 using anti-NUDT8 antibody. NUDT8 was detected in a paraffin-embedded section of human colon cancer tissue. Heat mediated antigen retrieval was performed in EDTA buffer (pH 8.0, epitope retrieval solution). The tissue section was blocked with 10% goat serum. The tissue section was then incubated with 2 ug/ml rabbit anti-NUDT8 antibody overnight at 4oC. Peroxidase Conjugated Goat Anti-rabbit IgG was used as secondary antibody and incubated for 30 minutes at 37oC. The tissue section was developed using an HRP secondary and DAB substrate.
Western blot analysis of NUDT8 using anti-NUDT8 antibody. Electrophoresis was performed on a 12% SDS-PAGE gel at 80V (Stacking gel) / 120V (Resolving gel) for 2 hours. Lane 1: human Jurkat whole cell lysates, Lane 2: human whole cell lysates, Lane 3: human MCF-7 whole cell lysates, Lane 4: human HepG2 whole cell lysates. After electrophoresis, proteins were transferred to a nitrocellulose membrane at 150 mA for 50-90 minutes. Blocked the membrane with 5% non-fat milk/TBS for 1.5 hour at RT. The membrane was incubated with rabbit anti-NUDT8 antibody at 0.5 ug/ml overnight at 4oC, then washed with TBS-0.1%Tween 3 times with 5 minutes each and probed with a goat anti-rabbit IgG-HRP secondary antibody at a dilution of 1:5000 for 1.5 hour at RT. The signal was developed using an ECL Plus Western Blotting Substrate. The expected molecular weight of NUDT8 is ~25 kDa.
Immunohistochemical staining of NUDT8 using anti-NUDT8 antibody. NUDT8 was detected in a paraffin-embedded section of human colon cancer tissue. Heat mediated antigen retrieval was performed in EDTA buffer (pH 8.0, epitope retrieval solution). The tissue section was blocked with 10% goat serum. The tissue section was then incubated with 2 ug/ml rabbit anti-NUDT8 antibody overnight at 4oC. Peroxidase Conjugated Goat Anti-rabbit IgG was used as secondary antibody and incubated for 30 minutes at 37oC. The tissue section was developed using an HRP secondary and DAB substrate.
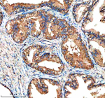
Immunohistochemical staining of NUDT8 using anti-NUDT8 antibody. NUDT8 was detected in a paraffin-embedded section of human prostatic hyperplasia tissue. Heat mediated antigen retrieval was performed in EDTA buffer (pH 8.0, epitope retrieval solution). The tissue section was blocked with 10% goat serum. The tissue section was then incubated with 2 ug/ml rabbit anti-NUDT8 antibody overnight at 4oC. Peroxidase Conjugated Goat Anti-rabbit IgG was used as secondary antibody and incubated for 30 minutes at 37oC. The tissue section was developed using an HRP secondary and DAB substrate.
Flow Cytometry analysis of cells using anti-NUDT8 antibody. Overlay histogram showing cells stained with (Blue line). To facilitate intracellular staining, cells were fixed with 4% paraformaldehyde and permeabilized with permeabilization buffer. The cells were blocked with 10% normal goat serum. And then incubated with rabbit anti-NUDT8 antibody (1 ug/million cells) for 30 min at 20oC. DyLight 488 conjugated goat anti-rabbit IgG (5-10 ug/million cells) was used as secondary antibody for 30 minutes at 20oC. Isotype control antibody (Green line) was rabbit IgG (1 ug/million cells) used under the same conditions. Unlabelled sample without incubation with primary antibody and secondary antibody (Red line) was used as a blank control.
Availability 1-2 days
Species Reactivity Human
Format Lyophilized
Host Rabbit
Clonality Polyclonal (rabbit origin)
Isotype Rabbit IgG
Purity Immunogen affinity purified
Buffer Each vial contains 4 mg Trehalose, 0.9 mg NaCl, 0.2 mg Na2HPO4.
UniProt Q8WV74
Localization Cytoplasm (Mitochondria)
Applications Western Blot : 0.25-0.5ug/ml
Immunohistochemistry : 2-5ug/ml
Flow Cytometry : 1-3ug/million cells
ELISA : 0.1-0.5ug/ml
Limitations This NUDT8 antibody is available for research use only.
Review this product on BioCompare and get a $20 Amazon gift card

Description

NUDT8 antibody detects Nudix hydrolase 8, a mitochondrial enzyme encoded by the NUDT8 gene on chromosome 4p14. NUDT8 belongs to the Nudix hydrolase family of pyrophosphatases, which catalyze the hydrolysis of nucleoside diphosphates and related metabolites to prevent accumulation of potentially toxic intermediates. NUDT8 is localized to the mitochondrial matrix, where it plays a role in maintaining nucleotide balance and mitochondrial integrity. It is expressed in energy-demanding tissues such as heart, skeletal muscle, and brain, reflecting its role in nucleotide metabolism and redox regulation.

Structurally, NUDT8 contains the conserved Nudix (nucleoside diphosphate linked to another moiety, X) motif GX5EX7REUXEEXGU, which defines the catalytic site of the Nudix hydrolase family. The enzyme hydrolyzes substrates such as CoA diphosphate derivatives, ADP-ribose, and other nucleotide intermediates. NUDT8 belongs to the mitochondrial subfamily of Nudix enzymes, which also includes NUDT9 and NUDT15. Co-localization studies confirm its mitochondrial matrix localization, consistent with roles in energy metabolism and oxidative stress defense.

Functionally, NUDT8 acts as a metabolic housekeeper by removing oxidized or excess nucleotide derivatives that can disrupt mitochondrial function. It maintains CoA and ADP-ribose homeostasis, supporting efficient energy production and mitochondrial redox balance. NUDT8 also contributes to nucleotide quality control by hydrolyzing damaged substrates generated during oxidative stress. Through this activity, it supports mitochondrial DNA replication fidelity and prevents accumulation of noncanonical nucleotides.

NUDT8 expression is developmentally regulated, increasing during mitochondrial biogenesis and metabolic activation in muscle and neuronal cells. Dysregulation of NUDT8 has been linked to metabolic disorders and mitochondrial dysfunction. Reduced enzyme activity can impair oxidative phosphorylation, while overexpression enhances resilience against oxidative damage. Pathway involvement includes CoA metabolism, NAD metabolism, and nucleotide salvage pathways.

The NUDT8 antibody from NSJ Bioreagents is a valuable reagent for research into mitochondrial metabolism, nucleotide regulation, and redox homeostasis.

Application Notes

Optimal dilution of the NUDT8 antibody should be determined by the researcher.

Immunogen

E.coli-derived human NUDT8 recombinant protein (Position: M1-L236) was used as the immunogen for the NUDT8 antibody.

Storage

After reconstitution, the NUDT8 antibody can be stored for up to one month at 4oC. For long-term, aliquot and store at -20oC. Avoid repeated freezing and thawing.

Cross
Bulk Quote Request Form
Name*:
Organization*:
Email*:
Phone Number*:
Catalog No.*:
Comments and Specifics(amount, formulation, etc.)*:
Validation code: Captchapackage Image


Can't read the image? click here to refresh.
    *required field

Your bulk quote request has been submitted successfully!

Please contact us if you have any questions.