• Tel: 858.663.9055
  • SeparatorEmail: info@nsjbio.com
  • Tel: 858.663.9055
  • Email: info@nsjbio.com
Home >> Antibodies >> NUDT7 Antibody / Peroxisomal coenzyme A diphosphatase NUDT7

NUDT7 Antibody / Peroxisomal coenzyme A diphosphatase NUDT7 (FY13224)

  Catalog No Formulation Size Price (USD)  
Image FY13224 Adding 0.2 ml of distilled water will yield a concentration of 500 ug/ml 100 ug 439
Bulk quote request
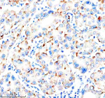
Immunohistochemical staining of NUDT7 using anti-NUDT7 antibody. NUDT7 was detected in a paraffin-embedded section of human liver tissue. Heat mediated antigen retrieval was performed in EDTA buffer (pH 8.0, epitope retrieval solution). The tissue section was blocked with 10% goat serum. The tissue section was then incubated with 2 ug/ml rabbit anti-NUDT7 antibody overnight at 4oC. Peroxidase Conjugated Goat Anti-rabbit IgG was used as secondary antibody and incubated for 30 minutes at 37oC. The tissue section was developed using an HRP secondary and DAB substrate.
Western blot analysis of NUDT7 using anti-NUDT7 antibody. Lane 1: human THP-1 whole cell lysates, Lane 2: human Jurkat whole cell lysates, Lane 3: human MCF-7 whole cell lysates, Lane 4: human HepG2 whole cell lysates, Lane 5: rat liver tissue lysates, Lane 6: mouse liver tissue lysates. After electrophoresis, proteins were transferred to a nitrocellulose membrane at 150 mA for 50-90 minutes. Blocked the membrane with 5% non-fat milk/TBS for 1.5 hour at RT. The membrane was incubated with rabbit anti-NUDT7 antibody at 0.5 ug/ml overnight at 4oC, then washed with TBS-0.1%Tween 3 times with 5 minutes each and probed with a goat anti-rabbit IgG-HRP secondary antibody at a dilution of 1:5000 for 1.5 hour at RT. The signal was developed using enhanced chemiluminescent. A specific band was detected for NUDT7 at approximately 27 kDa. The expected molecular weight of NUDT7 is ~27 kDa.
Immunohistochemical staining of NUDT7 using anti-NUDT7 antibody. NUDT7 was detected in a paraffin-embedded section of human liver cancer tissue. Heat mediated antigen retrieval was performed in EDTA buffer (pH 8.0, epitope retrieval solution). The tissue section was blocked with 10% goat serum. The tissue section was then incubated with 2 ug/ml rabbit anti-NUDT7 antibody overnight at 4oC. Peroxidase Conjugated Goat Anti-rabbit IgG was used as secondary antibody and incubated for 30 minutes at 37oC. The tissue section was developed using an HRP secondary and DAB substrate.
Flow Cytometry analysis of THP-1 cells using anti-NUDT7 antibody. Overlay histogram showing THP-1 cells stained with (Blue line). To facilitate intracellular staining, cells were fixed with 4% paraformaldehyde and permeabilized with permeabilization buffer. The cells were blocked with 10% normal goat serum. And then incubated with rabbit anti-NUDT7 antibody (1 ug/million cells) for 30 min at 20oC. DyLight 488 conjugated goat anti-rabbit IgG (5-10 ug/million cells) was used as secondary antibody for 30 minutes at 20oC. Isotype control antibody (Green line) was rabbit IgG (1 ug/million cells) used under the same conditions. Unlabelled sample without incubation with primary antibody and secondary antibody (Red line) was used as a blank control.
Availability 1-2 days
Species Reactivity Human, Mouse, Rat
Format Lyophilized
Clonality Polyclonal (rabbit origin)
Isotype Rabbit IgG
Purity Immunogen affinity purified
Buffer Each vial contains 4 mg Trehalose, 0.9 mg NaCl, 0.2 mg Na2HPO4.
UniProt P0C024
Localization Golgi, Nucleus
Applications Western Blot : 0.25-0.5ug/ml
Immunohistochemistry : 2-5ug/ml
Flow Cytometry : 1-3ug/million cells
ELISA : 0.1-0.5ug/ml
Limitations This NUDT7 antibody is available for research use only.
Review this product on BioCompare and get a $20 Amazon gift card

Description

NUDT7 antibody detects Peroxisomal coenzyme A diphosphatase NUDT7, an enzyme that regulates coenzyme A (CoA) and acyl-CoA metabolism within peroxisomes. The UniProt recommended name is Peroxisomal coenzyme A diphosphatase NUDT7 (NUDT7). This enzyme belongs to the Nudix hydrolase family, which hydrolyzes nucleoside diphosphates linked to various moieties, maintaining metabolic balance in oxidative organelles.

Functionally, NUDT7 antibody identifies a 282-amino-acid peroxisomal enzyme that hydrolyzes CoA, dephospho-CoA, and acyl-CoA derivatives into 3?,5?-ADP and the corresponding phosphopantetheine moiety. This activity helps regulate peroxisomal CoA levels, preventing CoA accumulation and maintaining optimal substrate availability for beta-oxidation and lipid metabolism. By modulating CoA turnover, NUDT7 indirectly influences energy metabolism, fatty acid oxidation, and reactive oxygen species detoxification.

The NUDT7 gene is located on chromosome 16p13.3 and is primarily expressed in liver and kidney, with additional expression in heart and skeletal muscle. Its activity is tightly regulated by nutritional status and metabolic signals such as fasting, reflecting its integration within energy homeostasis pathways.

Pathologically, altered NUDT7 activity can disrupt lipid metabolism and contribute to metabolic disorders. Reduced enzyme activity impairs peroxisomal CoA recycling, potentially leading to accumulation of acyl-CoA intermediates and oxidative stress. Overexpression has been linked to adaptive metabolic responses during fasting or high-fat diet conditions. Research using NUDT7 antibody supports studies in lipid metabolism, peroxisomal function, and metabolic regulation.

NUDT7 antibody is validated for western blotting, immunohistochemistry, and immunofluorescence to detect peroxisomal enzymes. NSJ Bioreagents provides NUDT7 antibody reagents optimized for research in coenzyme metabolism, oxidative balance, and lipid catabolism.

Structurally, Peroxisomal coenzyme A diphosphatase NUDT7 contains a conserved Nudix motif (GX5EX7REUXEEXGU) essential for divalent cation-dependent hydrolysis. The enzyme forms homodimers within peroxisomes, providing catalytic efficiency and substrate specificity. This antibody enables the study of NUDT7's role in peroxisomal metabolic control and its contribution to energy regulation in mammalian cells.

Application Notes

Optimal dilution of the NUDT7 antibody should be determined by the researcher.

Immunogen

E.coli-derived human NUDT7 recombinant protein (Position: M1-L238) was used as the immunogen for the NUDT7 antibody.

Storage

After reconstitution, the NUDT7 antibody can be stored for up to one month at 4oC. For long-term, aliquot and store at -20oC. Avoid repeated freezing and thawing.

Cross
Bulk Quote Request Form
Name*:
Organization*:
Email*:
Phone Number*:
Catalog No.*:
Comments and Specifics(amount, formulation, etc.)*:
Validation code: Captchapackage Image


Can't read the image? click here to refresh.
    *required field

Your bulk quote request has been submitted successfully!

Please contact us if you have any questions.