• Tel: 858.663.9055
  • SeparatorEmail: info@nsjbio.com
  • Tel: 858.663.9055
  • Email: info@nsjbio.com
Home >> Antibodies >> NUDT6 Antibody / Nucleoside diphosphate-linked moiety X motif 6

NUDT6 Antibody / Nucleoside diphosphate-linked moiety X motif 6 (RQ8370)

  Catalog No Formulation Size Price (USD)  
Image RQ8370 0.5mg/ml if reconstituted with 0.2ml sterile DI water 100 ug 449
Bulk quote request
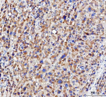
IHC staining of FFPE human liver cancer tissue with NUDT6 antibody. HIER: boil tissue sections in pH8 EDTA for 20 min and allow to cool before testing.
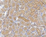
IHC staining of FFPE mouse kidney tissue with NUDT6 antibody. HIER: boil tissue sections in pH8 EDTA for 20 min and allow to cool before testing.
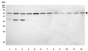
Western blot testing of 1) human Jurkat, 2) human HepG2, 3) human K562, 4) human ThP-1, 5) human PC-3, 6) human A549, 7) human HeLa, 8) human SH-SY5Y, 9) rat kidney, 10) rat H9C2, 11) mouse kidney and 12) mouse HEPA1/6 cell lysate with NUDT6 antibody. Expected molecular weight ~72 kDa (homodimer).
Availability 1-3 business days
Species Reactivity Human, Mouse, Rat
Format Antigen affinity purified
Host Rabbit
Clonality Polyclonal (rabbit origin)
Isotype Rabbit IgG
Purity Antigen affinity purified
Buffer Lyophilized from 1X PBS with 2% Trehalose
UniProt P53370
Localization Nuclear, cytoplasmic
Applications Western Blot : 0.5-1ug/ml
Immunohistochemistry (FFPE) : 2-5ug/ml
Direct ELISA : 0.1-0.5ug/ml
Limitations This NUDT6 antibody is available for research use only.
Review this product on BioCompare and get a $20 Amazon gift card

Description

Nucleoside diphosphate-linked moiety X motif 6 is a protein that in humans is encoded by the NUDT6 gene. This gene overlaps and lies on the opposite strand from FGF2 gene, and is thought to be the FGF2 antisense gene. The two genes are independently transcribed, and their expression shows an inverse relationship, suggesting that this antisense transcript may regulate FGF2 expression. This gene has also been shown to have hormone-regulatory and antiproliferative actions in the pituitary that are independent of FGF2 expression. Alternatively spliced transcript variants encoding different isoforms have been found for this gene.

Application Notes

Optimal dilution of the NUDT6 antibody should be determined by the researcher.

Immunogen

An E.coli-derived human recombinant protein (D45-K303) was used as the immunogen for the NUDT6 antibody.

Storage

After reconstitution, the NUDT6 antibody can be stored for up to one month at 4oC. For long-term, aliquot and store at -20oC. Avoid repeated freezing and thawing.

Cross
Bulk Quote Request Form
Name*:
Organization*:
Email*:
Phone Number*:
Catalog No.*:
Comments and Specifics(amount, formulation, etc.)*:
Validation code: Captchapackage Image


Can't read the image? click here to refresh.
    *required field

Your bulk quote request has been submitted successfully!

Please contact us if you have any questions.