• Tel: 858.663.9055
  • SeparatorEmail: info@nsjbio.com
  • Tel: 858.663.9055
  • Email: info@nsjbio.com
Home >> Antibodies >> NUDT15 Antibody / Nudix hydrolase 15

NUDT15 Antibody / Nudix hydrolase 15 (RQ8724)

  Catalog No Formulation Size Price (USD)  
Image RQ8724 0.5mg/ml if reconstituted with 0.2ml sterile DI water 100 ug 449
Bulk quote request
Immunofluorescent staining of FFPE human A549 cells with NUDT15 antibody (red) and Phalloidin-iFluor 488 conjugate (green). HIER: steam section in pH6 citrate buffer for 20 min.
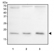
Western blot testing of human 1) Jurkat, 2) HeLa and 3) Caco-2 cell lysate with NUDT15 antibody. Predicted molecular weight ~19 kDa.
Availability 1-3 days
Species Reactivity Human
Format Antigen affinity purified
Host Rabbit
Clonality Polyclonal (rabbit origin)
Isotype Rabbit IgG
Purity Antigen affinity chromatography
Buffer Lyophilized from 1X PBS with 2% Trehalose
UniProt Q9NV35
Localization Nuclear
Applications Western Blot : 1-2ug/ml
Immunofluorescence : 5ug/ml
ELISA : 0.1-0.5ug/ml
Limitations This NUDT15 antibody is available for research use only.
Review this product on BioCompare and get a $20 Amazon gift card

Related Products

Description

Nudix hydrolase 15 is a protein that in humans is encoded by the NUDT15 gene. This gene encodes an enzyme that belongs to the Nudix hydrolase superfamily. Members of this superfamily catalyze the hydrolysis of nucleoside diphosphates, including substrates like 8-oxo-dGTP, which are a result of oxidative damage, and can induce base mispairing during DNA replication, causing transversions. The encoded enzyme is a negative regulator of thiopurine activation and toxicity. Mutations in this gene result in poor metabolism of thiopurines, and are associated with thiopurine-induced early leukopenia. Multiple pseudogenes of this gene have been identified.

Application Notes

Optimal dilution of the NUDT15 antibody should be determined by the researcher.

Immunogen

An E.coli-derived human recombinant protein (amino acids C23-L164) was used as the immunogen for the NUDT15 antibody.

Storage

After reconstitution, the NUDT15 antibody can be stored for up to one month at 4oC. For long-term, aliquot and store at -20oC. Avoid repeated freezing and thawing.

Cross
Bulk Quote Request Form
Name*:
Organization*:
Email*:
Phone Number*:
Catalog No.*:
Comments and Specifics(amount, formulation, etc.)*:
Validation code: Captchapackage Image


Can't read the image? click here to refresh.
    *required field

Your bulk quote request has been submitted successfully!

Please contact us if you have any questions.