• Tel: 858.663.9055
  • SeparatorEmail: info@nsjbio.com
  • Tel: 858.663.9055
  • Email: info@nsjbio.com
Home >> Antibodies >> NUDT15 Antibody / Nudix hydrolase 15

NUDT15 Antibody / Nudix hydrolase 15 (F54345)

  Catalog No Formulation Size Price (USD)  
Image F54345-0.4ML In 1X PBS, pH 7.4, with 0.09% sodium azide 0.4 ml 439
Image
F54345-0.08ML In 1X PBS, pH 7.4, with 0.09% sodium azide 0.08 ml 205
Bulk quote request
Western blot testing of human SW620 cell lysate with NUDT15 antibody. Predicted molecular weight ~19 kDa.
Western blot testing of human HuTu-80 cell lysate with NUDT15 antibody. Predicted molecular weight ~19 kDa.
Western blot testing of mouse small intestine lysate with NUDT15 antibody. Predicted molecular weight ~19 kDa.
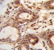
IHC testing of FFPE human breast tissue with NUDT15 antibody. HIER: steam section in pH6 citrate buffer for 20 min and allow to cool prior to staining.
Flow cytometry testing of fixed and permeabilized human HepG2 cells with NUDT15 antibody; Blue=isotype control, Green= NUDT15 antibody.
Availability 1-3 business days
Species Reactivity Human, Mouse
Format Purified
Host Rabbit
Clonality Polyclonal (rabbit origin)
Isotype Rabbit Ig
Purity Antigen affinity purified
UniProt Q9NV35
Localization Cytoplasmic
Applications Flow Cytometry : 1:25 (1x10e6 cells)
Immunohistochemistry (FFPE) : 1:25
Western Blot : 1:500-1:2000
Limitations This NUDT15 antibody is available for research use only.
Review this product on BioCompare and get a $20 Amazon gift card

Related Products

Description

Mediates the hydrolysis of some nucleoside diphosphate derivatives. Can degrade 8-oxo-dGTP in vitro, suggesting that it may remove an oxidatively damaged form of guanine (7,8-dihydro-8-oxoguanine) from DNA and the nucleotide pool, thereby preventing misincorporation of 8-oxo-dGTP into DNA thus preventing A:T to C:G transversions. Its substrate specificity in vivo however remains unclear (By similarity). May have a role in DNA synthesis and cell cycle progression throught the interaction with PCNA.

Application Notes

The stated application concentrations are suggested starting points. Titration of the NUDT15 antibody may be required due to differences in protocols and secondary/substrate sensitivity.

Immunogen

A portion of amino acids 89-118 from the human protein was used as the immunogen for the NUDT15 antibody.

Storage

Aliquot the NUDT15 antibody and store frozen at -20oC or colder. Avoid repeated freeze-thaw cycles.

Cross
Bulk Quote Request Form
Name*:
Organization*:
Email*:
Phone Number*:
Catalog No.*:
Comments and Specifics(amount, formulation, etc.)*:
Validation code: Captchapackage Image


Can't read the image? click here to refresh.
    *required field

Your bulk quote request has been submitted successfully!

Please contact us if you have any questions.