• Tel: 858.663.9055
  • SeparatorEmail: info@nsjbio.com
  • Tel: 858.663.9055
  • Email: info@nsjbio.com
Home >> Antibodies >> Nudel Antibody / NDEL1

Nudel Antibody / NDEL1 (RQ6500)

  Catalog No Formulation Size Price (USD)  
Image RQ6500 0.5mg/ml if reconstituted with 0.2ml sterile DI water 100 ug 449
Bulk quote request
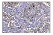
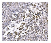
IHC staining of FFPE human breast cancer tissue with Nudel antibody. HIER: boil tissue sections in pH8 EDTA for 20 min and allow to cool before testing.
IHC staining of FFPE human endometrial cancer tissue with Nudel antibody. HIER: boil tissue sections in pH8 EDTA for 20 min and allow to cool before testing.
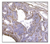
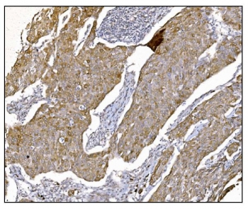
IHC staining of FFPE human liver cancer tissue with Nudel antibody. HIER: boil tissue sections in pH8 EDTA for 20 min and allow to cool before testing.
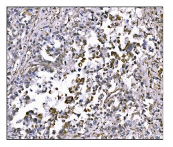
IHC staining of FFPE human lung cancer tissue with Nudel antibody. HIER: boil tissue sections in pH8 EDTA for 20 min and allow to cool before testing.
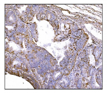
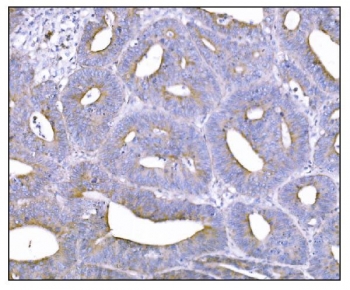
IHC staining of FFPE human gastric cancer tissue with Nudel antibody. HIER: boil tissue sections in pH8 EDTA for 20 min and allow to cool before testing.
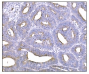
IHC staining of FFPE human rectal cancer tissue with Nudel antibody. HIER: boil tissue sections in pH8 EDTA for 20 min and allow to cool before testing.
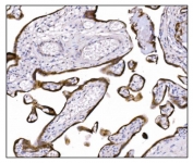
IHC staining of FFPE human placental tissue with Nudel antibody. HIER: boil tissue sections in pH8 EDTA for 20 min and allow to cool before testing.
Western blot testing of human 1) Jurkat, 2) HEK293 and 3) HepG2 cell lysate with Nudel antibody. Predicted molecular weight: 37-41 kDa.
Flow cytometry testing of human A549 cells with Nudel antibody at 1ug/million cells (blocked with goat sera); Red=cells alone, Green=isotype control, Blue= Nudel antibody.
Availability 1-3 business days
Species Reactivity Human
Format Antigen affinity purified
Host Rabbit
Clonality Polyclonal (rabbit origin)
Isotype Rabbit IgG
Purity Affinity purified
Buffer Lyophilized from 1X PBS with 2% Trehalose
UniProt Q9GZM8
Localization Cytoplasmic
Applications Western Blot : 1-2ug/ml
Immunohistochemistry (FFPE) : 2-5ug/ml
Flow Cytometry : 1-3ug/million cells
Direct ELISA : 0.1-0.5ug/ml
Limitations This Nudel antibody is available for research use only.
Review this product on BioCompare and get a $20 Amazon gift card

Related Products

  • Applications : WB, ELISA (peptide)
    Reactivity : Human
    Pred. Reactivity : Cow, Dog, Mouse, Pig, Rat

Description

Nuclear distribution protein nudE-like 1 is a protein that in humans is encoded by the NDEL1 gene. This gene encodes a coiled-coil protein that plays a role in multiple processes including cytoskeletal organization, cell signaling and neuron migration, outgrowth and maintenance. Alternatively spliced transcript variants encoding multiple isoforms have been observed for this gene, and a pseudogene of this gene is located on the long arm of chromosome X.

Application Notes

Optimal dilution of the Nudel antibody should be determined by the researcher.

Immunogen

An E. coli-derived human protein (amino acids K80-C320) was used as the immunogen for the Nudel antibody.

Storage

After reconstitution, the Nudel antibody can be stored for up to one month at 4oC. For long-term, aliquot and store at -20oC. Avoid repeated freezing and thawing.

Cross
Bulk Quote Request Form
Name*:
Organization*:
Email*:
Phone Number*:
Catalog No.*:
Comments and Specifics(amount, formulation, etc.)*:
Validation code: Captchapackage Image


Can't read the image? click here to refresh.
    *required field

Your bulk quote request has been submitted successfully!

Please contact us if you have any questions.