• Tel: 858.663.9055
  • SeparatorEmail: info@nsjbio.com
  • Tel: 858.663.9055
  • Email: info@nsjbio.com
Home >> Antibodies >> Nucleoporin 155 Antibody / NUP155

Nucleoporin 155 Antibody / NUP155 (RQ8335)

  Catalog No Formulation Size Price (USD)  
Image RQ8335 0.5mg/ml if reconstituted with 0.2ml sterile DI water 100 ug 449
Bulk quote request
Immunofluorescent staining of FFPE human A549 cells with Nucleoporin 155 antibody (green) and Beta Tubulin mAb (red). HIER: steam section in pH6 citrate buffer for 20 min.
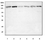
Western blot testing of human 1) 293T, 2) HeLa, 3) Jurkat, 4) SiHa, 5) K562 and 6) A431 cell lysate with Nucleoporin 155 antibody. Predicted molecular weight ~155 kDa.
Flow cytometry testing of fixed and permeabilized human HeLa cells with Nucleoporin 155 antibody at 1ug/million cells (blocked with goat sera); Red=cells alone, Green=isotype control, Blue= Nucleoporin 155 antibody.
Availability 1-3 business days
Species Reactivity Human
Format Antigen affinity purified
Host Rabbit
Clonality Polyclonal (rabbit origin)
Isotype Rabbit IgG
Purity Antigen affinity purified
Buffer Lyophilized from 1X PBS with 2% Trehalose
UniProt O75694
Applications Western Blot : 0.5-1ug/ml
Immunofluorescence : 5ug/ml
Flow Cytometry : 1-3ug/million cells
Direct ELISA : 0.1-0.5ug/ml
Limitations This Nucleoporin 155 antibody is available for research use only.
Review this product on BioCompare and get a $20 Amazon gift card

Related Products

Description

Nucleoporin 155 (Nup155) is a protein that in humans is encoded by the NUP155 gene. Nucleoporins are proteins that play an important role in the assembly and functioning of the nuclear pore complex (NPC) which regulates the movement of macromolecules across the nuclear envelope (NE). The protein encoded by this gene plays a role in the fusion of NE vesicles and formation of the double membrane NE. The protein may also be involved in cardiac physiology and may be associated with the pathogenesis of atrial fibrillation. Alternative splicing results in multiple transcript variants of this gene. A pseudogene associated with this gene is located on chromosome 6.

Application Notes

Optimal dilution of the Nucleoporin 155 antibody should be determined by the researcher.

Immunogen

An E.coli-derived human recombinant protein (D133-K715) was used as the immunogen for the Nucleoporin 155 antibody.

Storage

After reconstitution, the Nucleoporin 155 antibody can be stored for up to one month at 4oC. For long-term, aliquot and store at -20oC. Avoid repeated freezing and thawing.

Cross
Bulk Quote Request Form
Name*:
Organization*:
Email*:
Phone Number*:
Catalog No.*:
Comments and Specifics(amount, formulation, etc.)*:
Validation code: Captchapackage Image


Can't read the image? click here to refresh.
    *required field

Your bulk quote request has been submitted successfully!

Please contact us if you have any questions.