• Tel: 858.663.9055
  • SeparatorEmail: info@nsjbio.com
  • Tel: 858.663.9055
  • Email: info@nsjbio.com
Home >> Antibodies >> Nucleophosmin Antibody

Nucleophosmin Antibody (R31754)

  Catalog No Formulation Size Price (USD)  
Image R31754 0.5mg/ml if reconstituted with 0.2ml sterile DI water 100 ug 449
Bulk quote request
Immunofluorescent staining of FFPE human intestinal cancer tissue with Nucleophosmin antibody. HIER: steam section in pH8 EDTA for 20 min.
Immunofluorescent staining of FFPE human Caco-2 cells with Nucleophosmin antibody (green) and DAPI nuclear stain (blue). HIER: steam section in pH6 citrate buffer for 20 min.
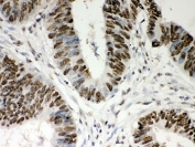
IHC staining of FFPE human intestinal cancer tissue with Nucleophosmin antibody. HIER: boil tissue sections in pH8 EDTA for 20 min and allow to cool before testing.
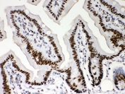
IHC staining of FFPE mouse intestinal tissue with Nucleophosmin antibody. HIER: boil tissue sections in pH8 EDTA for 20 min and allow to cool before testing.
IHC staining of FFPE rat intestinal tissue with Nucleophosmin antibody. HIER: boil tissue sections in pH8 EDTA for 20 min and allow to cool before testing.
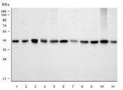
Western blot testing of 1) human HeLa, 2) human Jurkat, 3) human MCF7, 4) rat C6, 5) rat NRK, 6) rat PC-12, 7) rat RH35, 8) mouse ANA-1, 9) mouse RAW264.7, 10) mouse Neuro-2a and 11) mouse HEPA1-6 cell lysate with Nucleophosmin antibody. Expected molecular weight: ~38 kDa.
Flow cytometry testing of human HL60 cells with Nucleophosmin antibody at 1ug/million cells (blocked with goat sera); Red=cells alone, Green=isotype control, Blue= Nucleophosmin antibody.
Availability 1-3 business days
Species Reactivity Human, Mouse, Rat
Format Antigen affinity purified
Host Rabbit
Clonality Polyclonal (rabbit origin)
Isotype Rabbit IgG
Purity Antigen affinity
Buffer Lyophilized from 1X PBS with 2.5% BSA and 0.025% sodium azide
Gene ID 4869
Localization Nucleus, Cytoplasm
Applications Western Blot : 0.5-1ug/ml
Immunohistochemistry (FFPE) : 0.5-1ug/ml
Immunofluorescence : 5ug/ml
Flow Cytometry : 1-3ug/million cells
Limitations This Nucleophosmin antibody is available for research use only.
Review this product on BioCompare and get a $20 Amazon gift card

Related Products

Description

NPM1 or NPM (Nucleophosmin/Nucleoplasmin family member 1), also known as Nucleolar phosphoprotein B23 or numatrin, is a protein that in humans is encoded by the NPM1 gene. Chan et al. (1989) found that NPM is a nucleolar phosphoprotein that is more abundant in tumor cells than in normal resting cells. Stimulation of the growth of normal cells, e.g., mitogen activation of B lymphocytes, was accompanied by an increase in Nucleophosmin protein level. They stated that the protein is likely involved in the assembly of ribosomal proteins into ribosomes. Electron microscopic study indicated that Nucleophosmin is concentrated in the granular region of the nucleolus, where ribosome assembly occurs.

Application Notes

The stated application concentrations are suggested starting amounts. Titration of the Nucleophosmin antibody may be required due to differences in protocols and secondary/substrate sensitivity.

Immunogen

Human partial recombinant protein (AA 1-294) was used as the immunogen for this Nucleophosmin antibody.

Storage

After reconstitution, the Nucleophosmin antibody can be stored for up to one month at 4oC. For long-term, aliquot and store at -20oC. Avoid repeated freezing and thawing.

Cross
Bulk Quote Request Form
Name*:
Organization*:
Email*:
Phone Number*:
Catalog No.*:
Comments and Specifics(amount, formulation, etc.)*:
Validation code: Captchapackage Image


Can't read the image? click here to refresh.
    *required field

Your bulk quote request has been submitted successfully!

Please contact us if you have any questions.