• Tel: 858.663.9055
  • SeparatorEmail: info@nsjbio.com
  • Tel: 858.663.9055
  • Email: info@nsjbio.com
Home >> Antibodies >> Nucleophosmin Antibody / NPM1

Nucleophosmin Antibody / NPM1 (R31031)

  Catalog No Formulation Size Price (USD)  
Image R31031 0.5mg/ml if reconstituted with 0.2ml sterile DI water 100 ug 449
Bulk quote request
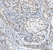
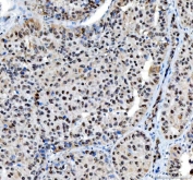
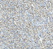
IHC staining of FFPE human thyroid cancer tissue with Nucleophosmin antibody. HIER: boil tissue sections in pH8 EDTA for 20 min and allow to cool before testing.
IHC staining of FFPE human laryngeal squamous cell carcinoma tissue with Nucleophosmin antibody. HIER: boil tissue sections in pH8 EDTA for 20 min and allow to cool before testing.
IHC staining of FFPE human tonsil tissue with Nucleophosmin antibody. HIER: boil tissue sections in pH8 EDTA for 20 min and allow to cool before testing.
IHC staining of FFPE human colorectal adenocarcinoma tissue with Nucleophosmin antibody. HIER: boil tissue sections in pH8 EDTA for 20 min and allow to cool before testing.
IHC staining of FFPE human glioma tissue with Nucleophosmin antibody. HIER: boil tissue sections in pH8 EDTA for 20 min and allow to cool before testing.
IHC staining of FFPE human liver cancer tissue with Nucleophosmin antibody. HIER: boil tissue sections in pH8 EDTA for 20 min and allow to cool before testing.
Western blot testing of 1) human HeLa, 2) human Jurkat, 3) human MCF7, 4) monkey COS-7, 5) human SK-OV-3, 6) human A549 and 7) human 22RV1 cell lysate with Nucleophosmin antibody. Expected molecular weight: ~38 kDa.
Western blot testing of 1) rat C6, 2) rat NRK, 3) rat PC-12, 4) rat RH35, 5) mouse ANA-1, 6) mouse RAW264.7, 7) mouse Neuro-2a and 8) mouse HEPA1-6 cell lysate with Nucleophosmin antibody. Expected molecular weight: ~38 kDa.
Immunofluorescent staining of FFPE human Caco-2 cells with Nucleophosmin antibody (red) and DAPI nuclear stain (blue). HIER: steam section in pH6 citrate buffer for 20 min.
Flow cytometry testing of fixed and permeabilized human HL60 cells with Nucleophosmin antibody at 1ug/million cells (blocked with goat sera); Red=cells alone, Green=isotype control, Blue= Nucleophosmin antibody.
Availability 1-3 business days
Species Reactivity Human, Mouse, Rat, Monkey
Format Antigen affinity purified
Host Rabbit
Clonality Polyclonal (rabbit origin)
Isotype Rabbit IgG
Purity Antigen affinity
Buffer Lyophilized from 1X PBS with 2% Trehalose
UniProt P06748
Localization Nucleus, cytoplasm
Applications Western Blot : 0.5-1ug/ml
Immunohistochemistry (FFPE) : 2-5ug/ml
Immunofluorescence : 5ug/ml
Flow Cytometry : 1-3ug/million cells
Limitations This Nucleophosmin antibody is available for research use only.
Review this product on BioCompare and get a $20 Amazon gift card

Related Products

Description

Nucleophosmin, also known as NPM, is a protein that in humans is encoded by the NPM1 gene. The gene maps to chromosome 5q35. Nucleophosmin is likely involved in the assembly of ribosomal proteins into ribosomes. An electron microscopic study indicated that Nucleophosmin is concentrated in the granular region of the nucleolus, where ribosome assembly occurs.

Application Notes

Variations in secondary/substrate sensitivities and test protocols may require the Nucleophosmin antibody to be titrated for optimal performance.

Immunogen

An amino acid sequence from the N-terminus of human NPM1 (ELKADKDYHFKVDNDENEHQ) was used as the immunogen for this Nucleophosmin antibody (100% homologous in human, mouse and rat).

Storage

The lyophilized Nucleophosmin antibody can be stored at 4oC to -20oC. After reconstitution, aliquot and store at -20oC. Avoid repeated freeze/thaws.

Cross
Bulk Quote Request Form
Name*:
Organization*:
Email*:
Phone Number*:
Catalog No.*:
Comments and Specifics(amount, formulation, etc.)*:
Validation code: Captchapackage Image


Can't read the image? click here to refresh.
    *required field

Your bulk quote request has been submitted successfully!

Please contact us if you have any questions.