• Tel: 858.663.9055
  • SeparatorEmail: info@nsjbio.com
  • Tel: 858.663.9055
  • Email: info@nsjbio.com
Home >> Antibodies >> Nucleolin Antibody Rabbit Monoclonal NCL/8695R

Nucleolin Antibody Rabbit Monoclonal NCL/8695R [clone NCL/8695R] (V4962)

  Catalog No Formulation Size Price (USD)  
Image V4962-100UG 0.2 mg/ml in 1X PBS with 0.1 mg/ml BSA (US sourced), 0.05% sodium azide 100 ug 559
Image
V4962-20UG 0.2 mg/ml in 1X PBS with 0.1 mg/ml BSA (US sourced), 0.05% sodium azide 20 ug 259
Image
V4962SAF-100UG 1 mg/ml in 1X PBS; BSA free, sodium azide free 100 ug 559
Microvalidated Recrabbitmono
Bulk quote request
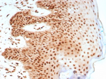
Nucleolin Antibody Rabbit Monoclonal NCL/8695R immunohistochemistry analysis of human skin tissue. Formalin-fixed paraffin-embedded human skin stained with Nucleolin Antibody Rabbit Monoclonal NCL/8695R. HRP-DAB brown chromogenic staining highlights nuclei of epidermal epithelial cells, consistent with the expected nuclear and nucleolar localization of Nucleolin / NCL. HIER: boil tissue sections in pH 9 10mM Tris with 1mM EDTA for 20 minutes and allow to cool before testing.
SDS-PAGE analysis of purified, BSA-free Nucleolin Antibody Rabbit Monoclonal NCL/8695R as confirmation of integrity and purity.
Availability 1-3 business days
Species Reactivity Human
Format Purified
Host Rabbit
Clonality Recombinant Rabbit Monoclonal
Isotype Rabbit IgG, kappa
Clone Name NCL/8695R
Purity Protein A/G affinity
UniProt P19338
Localization Nucleoli
Applications Western Blot : 1-2ug/ml
Immunohistochemistry (FFPE) : 1-2ug/ml for 30 min at RT
Limitations This Nucleolin antibody is available for research use only.
Review this product on BioCompare and get a $20 Amazon gift card

Related Products

Description

Nucleolin (NCL) is a multifunctional nucleolar phosphoprotein that plays a critical role in ribosome biogenesis, ribosomal RNA transcription, and nucleolar organization. The protein is encoded by the NCL gene on chromosome 2q37 and is one of the most abundant nucleolar proteins in proliferating cells. Nucleolin participates in transcription of ribosomal RNA genes, processing of precursor rRNA transcripts, and assembly of ribonucleoprotein complexes required for ribosome formation. The Nucleolin Antibody Rabbit Monoclonal NCL/8695R is designed to detect nucleolin expression in research studies investigating nucleolar structure and regulation of ribosome production.

Nucleolin is primarily localized within the nucleus and nucleolus where it functions as a central regulator of ribosomal RNA synthesis and nucleolar architecture. In actively proliferating cells, nucleolin accumulates strongly within nucleoli and contributes to the organization of ribosomal transcription complexes. Because nucleolin expression correlates with cellular proliferation and metabolic activity, antibodies targeting NCL are frequently used to study nucleolar biology and cellular growth pathways.

Nucleolin contains several structural domains that enable its diverse biological functions. The N-terminal acidic domain interacts with chromatin and ribosomal RNA transcription machinery. Four RNA recognition motifs in the central region allow nucleolin to bind ribosomal RNA and other RNA molecules, while the glycine- and arginine-rich C-terminal domain mediates interactions with nucleic acids and nucleolar proteins. Through these domains nucleolin coordinates ribosomal RNA transcription, RNA processing, and ribonucleoprotein assembly, processes that are tightly linked to cell growth and protein synthesis.

NCL antibody reagents are commonly referenced in the literature using several established synonyms for the protein. NCL antibody, nucleolin antibody, C23 nucleolin antibody, and nucleolar protein nucleolin antibody all refer to the same nucleolar phosphoprotein historically described as nucleolin nucleolar phosphoprotein. The designation C23 originates from early nucleolar protein fractionation experiments that identified nucleolin as a prominent nucleolar phosphoprotein associated with ribosomal transcription complexes. These alternative names remain widely used in studies of nucleolar biology and ribosome synthesis.

Nucleolin expression is frequently elevated in rapidly dividing cells and many tumor types where increased ribosome production supports enhanced protein synthesis required for cellular proliferation. Because nucleolin displays a characteristic nuclear and nucleolar localization pattern, antibodies targeting this protein provide useful tools for examining nucleolin distribution and nucleolar function in cellular studies. The Nucleolin Antibody Rabbit Monoclonal NCL/8695R therefore supports research focused on nucleolin expression, nucleolar organization, and regulation of ribosome biogenesis.

Application Notes

Optimal dilution of the Nucleolin Antibody Rabbit Monoclonal NCL/8695R should be determined by the researcher.

Immunogen

Recombinant full-length human NCL protein was used as the immunogen for the rabbit monoclonal Nucleolin antibody.

Storage

Aliquot the Nucleolin antibody and store frozen at -20oC or colder. Avoid repeated freeze-thaw cycles.

Alternate Names

NCL antibody, C23 nucleolin antibody, nucleolar protein nucleolin antibody, nucleolin nucleolar phosphoprotein antibody

Cross
Bulk Quote Request Form
Name*:
Organization*:
Email*:
Phone Number*:
Catalog No.*:
Comments and Specifics(amount, formulation, etc.)*:
Validation code: Captchapackage Image


Can't read the image? click here to refresh.
    *required field

Your bulk quote request has been submitted successfully!

Please contact us if you have any questions.