• Tel: 858.663.9055
  • SeparatorEmail: info@nsjbio.com
  • Tel: 858.663.9055
  • Email: info@nsjbio.com
Home >> Antibodies >> NUB1 Antibody / NEDD8 ultimate buster 1 / NYREN18

NUB1 Antibody / NEDD8 ultimate buster 1 / NYREN18 (RQ8328)

  Catalog No Formulation Size Price (USD)  
Image RQ8328 0.5mg/ml if reconstituted with 0.2ml sterile DI water 100 ug 449
Bulk quote request
Immunofluorescent staining of FFPE human HeLa cells with NUB1 antibody (red) and Beta Tubulin mAb (green). HIER: steam section in pH6 citrate buffer for 20 min.
IHC staining of FFPE human adrenal adenoma tissue with NUB1 antibody. HIER: boil tissue sections in pH8 EDTA for 20 min and allow to cool before testing.
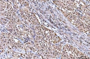
IHC staining of FFPE human bladder urothelial carcinoma tissue with NUB1 antibody. HIER: boil tissue sections in pH8 EDTA for 20 min and allow to cool before testing.
IHC staining of FFPE human ovarian cancer tissue with NUB1 antibody. HIER: boil tissue sections in pH8 EDTA for 20 min and allow to cool before testing.
Western blot testing of 1) human HeLa, 2) human COLO-320, 3) human HepG2, 4) human K562, 5) human Raji, 6) monkey COS-7, 7) human MCF7, 8) human A549, 9) rat liver, 10) rat PC-12 and 11) mouse NIH 3T3 with NUB1 antibody. Expected molecular weight: 70-100 kDa depending on level of ubiquitination.
Flow cytometry testing of fixed and permeabilized human K562 cells with NUB1 antibody at 1ug/million cells (blocked with goat sera); Red=cells alone, Green=isotype control, Blue= NUB1 antibody.
Availability 1-3 business days
Species Reactivity Human, Mouse, Rat, Monkey
Format Antigen affinity purified
Host Rabbit
Clonality Polyclonal (rabbit origin)
Isotype Rabbit IgG
Purity Antigen affinity purified
Buffer Lyophilized from 1X PBS with 2% Trehalose
UniProt Q9Y5A7
Localization Nuclear, cytoplasmic
Applications Western Blot : 0.5-1ug/ml
Immunohistochemistry (FFPE) : 2-5ug/ml
Immunofluorescence : 5ug/ml
Flow Cytometry : 1-3ug/million cells
ELISA : 0.1-0.5ug/ml
Limitations This NUB1 antibody is available for research use only.
Review this product on BioCompare and get a $20 Amazon gift card

Related Products

Description

NEDD8 ultimate buster 1 is a protein that in humans is encoded by the NUB1 gene. This gene encodes a protein that functions as a negative regulator of NEDD8, a ubiquitin-like protein that conjugates with cullin family members in order to regulate vital biological events. The protein encoded by this gene regulates the NEDD8 conjugation system post-transcriptionally by recruiting NEDD8 and its conjugates to the proteasome for degradation. This protein interacts with the product of the AIPL1 gene, which is associated with Leber congenital amaurosis, an inherited retinopathy, and mutations in that gene can abolish interaction with this protein, which may contribute to the pathogenesis. This protein is also known to accumulate in Lewy bodies in Parkinson's disease and dementia with Lewy bodies, and in glial cytoplasmic inclusions in multiple system atrophy, with this abnormal accumulation being specific to alpha-synucleinopathy lesions. Alternative splicing of this gene results in multiple transcript variants.

Application Notes

Optimal dilution of the NUB1 antibody should be determined by the researcher.

Immunogen

An E.coli-derived human recombinant protein (K190-D543) was used as the immunogen for the NUB1 antibody.

Storage

After reconstitution, the NUB1 antibody can be stored for up to one month at 4oC. For long-term, aliquot and store at -20oC. Avoid repeated freezing and thawing.

Cross
Bulk Quote Request Form
Name*:
Organization*:
Email*:
Phone Number*:
Catalog No.*:
Comments and Specifics(amount, formulation, etc.)*:
Validation code: Captchapackage Image


Can't read the image? click here to refresh.
    *required field

Your bulk quote request has been submitted successfully!

Please contact us if you have any questions.