• Tel: 858.663.9055
  • SeparatorEmail: info@nsjbio.com
  • Tel: 858.663.9055
  • Email: info@nsjbio.com
Home >> Antibodies >> NSMCE2 Antibody / NSE2 SUMO Ligase Component

NSMCE2 Antibody / NSE2 SUMO Ligase Component (RQ8343)

  Catalog No Formulation Size Price (USD)  
Image RQ8343 0.5mg/ml if reconstituted with 0.2ml sterile DI water 100 ug 449
Bulk quote request
NSMCE2 Antibody IF. Immunofluorescence analysis of NSE2 / NSMCE2 expression in human U-2 OS cells using NSMCE2 Antibody. FFPE cells show green fluorescence localized predominantly to the nucleus, consistent with the role of NSMCE2 as a chromatin-associated SUMO ligase component involved in DNA repair and genome stability. Beta Tubulin antibody (red) highlights the cytoskeletal microtubule network, and nuclei are visualized by DAPI (blue). Antigen retrieval was performed by steaming sections in pH 6 citrate buffer for 20 minutes.
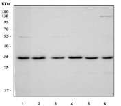
Western blot testing of human 1) MCF7, 2) U-2 OS, 2) A431, 4) K562, 5) A549 and 6) SiHa cell lysate with NSMCE2 antibody. Predicted molecular weight ~28 kDa.
NSMCE2 Antibody Human Sample WB. Western blot analysis of NSE2 / NSMCE2 expression using NSMCE2 Antibody in human cell lysates. Lane 1: MCF7, Lane 2: HEL, Lane 3: U-2 OS, Lane 4: PC-3. A band is detected at approximately 28 kDa, consistent with the predicted molecular weight of NSMCE2 / NSE2, a SUMO ligase component of the SMC5-SMC6 complex involved in DNA repair and genome stability.
NSMCE2 Antibody for FACS. Flow cytometry analysis of NSE2 / NSMCE2 expression in fixed and permeabilized human PC-3 cells using NSMCE2 antibody at 1 ug per million cells. The blue histogram shows a rightward shift compared to the isotype control (green) and unstained cells (red), indicating positive intracellular detection of NSMCE2. Cells were blocked with goat sera prior to antibody incubation to reduce non-specific binding.
NSMCE2 Antibody for IP. Immunoprecipitation of NSE2 / NSMCE2 from human MCF7 whole cell lysate using NSMCE2 antibody. Lane 1: input lysate (10%), Lane 2: control IgG immunoprecipitation, Lane 3: NSMCE2 antibody immunoprecipitation. A band corresponding to NSMCE2 is detected at approximately 28 kDa in the specific immunoprecipitation lane, while the IgG heavy chain is visible at ~50 kDa. These results demonstrate successful enrichment of NSMCE2 using the NSMCE2 antibody.
Availability 1-3 business days
Species Reactivity Human
Format Antigen affinity purified
Host Rabbit
Clonality Polyclonal (rabbit origin)
Isotype Rabbit IgG
Purity Antigen affinity purified
Buffer Lyophilized from 1X PBS with 2% Trehalose
UniProt Q96MF7
Applications Western Blot : 0.5-1ug/ml
Flow Cytometry : 1-3ug/million cells
Immunofluorescence : 5ug/ml
Immunoprecipitation : 2ug/500ug of lysate
Direct ELISA : 0.1-0.5ug/ml
Limitations This NSMCE2 Antibody / NSE2 SUMO Ligase Component is available for research use only.
Review this product on BioCompare and get a $20 Amazon gift card

Description

NSMCE2, also known as NSE2 and MMS21, is a SUMO E3 ligase component of the SMC5-SMC6 complex that plays a critical role in maintaining genome stability and regulating DNA repair processes. The NSMCE2 protein is encoded by the NSMCE2 gene and is primarily localized to the nucleus where it participates in chromatin-associated pathways that preserve DNA integrity. NSMCE2 Antibody is widely used to study this SUMO ligase component in cellular systems where it contributes to DNA damage responses and replication stress resolution.

NSMCE2 antibody, also referred to as NSE2 antibody and MMS21 antibody in the literature, recognizes a protein that functions as a SUMO ligase within the SMC5-SMC6 complex. This complex is essential for chromosome maintenance and is involved in homologous recombination repair, replication fork stability, and resolution of DNA structures that arise during replication stress. NSMCE2 mediates SUMOylation of target proteins, a post-translational modification that regulates protein function, localization, and interactions during DNA repair processes. Through its SUMO ligase activity, NSMCE2 helps coordinate the cellular response to DNA damage and ensures proper chromosome segregation.

The NSMCE2 protein contains conserved domains that support its enzymatic activity and interaction with other components of the SMC5-SMC6 complex. These structural features enable NSMCE2 to catalyze SUMO conjugation to substrates involved in DNA repair pathways. SUMOylation mediated by NSMCE2 has been shown to regulate proteins associated with chromatin structure and genome stability, highlighting its importance in maintaining proper cellular function under conditions of DNA damage and replication stress.

In cellular biology studies, NSMCE2 is primarily detected in the nucleus where it associates with chromatin and DNA repair foci. Its expression is often examined in the context of DNA damage response pathways, genome stability maintenance, and cell cycle regulation. Disruption of NSMCE2 function has been linked to defects in DNA repair and increased genomic instability, underscoring its importance in preserving chromosome integrity. As a result, NSMCE2 is frequently studied in research investigating mechanisms of DNA repair, replication stress, and chromosomal maintenance.

This rabbit polyclonal antibody is designed to recognize NSMCE2 expression in research applications. When used in experimental studies, NSMCE2 Antibody enables detection of NSE2 protein and supports analysis of SUMOylation pathways, DNA repair mechanisms, and genome stability processes in cellular and molecular research systems.

Application Notes

Optimal dilution of the NSMCE2 antibody should be determined by the researcher.

Immunogen

An E.coli-derived human recombinant protein (F14-D228) was used as the immunogen for the NSMCE2 Antibody / NSE2 SUMO Ligase Component.

Storage

After reconstitution, the NSMCE2 antibody can be stored for up to one month at 4oC. For long-term, aliquot and store at -20oC. Avoid repeated freezing and thawing.

Alternate Names

NSE2 antibody, NSMCE2 antibody, MMS21 antibody, SUMO ligase NSE2 antibody

Cross
Bulk Quote Request Form
Name*:
Organization*:
Email*:
Phone Number*:
Catalog No.*:
Comments and Specifics(amount, formulation, etc.)*:
Validation code: Captchapackage Image


Can't read the image? click here to refresh.
    *required field

Your bulk quote request has been submitted successfully!

Please contact us if you have any questions.