• Tel: 858.663.9055
  • SeparatorEmail: info@nsjbio.com
  • Tel: 858.663.9055
  • Email: info@nsjbio.com
Home >> Antibodies >> NSE Antibody for IF / ENO2 Immunofluorescence Antibody

NSE Antibody for IF / ENO2 Immunofluorescence Antibody (RQ4566)

  Catalog No Formulation Size Price (USD)  
Image RQ4566 0.5mg/ml if reconstituted with 0.2ml sterile DI water 100 ug 449
Bulk quote request
NSE Antibody for IF human A431 cell immunofluorescence staining. Immunofluorescence analysis of ENO2 expression in FFPE human A431 cells using NSE Antibody for IF demonstrates cytoplasmic green fluorescence consistent with Neuron Specific Enolase localization, while nuclei are counterstained with DAPI (blue). The staining pattern highlights ENO2-positive cells with clear cytoplasmic distribution and minimal background. Heat-induced epitope retrieval was performed using pH 6 citrate buffer with steam treatment for 20 min prior to staining.
NSE Antibody Human Pancreatic Cancer IHC. Immunohistochemistry staining of FFPE human pancreatic cancer with NSE antibody at 1ug/ml. HIER: boil tissue sections in pH6, 10mM citrate buffer, for 10-20 min followed by cooling at RT for 20 min.
NSE Antibody Human Lung Cancer IHC. Immunohistochemistry staining of FFPE human lung cancer with NSE antibody at 1ug/ml. HIER: boil tissue sections in pH6, 10mM citrate buffer, for 10-20 min followed by cooling at RT for 20 min.
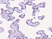
IHC staining of FFPE human placenta with NSE antibody at 1ug/ml. HIER: boil tissue sections in pH6, 10mM citrate buffer, for 10-20 min followed by cooling at RT for 20 min.
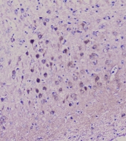
NSE Antibody Mouse Brain IHC. Immunohistochemistry staining of FFPE mouse brain with NSE antibody at 1ug/ml. HIER: boil tissue sections in pH6, 10mM citrate buffer, for 10-20 min followed by cooling at RT for 20 min.
NSE Antibody Rat Brain IHC. Immunohistochemistry staining of FFPE rat brain with NSE antibody at 1ug/ml. HIER: boil tissue sections in pH6, 10mM citrate buffer, for 10-20 min followed by cooling at RT for 20 min.
Western blot testing of human 1) 22RV1, 2) U-2 OS, 3) A431, 4) HepG2, 5) A549, 6) SHG-44, 7) rat brain and 8) mouse brain lysate with NSE antibody at 0.5ug/ml. Predicted molecular weight ~47 kDa.
NSE Antibody FACS. Flow cytometry testing of human A431 cells with NSE antibody at 1ug/million cells (blocked with goat sera); Red=cells alone, Green=isotype control, Blue= NSE antibody.
Availability 1-3 business days
Species Reactivity Human, Mouse, Rat
Format Antigen affinity purified
Host Rabbit
Clonality Polyclonal (rabbit origin)
Isotype Rabbit IgG
Purity Antigen affinity purified
Buffer Lyophilized from 1X PBS with 2% Trehalose and 0.025% sodium azide
UniProt P09104
Localization Cytoplasmic
Applications Western Blot : 0.5-1ug/ml
Immunohistochemistry (FFPE) : 1-2ug/ml
Immunofluorescence (FFPE) : 2-4ug/ml
Flow Cytometry : 1-3ug/million cells
Review this product on BioCompare and get a $20 Amazon gift card

Related Products

Description

Neuron-specific enolase (NSE), also known as Gamma-enolase or ENO2, is a glycolytic enzyme predominantly expressed in neurons and neuroendocrine cells, where it serves as a well-established marker of neuronal differentiation and neuroendocrine lineage. NSE is localized to the cytoplasm and is widely used in fluorescence-based imaging to visualize neuronal and neuroendocrine cell populations with high spatial resolution. NSE Antibody for IF enables precise detection of ENO2 expression in fixed cells and tissue sections, where cytoplasmic fluorescence highlights cell bodies, processes, and structural organization within complex tissue environments.

NSE antibody, also referred to as ENO2 antibody or Gamma-enolase antibody in the literature, recognizes a cytoplasmic protein with highly enriched expression in neuronal and neuroendocrine cells. In immunofluorescence applications, NSE staining produces a robust and well-defined cytoplasmic fluorescence signal that clearly delineates neuronal morphology, including soma and extending processes, as well as neuroendocrine cell populations embedded within heterogeneous tissues. This distinct signal-to-background profile allows accurate identification of ENO2-positive cells and facilitates detailed visualization of cellular architecture in situ.

In cultured cell systems and tissue sections, NSE immunofluorescence reveals characteristic cytoplasmic distribution patterns that correlate with neuronal identity and neuroendocrine differentiation. The antibody is well suited for co-localization studies, where NSE can be combined with nuclear markers, cytoskeletal proteins, or lineage-specific markers to define cell populations and assess differentiation status. This capability enables multi-parameter fluorescence imaging approaches to investigate cellular composition, lineage relationships, and spatial organization within tissues.

In cancer research, NSE immunofluorescence is particularly useful for identifying tumor cells with neuroendocrine differentiation, where strong cytoplasmic fluorescence distinguishes ENO2-positive tumor cells from surrounding stromal or non-neoplastic cells. This supports visualization of tumor heterogeneity and enables mapping of neuroendocrine features within tumor microenvironments using fluorescence microscopy. The ability to resolve these patterns at the single-cell level provides valuable insight into tumor cell identity and distribution.

This antibody targets Neuron Specific Enolase in research applications requiring sensitive and high-resolution immunofluorescent detection of neuronal and neuroendocrine markers, making it well suited for studies of cellular localization, co-localization analysis, neuronal morphology, and fluorescence-based imaging of tissue and cell models.

This antibody is part of the Gamma-enolase antibody collection, where additional ENO2 antibodies for immunohistochemistry can be explored.

Application Notes

Optimal dilution of the NSE Antibody for IF / ENO2 Immunofluorescence Antibody should be determined by the researcher.

Immunogen

Amino acids LKAVDHINSTIAPALISSGLSVVEQEKLDNLMLELDGTENK were used as the immunogen for the NSE antibody.

Storage

After reconstitution, the NSE antibody can be stored for up to one month at 4oC. For long-term, aliquot and store at -20oC. Avoid repeated freezing and thawing.

Alternate Names

NSE IF antibody, ENO2 antibody, Gamma-enolase antibody, neuron-specific enolase immunofluorescence antibody, ENO2 IF antibody

Cross
Bulk Quote Request Form
Name*:
Organization*:
Email*:
Phone Number*:
Catalog No.*:
Comments and Specifics(amount, formulation, etc.)*:
Validation code: Captchapackage Image


Can't read the image? click here to refresh.
    *required field

Your bulk quote request has been submitted successfully!

Please contact us if you have any questions.