• Tel: 858.663.9055
  • SeparatorEmail: info@nsjbio.com
  • Tel: 858.663.9055
  • Email: info@nsjbio.com
Home >> Antibodies >> NSDHL Antibody / Sterol-4-alpha-carboxylate 3-dehydrogenase

NSDHL Antibody / Sterol-4-alpha-carboxylate 3-dehydrogenase (FY13155)

  Catalog No Formulation Size Price (USD)  
Image FY13155 Adding 0.2 ml of distilled water will yield a concentration of 500 ug/ml 100 ug 449
Bulk quote request
Immunofluorescent staining of NSDHL using anti-NSDHL antibody (red). NSDHL was detected in a paraffin-embedded section of human lung cancer tissue. Heat mediated antigen retrieval was performed in EDTA buffer (pH 8.0, epitope retrieval solution). The tissue section was blocked with 10% goat serum. The tissue section was then incubated with 5 ug/ml rabbit anti-NSDHL antibody overnight at 4oC. Cy3 Conjugated Goat Anti-Rabbit IgG was used as secondary antibody at 1:500 dilution and incubated for 30 minutes at 37oC. The section was counterstained with DAPI nuclear stain (blue). Visualize using a fluorescence microscope and filter sets appropriate for the label used.
Western blot analysis of NSDHL using anti-NSDHL antibody. Electrophoresis was performed on a 10% SDS-PAGE gel at 80V (Stacking gel) / 120V (Resolving gel) for 2 hours. Lane 1: human Hela whole cell lysates, Lane 2: human whole cell lysates, Lane 3: human HepG2 whole cell lysates, Lane 4: human MCF-7 whole cell lysates, Lane 5: rat brain tissue lysates, Lane 6: rat PC-12 whole cell lysates, Lane 7: mouse brain tissue lysates, Lane 8: mouse NIH/3T3 whole cell lysates. After electrophoresis, proteins were transferred to a nitrocellulose membrane at 150 mA for 50-90 minutes. Blocked the membrane with 5% non-fat milk/TBS for 1.5 hour at RT. The membrane was incubated with rabbit anti-NSDHL antibody at 0.5 ug/ml overnight at 4oC, then washed with TBS-0.1%Tween 3 times with 5 minutes each and probed with a goat anti-rabbit IgG-HRP secondary antibody at a dilution of 1:5000 for 1.5 hour at RT. The signal was developed using an ECL Plus Western Blotting Substrate. NSDHL antibody detects a single band migrating at ~38 kDa across the indicated cell and tissue lysates. Although the theoretical molecular weight is ~42 kDa, NSDHL is an ER-associated membrane protein that typically migrates faster on SDS-PAGE due to signal peptide cleavage and altered SDS binding. The observed size is consistent with published reports of the mature NSDHL form.
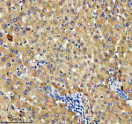
Immunohistochemical staining of NSDHL using anti-NSDHL antibody. NSDHL was detected in a paraffin-embedded section of human liver tissue. Heat mediated antigen retrieval was performed in EDTA buffer (pH 8.0, epitope retrieval solution). The tissue section was blocked with 10% goat serum. The tissue section was then incubated with 2 ug/ml rabbit anti-NSDHL antibody overnight at 4oC. Peroxidase Conjugated Goat Anti-rabbit IgG was used as secondary antibody and incubated for 30 minutes at 37oC. The tissue section was developed using an HRP secondary and DAB substrate.
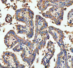
Immunohistochemical staining of NSDHL using anti-NSDHL antibody. NSDHL was detected in a paraffin-embedded section of human lung cancer tissue. Heat mediated antigen retrieval was performed in EDTA buffer (pH 8.0, epitope retrieval solution). The tissue section was blocked with 10% goat serum. The tissue section was then incubated with 2 ug/ml rabbit anti-NSDHL antibody overnight at 4oC. Peroxidase Conjugated Goat Anti-rabbit IgG was used as secondary antibody and incubated for 30 minutes at 37oC. The tissue section was developed using an HRP secondary and DAB substrate.
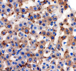
Immunohistochemical staining of NSDHL using anti-NSDHL antibody. NSDHL was detected in a paraffin-embedded section of rat liver tissue. Heat mediated antigen retrieval was performed in EDTA buffer (pH 8.0, epitope retrieval solution). The tissue section was blocked with 10% goat serum. The tissue section was then incubated with 2 ug/ml rabbit anti-NSDHL antibody overnight at 4oC. Peroxidase Conjugated Goat Anti-rabbit IgG was used as secondary antibody and incubated for 30 minutes at 37oC. The tissue section was developed using an HRP secondary and DAB substrate.
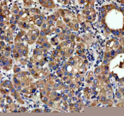
Immunohistochemical staining of NSDHL using anti-NSDHL antibody. NSDHL was detected in a paraffin-embedded section of human liver cancer tissue. Heat mediated antigen retrieval was performed in EDTA buffer (pH 8.0, epitope retrieval solution). The tissue section was blocked with 10% goat serum. The tissue section was then incubated with 2 ug/ml rabbit anti-NSDHL antibody overnight at 4oC. Peroxidase Conjugated Goat Anti-rabbit IgG was used as secondary antibody and incubated for 30 minutes at 37oC. The tissue section was developed using an HRP secondary and DAB substrate.
Immunofluorescent staining of NSDHL using anti-NSDHL antibody (red). NSDHL was detected in a paraffin-embedded section of human liver cancer tissue. Heat mediated antigen retrieval was performed in EDTA buffer (pH 8.0, epitope retrieval solution). The tissue section was blocked with 10% goat serum. The tissue section was then incubated with 5 ug/ml rabbit anti-NSDHL antibody overnight at 4oC. Cy3 Conjugated Goat Anti-Rabbit IgG was used as secondary antibody at 1:500 dilution and incubated for 30 minutes at 37oC. The section was counterstained with DAPI nuclear stain (blue). Visualize using a fluorescence microscope and filter sets appropriate for the label used.
Immunoprecipitating NSDHL in Hela whole cell lysate. Western blot analysis of NSDHL using anti-NSDHL antibody. Lane 1: Hela whole cell lysates (30ug), Lane 2: Rabbit control IgG instead of anti-NSDHL antibody in Hela whole cell lysate, Lane 3: anti-NSDHL antibody (2ug) + Hela whole cell lysate (500ug). After electrophoresis, proteins were transferred to a membrane. Then the membrane was incubated with rabbit anti-NSDHL antibody at a dilution of 0.5 ug/ml and probed with a mouse anti-rabbit IgG-HRP secondary antibody. The signal is developed using ECL Plus Western Blotting Substrate. A specific band was detected for NSDHL at approximately 38 kDa. The expected molecular weight of NSDHL is at 42 kDa.
Flow Cytometry analysis of cells using anti-NSDHL antibody. Overlay histogram showing cells stained with (Blue line). To facilitate intracellular staining, cells were fixed with 4% paraformaldehyde and permeabilized with permeabilization buffer. The cells were blocked with 10% normal goat serum. And then incubated with rabbit anti-NSDHL antibody (1 ug/million cells) for 30 min at 20oC. DyLight 488 conjugated goat anti-rabbit IgG (5-10 ug/million cells) was used as secondary antibody for 30 minutes at 20oC. Isotype control antibody (Green line) was rabbit IgG (1 ug/million cells) used under the same conditions. Unlabelled sample without incubation with primary antibody and secondary antibody (Red line) was used as a blank control.
Availability 1-2 days
Species Reactivity Human, Mouse, Rat
Format Lyophilized
Host Rabbit
Clonality Polyclonal (rabbit origin)
Isotype Rabbit IgG
Purity Immunogen affinity purified
Buffer Each vial contains 4 mg Trehalose, 0.9 mg NaCl, 0.2 mg Na2HPO4.
UniProt Q15738
Localization ER
Applications Western Blot : 0.25-0.5ug/ml
Immunohistochemistry : 2-5ug/ml
Immunofluorescence : 5ug/ml
Immunoprecipitation : 2-4ug/500ug of lysate
Flow Cytometry : 1-3ug/million cells
ELISA : 0.1-0.5ug/ml
Limitations This NSDHL antibody is available for research use only.
Review this product on BioCompare and get a $20 Amazon gift card

Related Products

Description

NSDHL antibody detects Sterol-4-alpha-carboxylate 3-dehydrogenase, decarboxylating, a membrane-associated enzyme involved in cholesterol biosynthesis. The UniProt recommended name is Sterol-4-alpha-carboxylate 3-dehydrogenase, decarboxylating (NSDHL). This enzyme catalyzes oxidative decarboxylation of sterol intermediates during the post-squalene steps of cholesterol production, playing a crucial role in lipid homeostasis and membrane integrity.

Functionally, NSDHL antibody identifies a 373-amino-acid enzyme localized to the endoplasmic reticulum membrane. NSDHL acts sequentially with other enzymes such as HSD17B7 and EBP to remove carboxyl groups from C4-methyl sterols, facilitating the conversion of lanosterol to cholesterol. Its catalytic activity contributes to maintaining sterol balance essential for cell signaling and membrane function.

The NSDHL gene is located on chromosome Xq28 and is highly expressed in liver, skin, and brain tissues. Its activity supports embryonic development, epidermal differentiation, and lipid raft formation in cell membranes. NSDHL is evolutionarily conserved and tightly regulated to ensure steady cholesterol output.

Pathologically, mutations in NSDHL cause CHILD syndrome (Congenital Hemidysplasia with Ichthyosiform erythroderma and Limb Defects), a rare X-linked disorder involving defective cholesterol metabolism and asymmetric skin and limb malformations. NSDHL dysfunction also disrupts sterol intermediates, leading to toxic accumulation of precursors. Research using NSDHL antibody supports studies in lipid metabolism, cholesterol biosynthesis, and genetic disorders of sterol processing.

NSDHL antibody is validated for western blotting, immunohistochemistry, and immunofluorescence to detect sterol biosynthetic enzymes. NSJ Bioreagents provides NSDHL antibody reagents optimized for lipid biology, metabolism, and enzymology research.

Structurally, Sterol-4-alpha-carboxylate 3-dehydrogenase, decarboxylating contains a short-chain dehydrogenase/reductase catalytic domain and transmembrane segments that anchor it to the endoplasmic reticulum. This antibody enables study of NSDHL's role in sterol conversion and metabolic regulation.

Application Notes

Optimal dilution of the NSDHL antibody should be determined by the researcher.

Immunogen

E.coli-derived human NSDHL recombinant protein (Position: E7-K373) was used as the immunogen for the NSDHL antibody.

Storage

After reconstitution, the NSDHL antibody can be stored for up to one month at 4oC. For long-term, aliquot and store at -20oC. Avoid repeated freezing and thawing.

Cross
Bulk Quote Request Form
Name*:
Organization*:
Email*:
Phone Number*:
Catalog No.*:
Comments and Specifics(amount, formulation, etc.)*:
Validation code: Captchapackage Image


Can't read the image? click here to refresh.
    *required field

Your bulk quote request has been submitted successfully!

Please contact us if you have any questions.