• Tel: 858.663.9055
  • SeparatorEmail: info@nsjbio.com
  • Tel: 858.663.9055
  • Email: info@nsjbio.com
Home >> Antibodies >> NRG1 Antibody / Neuregulin 1

NRG1 Antibody / Neuregulin 1 (R31075)

  Catalog No Formulation Size Price (USD)  
Image R31075 0.5mg/ml if reconstituted with 0.2ml sterile DI water 100 ug 449
Bulk quote request
Immunofluorescent staining of FFPE human U-2 OS cells with NRG1 antibody (green) and Beta Tubulin mAb (red). HIER: steam section in pH6 citrate buffer for 20 min.
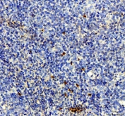
IHC staining of FFPE human tonsil tissue with NRG1 antibody. HIER: boil tissue sections in pH8 EDTA for 20 min and allow to cool before testing.
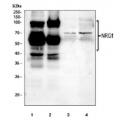
Western blot testing of 1) human A549, 2) human HaCaT, 3) rat brain and 4) mouse brain tissue lysate with NRG1 antibody. Predicted molecular weight ~70 kDa, but due to multiple isoforms and glycosylation this protein may be observed at a broad range of molecular weights.
Availability 1-3 business days
Species Reactivity Human, Mouse, Rat
Format Antigen affinity purified
Host Rabbit
Clonality Polyclonal (rabbit origin)
Isotype Rabbit IgG
Purity Antigen affinity
Buffer Lyophilized from 1X PBS with 2% Trehalose
UniProt Q02297
Localization Cytoplasm, nucleus, membrane
Applications Western Blot : 0.5-1ug/ml
Immunohistochemistry (FFPE) : 2-5ug/ml
Immunofluorescence : 5ug/ml
Limitations This NRG1 antibody is available for research use only.
Review this product on BioCompare and get a $20 Amazon gift card

Related Products

Description

Neuregulin 1, also known as ARIA, NDF or HRGA, is a protein that in humans is encoded by the NRG1 gene. It is one of four proteins in the neuregulin family that act on the EGFR family of receptors. By in situ hybridization of a tritium-labeled probe to human metaphase spreads, Orr-Urtreger et al. (1993) localized the gene to 8p21-p12. In mouse embryos 14.5 days postcoitum, Orr-Urtreger et al. (1993) found that NRG1 expression is confined predominantly to the central and peripheral nervous systems, including the neuroepithelium that lines the lateral ventricles of the brain, the ventral horn of the spinal cord, and the intestinal as well as dorsal root ganglia.

Application Notes

The stated application concentrations are suggested starting amounts. Titration of the NRG1 antibody may be required due to differences in protocols and secondary/substrate sensitivity.

Immunogen

An amino acid sequence from the C-terminus of human Neuregulin 1 (RFSTQEEIQARLSSVIANQD) was used as the immunogen for this NRG1 antibody.

Storage

After reconstitution, the NRG1 antibody can be stored for up to one month at 4oC. For long-term, aliquot and store at -20oC. Avoid repeated freezing and thawing.

Cross
Bulk Quote Request Form
Name*:
Organization*:
Email*:
Phone Number*:
Catalog No.*:
Comments and Specifics(amount, formulation, etc.)*:
Validation code: Captchapackage Image


Can't read the image? click here to refresh.
    *required field

Your bulk quote request has been submitted successfully!

Please contact us if you have any questions.