• Tel: 858.663.9055
  • SeparatorEmail: info@nsjbio.com
  • Tel: 858.663.9055
  • Email: info@nsjbio.com
Home >> Antibodies >> NRG1 Antibody / Neuregulin-1

NRG1 Antibody / Neuregulin-1 [clone HRGA1-1] (V7634)

  Catalog No Formulation Size Price (USD)  
Image V7634-100UG 0.2 mg/ml in 1X PBS with 0.1 mg/ml BSA (US sourced) and 0.05% sodium azide 100 ug 559
Image
V7634-20UG 0.2 mg/ml in 1X PBS with 0.1 mg/ml BSA (US sourced) and 0.05% sodium azide 20 ug 259
Image
V7634SAF-100UG 1 mg/ml in 1X PBS; BSA free, sodium azide free 100 ug 559
Bulk quote request
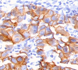
IHC staining of FFPE human breast carcinoma with NRG1 antibody (clone HRGA1-1). HIER: boil tissue sections in pH 9 10mM Tris with 1mM EDTA for 10-20 min and allow to cool before testing.
Availability 1-3 business days
Species Reactivity Human
Format Purified
Host Mouse
Clonality Monoclonal (mouse origin)
Isotype Mouse IgG1, kappa
Clone Name HRGA1-1
Purity Protein G affinity chromatography
UniProt Q02297
Localization Cell surface, cytoplasmic
Applications Immunohistochemistry (FFPE) : 1-2ug/ml
Limitations This NRG1 antibody is available for research use only.
Review this product on BioCompare and get a $20 Amazon gift card

Related Products

Description

NRG1 antibody targets neuregulin-1, a member of the epidermal growth factor family that plays a vital role in cell signaling and development. Neuregulin-1 interacts primarily with ERBB family receptors, stimulating diverse cellular responses including proliferation, survival, and differentiation. It is widely expressed in neural, cardiac, and epithelial tissues, where it contributes to processes such as axon myelination, synaptic plasticity, and cardiac morphogenesis. By binding to ERBB2, ERBB3, and ERBB4 receptors, NRG1 helps regulate communication between neurons and glial cells, making it a key protein for nervous system health.

NRG1 antibody has highlighted its importance in disease mechanisms. Aberrant signaling of neuregulin-1 and its receptors has been implicated in several forms of cancer, including breast and lung carcinoma, where dysregulated growth factor signaling promotes tumor progression. In addition, altered NRG1 expression has been studied in schizophrenia and other neuropsychiatric disorders due to its role in synaptic transmission. Investigators often focus on its involvement in demyelinating diseases, given its essential function in Schwann cell development and peripheral nerve repair.

The recombinant clone against neuregulin-1 provides researchers with a reliable tool for assays such as western blot, immunohistochemistry, and flow cytometry. Clone validation studies demonstrate strong specificity, ensuring dependable detection of the protein in tissue extracts and cell-based systems. This antibody has proven useful for evaluating signaling cascades downstream of ERBB receptor activation and for assessing how neuregulin-1 contributes to cellular crosstalk in developmental and disease contexts.

NSJ Bioreagents supplies this NRG1 antibody for research applications, helping scientists explore pathways related to neurobiology, oncology, and cardiovascular function. Alternate names include neuregulin-1 antibody, GGF2 antibody, ARIA antibody, heregulin antibody, NDF antibody, HRG antibody, and HGL antibody.

Application Notes

Optimal dilution of the NRG1 antibody should be determined by the researcher.

Immunogen

A recombinant human partial protein (amino acids 21-242) was used as the immunogen for the NRG1 antibody.

Storage

Store the NRG1 antibody at 2-8oC (with azide) or aliquot and store at -20oC or colder (without azide).

Cross
Bulk Quote Request Form
Name*:
Organization*:
Email*:
Phone Number*:
Catalog No.*:
Comments and Specifics(amount, formulation, etc.)*:
Validation code: Captchapackage Image


Can't read the image? click here to refresh.
    *required field

Your bulk quote request has been submitted successfully!

Please contact us if you have any questions.