• Tel: 858.663.9055
  • SeparatorEmail: info@nsjbio.com
  • Tel: 858.663.9055
  • Email: info@nsjbio.com
Home >> Antibodies >> NRAS Antibody

NRAS Antibody [clone DBC-14] (RQ4865)

  Catalog No Formulation Size Price (USD)  
Image RQ4865 Antibody in PBS with 0.02% sodium azide, 50% glycerol and 0.4-0.5mg/ml BSA 100 ul 449
Microvalidated Rab Mono Image
Bulk quote request
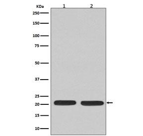
Western blot testing of 1) rat C6 and 2) human Jurkat cell lysate with NRAS antibody. Predicted molecular weight ~21 kDa.
Availability 1-2 weeks
Species Reactivity Human, Rat
Format Purified
Host Rabbit
Clonality Rabbit Monoclonal
Isotype Rabbit IgG
Clone Name DBC-14
Purity Affinity purified
UniProt P01111
Applications Western Blot : 1:10000-1:20000
Limitations This NRAS antibody is available for research use only.
Review this product on BioCompare and get a $20 Amazon gift card

Related Products

  • Applications : WB, ELISA
    Reactivity : Human, Rat
    Pred. Reactivity : Chicken, Mouse, Pig
  • Applications : WB
    Reactivity : Human
  • Applications : WB, FACS, IF, ELISA
    Reactivity : Human, Mouse, Rat
  • Applications : IHC, FACS, WB, ELISA
    Reactivity : Human
    Pred. Reactivity : Pig
  • Applications : WB, IHC, ELISA (peptide)
    Reactivity : Human, Rat
  • Applications : WB
    Reactivity : Rat
    Pred. Reactivity : Human, Pig

Description

NRAS is a membrane protein that shuttles between the Golgi apparatus and the plasma membrane. This shuttling is regulated through palmitoylation and depalmitoylation by the ZDHHC9-GOLGA7 complex. It has intrinsic GTPase activity, is activated by a guanine nucleotide-exchange factor and inactivated by a GTPase activating protein. Mutations in the gene have been associated with somatic rectal cancer, follicular thyroid cancer, autoimmune lymphoproliferative syndrome, Noonan syndrome, and juvenile myelomonocytic leukemia. [RefSeq]

Application Notes

Optimal dilution of the NRAS antibody should be determined by the researcher.

Immunogen

A synthetic peptide specific to human NRAS was used as the immunogen for the NRAS antibody.

Storage

Store the NRAS antibody at -20oC.

Cross
Bulk Quote Request Form
Name*:
Organization*:
Email*:
Phone Number*:
Catalog No.*:
Comments and Specifics(amount, formulation, etc.)*:
Validation code: Captchapackage Image


Can't read the image? click here to refresh.
    *required field

Your bulk quote request has been submitted successfully!

Please contact us if you have any questions.