• Tel: 858.663.9055
  • SeparatorEmail: info@nsjbio.com
  • Tel: 858.663.9055
  • Email: info@nsjbio.com
Home >> Antibodies >> NR5A2 Antibody / LRH1

NR5A2 Antibody / LRH1 (RQ8271)

  Catalog No Formulation Size Price (USD)  
Image RQ8271 0.5mg/ml if reconstituted with 0.2ml sterile DI water 100 ug 449
Bulk quote request
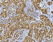
IHC staining of FFPE human colorectal adenocarcinoma tissue with NR5A2 antibody. HIER: boil tissue sections in pH8 EDTA for 20 min and allow to cool before testing.
IHC staining of FFPE human parotid acinar cell carcinoma tissue with NR5A2 antibody. HIER: boil tissue sections in pH8 EDTA for 20 min and allow to cool before testing.
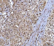
IHC staining of FFPE human bladder urothelial carcinoma tissue with NR5A2 antibody. HIER: boil tissue sections in pH8 EDTA for 20 min and allow to cool before testing.
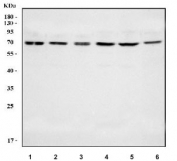
Western blot testing of human 1) HepG2, 2) A549, 3) Caco-2, 4) 293T, 5) MCF7 and 6) K562 cell lysate with NR5A2 antibody. Predicted molecular weight ~61 kDa.
Flow cytometry testing of fixed and permeabilized human Caco-2 cells with NR5A2 antibody at 1ug/million cells (blocked with goat sera); Red=cells alone, Green=isotype control, Blue= NR5A2 antibody.
Availability 1-3 business days
Species Reactivity Human
Format Antigen affinity purified
Host Rabbit
Clonality Polyclonal
Isotype Rabbit IgG
Purity Antigen affinity purified
Buffer Lyophilized from 1X PBS with 2% Trehalose
UniProt O00482
Applications Western Blot : 0.5-1ug/ml
Immunohistochemistry (FFPE) : 2-5ug/ml
Flow Cytometry : 1-3ug/million cells
Direct ELISA : 0.1-0.5ug/ml
Limitations This NR5A2 antibody is available for research use only.
Review this product on BioCompare and get a $20 Amazon gift card

Related Products

Description

NR5A2 (nuclear receptor subfamily 5, group A, member 2) also known as liver receptor homolog-1 (LRH-1) is a protein that in humans is encoded by the NR5A2 gene. LRH-1 is a member of the nuclear receptor family of intracellular transcription factors. LRH-1 plays a critical role in the regulation of development, cholesterol transport, bile acid homeostasis and steroidogenesis. LRH-1 is important for maintaining pluripotence of stem cells during embryonic development. Liver receptor homolog-1 has been shown to interact with the small heterodimer partner.

Application Notes

Optimal dilution of the NR5A2 antibody should be determined by the researcher.

Immunogen

An E.coli-derived human recombinant protein (K192-A508) was used as the immunogen for the NR5A2 antibody.

Storage

After reconstitution, the NR5A2 antibody can be stored for up to one month at 4oC. For long-term, aliquot and store at -20oC. Avoid repeated freezing and thawing.

Cross
Bulk Quote Request Form
Name*:
Organization*:
Email*:
Phone Number*:
Catalog No.*:
Comments and Specifics(amount, formulation, etc.)*:
Validation code: Captchapackage Image


Can't read the image? click here to refresh.
    *required field

Your bulk quote request has been submitted successfully!

Please contact us if you have any questions.