• Tel: 858.663.9055
  • SeparatorEmail: info@nsjbio.com
  • Tel: 858.663.9055
  • Email: info@nsjbio.com
Home >> Antibodies >> Nr4a2 Antibody / Nurr1

Nr4a2 Antibody / Nurr1 (F54757)

  Catalog No Formulation Size Price (USD)  
Image F54757-0.4ML In 1X PBS, pH 7.4, with 0.09% sodium azide 0.4 ml 439
Image
F54757-0.08ML In 1X PBS, pH 7.4, with 0.09% sodium azide 0.08 ml 205
Bulk quote request
Western blot testing of mouse pancreas tissue lysate with Nr4a2 antibody. Predicted molecular weight ~67 kDa.
Western blot testing of 1) mouse brain and 2) rat brain tissue lysate with Nr4a2 antibody. Predicted molecular weight ~67 kDa.
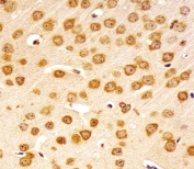
IHC testing of FFPE mouse brain tissue with Nr4a2 antibody. HIER: steam section in pH6 citrate buffer for 20 min and allow to cool prior to staining.
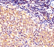
IHC testing of FFPE mouse spleen tissue with Nr4a2 antibody. HIER: steam section in pH6 citrate buffer for 20 min and allow to cool prior to staining.
Availability 1-3 business days
Species Reactivity Mouse, Rat
Format Purified
Host Rabbit
Clonality Polyclonal (rabbit origin)
Isotype Rabbit Ig
Purity Antigen affinity purified
UniProt Q06219
Localization Cytoplasmic, nuclear
Applications Western Blot : 1:1000-1:2000
Immunohistochemistry (FFPE) : 1:25
Limitations This Nr4a2 antibody is available for research use only.
Review this product on BioCompare and get a $20 Amazon gift card

Related Products

  • Applications : IHC, IF, WB, ELISA
    Reactivity : Human, Mouse
    Pred. Reactivity : Bovine, Rat

Description

Transcriptional regulator which is important for the differentiation and maintenance of meso-diencephalic dopaminergic (mdDA) neurons during development. It is crucial for expression of a set of genes such as SLC6A3, SLC18A2, TH and DRD2 which are essential for development of mdDA neurons. [UniProt]

Application Notes

The stated application concentrations are suggested starting points. Titration of the Nr4a2 antibody may be required due to differences in protocols and secondary/substrate sensitivity.

Immunogen

A portion of amino acids 164-197 from the mouse protein was used as the immunogen for the Nr4a2 antibody.

Storage

Aliquot the Nr4a2 antibody and store frozen at -20oC or colder. Avoid repeated freeze-thaw cycles.

Cross
Bulk Quote Request Form
Name*:
Organization*:
Email*:
Phone Number*:
Catalog No.*:
Comments and Specifics(amount, formulation, etc.)*:
Validation code: Captchapackage Image


Can't read the image? click here to refresh.
    *required field

Your bulk quote request has been submitted successfully!

Please contact us if you have any questions.