• Tel: 858.663.9055
  • SeparatorEmail: info@nsjbio.com
  • Tel: 858.663.9055
  • Email: info@nsjbio.com
Home >> Antibodies >> NR1D1 Antibody / Nuclear receptor subfamily 1 group D member 1

NR1D1 Antibody / Nuclear receptor subfamily 1 group D member 1 (FY12968)

  Catalog No Formulation Size Price (USD)  
Image FY12968 Adding 0.2 ml of distilled water will yield a concentration of 500 ug/ml 100 ug 449
Bulk quote request
Western blot analysis of NR1D1 using anti-NR1D1 antibody. Electrophoresis was performed on a 10% SDS-PAGE gel at 80V (Stacking gel) / 120V (Resolving gel) for 2 hours. Lane 1: human whole cell lysates, Lane 2: human U251 whole cell lysates, Lane 3: human U2OS whole cell lysates, Lane 4: human Hacat whole cell lysates, Lane 5: rat heart tissue lysates, Lane 6: mouse heart tissue lysates. After electrophoresis, proteins were transferred to a nitrocellulose membrane at 150 mA for 50-90 minutes. Blocked the membrane with 5% non-fat milk/TBS for 1.5 hour at RT. The membrane was incubated with rabbit anti-NR1D1 antibody at 0.5 ug/ml overnight at 4oC, then washed with TBS-0.1%Tween 3 times with 5 minutes each and probed with a goat anti-rabbit IgG-HRP secondary antibody at a dilution of 1:5000 for 1.5 hour at RT. The signal was developed using an ECL Plus Western Blotting Substrate. A specific band was detected for NR1D1 at approximately 67 kDa. The expected molecular weight of NR1D1 is ~67 kDa.
Western blot analysis of NR1D1 using anti-NR1D1 antibody. Electrophoresis was performed on a 10% SDS-PAGE gel at 80V (Stacking gel) / 120V (Resolving gel) for 2 hours. Lane 1: human whole cell lysates, Lane 2: human HepG2 whole cell lysates, Lane 3: human Jurkat whole cell lysates, Lane 4: human Hela whole cell lysates, Lane 5: rat RH-35 whole cell lysates, Lane 6: mouse NIH/3T3 whole cell lysates. After electrophoresis, proteins were transferred to a nitrocellulose membrane at 150 mA for 50-90 minutes. Blocked the membrane with 5% non-fat milk/TBS for 1.5 hour at RT. The membrane was incubated with rabbit anti-NR1D1 antibody at 1:1000 overnight at 4oC, then washed with TBS-0.1%Tween 3 times with 5 minutes each and probed with a goat anti-rabbit IgG-HRP secondary antibody at a dilution of 1:5000 for 1.5 hour at RT. The signal was developed using an ECL Plus Western Blotting Substrate. A specific band was detected for NR1D1 at approximately 67 kDa. The expected molecular weight of NR1D1 is ~67 kDa.
Immunohistochemical staining of NR1D1 using anti-NR1D1 antibody. NR1D1 was detected in a paraffin-embedded section of human breast cancer tissue. Heat mediated antigen retrieval was performed in EDTA buffer (pH 8.0, epitope retrieval solution). The tissue section was blocked with 10% goat serum. The tissue section was then incubated with 2 ug/ml rabbit anti-NR1D1 antibody overnight at 4oC. Peroxidase Conjugated Goat Anti-rabbit IgG was used as secondary antibody and incubated for 30 minutes at 37oC. The tissue section was developed using an HRP secondary and DAB substrate.
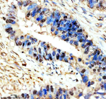
Immunohistochemical staining of NR1D1 using anti-NR1D1 antibody. NR1D1 was detected in a paraffin-embedded section of human colon cancer tissue. Heat mediated antigen retrieval was performed in EDTA buffer (pH 8.0, epitope retrieval solution). The tissue section was blocked with 10% goat serum. The tissue section was then incubated with 2 ug/ml rabbit anti-NR1D1 antibody overnight at 4oC. Peroxidase Conjugated Goat Anti-rabbit IgG was used as secondary antibody and incubated for 30 minutes at 37oC. The tissue section was developed using an HRP secondary and DAB substrate.
Immunohistochemical staining of NR1D1 using anti-NR1D1 antibody. NR1D1 was detected in a paraffin-embedded section of human colon tissue. Heat mediated antigen retrieval was performed in EDTA buffer (pH 8.0, epitope retrieval solution). The tissue section was blocked with 10% goat serum. The tissue section was then incubated with 2 ug/ml rabbit anti-NR1D1 antibody overnight at 4oC. Peroxidase Conjugated Goat Anti-rabbit IgG was used as secondary antibody and incubated for 30 minutes at 37oC. The tissue section was developed using an HRP secondary and DAB substrate.
Flow Cytometry analysis of U251 cells using anti-NR1D1 antibody. Overlay histogram showing U251 cells stained with (Blue line). The cells were fixed with 4% paraformaldehyde and blocked with 10% normal goat serum. And then incubated with rabbit anti-NR1D1 antibody (1 ug/million cells) for 30 min at 20oC. DyLight 488 conjugated goat anti-rabbit IgG (5-10 ug/million cells) was used as secondary antibody for 30 minutes at 20oC. Isotype control antibody (Green line) was rabbit IgG (1 ug/million cells) used under the same conditions. Unlabelled sample without incubation with primary antibody and secondary antibody (Red line) was used as a blank control.
Availability 1-2 days
Species Reactivity Human, Mouse, Rat
Format Lyophilized
Host Rabbit
Clonality Polyclonal (rabbit origin)
Isotype Rabbit IgG
Purity Immunogen affinity purified
Buffer Each vial contains 4 mg Trehalose, 0.9 mg NaCl, 0.2 mg Na2HPO4.
UniProt P20393
Localization Nuclear, cytoplasmic
Applications Western Blot : 0.25-0.5ug/ml
Immunohistochemistry : 2-5ug/ml
Flow Cytometry : 1-3ug/million cells
Limitations This NR1D1 antibody is available for research use only.
Review this product on BioCompare and get a $20 Amazon gift card

Description

NR1D1 antibody detects Nuclear receptor subfamily 1 group D member 1, a transcriptional repressor that plays an essential role in circadian rhythm regulation, lipid metabolism, and inflammation. The UniProt recommended name is Nuclear receptor subfamily 1 group D member 1 (NR1D1), also known as Rev-erb alpha. NR1D1 is a ligand-dependent nuclear receptor that acts as a heme-binding transcriptional repressor, linking metabolic cues to circadian clock gene expression.

Functionally, NR1D1 antibody recognizes a 65 kDa nuclear protein that represses transcription by binding to Rev-erb response elements (ROREs) within target gene promoters. NR1D1 lacks the classical activation domain found in many nuclear receptors and instead recruits corepressor complexes such as NCoR and HDAC3 to silence transcription. Its oscillatory expression pattern forms part of the molecular circadian clock, antagonizing the activity of the transcriptional activator ROR alpha to maintain rhythmic gene expression. NR1D1 also regulates genes involved in lipid and glucose metabolism, mitochondrial biogenesis, and immune function.

The NR1D1 gene is located on chromosome 17q21.2 and encodes a protein composed of a DNA-binding domain with two zinc fingers and a ligand-binding domain that interacts with heme. Binding of heme modulates NR1D1 conformation and repressor activity, making it a redox-sensitive regulator of transcription. Through this mechanism, NR1D1 couples cellular metabolic state to circadian oscillations and energy balance. It directly represses key metabolic genes such as PGC-1alpha and BMAL1, thereby coordinating mitochondrial output and lipid storage cycles.

In metabolic tissues such as liver, skeletal muscle, and adipose tissue, NR1D1 acts as a gatekeeper for energy utilization. Its activation suppresses lipogenesis and promotes fatty acid oxidation. Dysregulation of NR1D1 expression has been associated with obesity, type 2 diabetes, and inflammatory disorders. Additionally, NR1D1 influences macrophage polarization and cytokine production, linking circadian control to immune homeostasis.

NR1D1 antibody is widely used in chronobiology, endocrinology, and transcriptional regulation research. It is valuable for immunoblotting, chromatin immunoprecipitation (ChIP), and immunofluorescence to study nuclear localization, DNA binding, and protein interactions. The antibody helps elucidate NR1D1's involvement in circadian rhythm synchronization, metabolic adaptation, and disease-related transcriptional control. In cancer research, altered NR1D1 expression influences tumor metabolism and proliferation, reflecting its broader impact on cellular energy networks.

Structurally, NR1D1 forms homodimers or heterodimers with nuclear receptor corepressors and interacts with histone deacetylases to remodel chromatin. Post-translational regulation includes phosphorylation and SUMOylation, which modulate its stability and DNA-binding affinity. NSJ Bioreagents provides NR1D1 antibody reagents validated for use in circadian biology, metabolism, and transcriptional regulation studies.

Application Notes

Optimal dilution of the NR1D1 antibody should be determined by the researcher.

Immunogen

A synthetic peptide corresponding to a sequence in the middle region of human NR1D1 was used as the immunogen for the NR1D1 antibody.

Storage

After reconstitution, the NR1D1 antibody can be stored for up to one month at 4oC. For long-term, aliquot and store at -20oC. Avoid repeated freezing and thawing.

Cross
Bulk Quote Request Form
Name*:
Organization*:
Email*:
Phone Number*:
Catalog No.*:
Comments and Specifics(amount, formulation, etc.)*:
Validation code: Captchapackage Image


Can't read the image? click here to refresh.
    *required field

Your bulk quote request has been submitted successfully!

Please contact us if you have any questions.