• Tel: 858.663.9055
  • SeparatorEmail: info@nsjbio.com
  • Tel: 858.663.9055
  • Email: info@nsjbio.com
Home >> Antibodies >> NPAS4 Antibody

NPAS4 Antibody (R33318)

  Catalog No Formulation Size Price (USD)  
Image R33318-100UG 0.5 mg/ml in 1X TBS, pH7.3, with 0.5% BSA (US sourced) and 0.02% sodium azide 100 ug 475
Bulk quote request
Western blot testing of human frontal cortex lysate with NPAS4 antibody at 0.3ug/ml. Predicted molecular weight ~87 kDa.
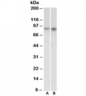
Western blot of mouse (A) and rat (B) brain lysates with NPAS4 antibody at 1ug/ml. Predicted molecular weight ~87 kDa.
Availability 1-3 business days
Species Reactivity Human, Mouse, Rat
Predicted Reactivity Dog, Cow
Format Antigen affinity purified
Host Goat
Clonality Polyclonal (goat origin)
Isotype Goat Ig
Purity Antigen affinity
Gene ID 266743
Applications Western Blot : 0.3-1ug/ml
ELISA (peptide) LOD : 1:4000
Limitations This NPAS4 antibody is available for research use only.
Review this product on BioCompare and get a $20 Amazon gift card

Description

Additional name(s) for this target protein: Neuronal PAS domain protein 4

Application Notes

Optimal dilution of the NPAS4 antibody should be determined by the researcher.

Immunogen

Amino acids CRFNTSKSLRRQS were used as the immunogen for this NPAS4 antibody.

Storage

Aliquot and store the NPAS4 antibody at -20oC.

Cross
Bulk Quote Request Form
Name*:
Organization*:
Email*:
Phone Number*:
Catalog No.*:
Comments and Specifics(amount, formulation, etc.)*:
Validation code: Captchapackage Image


Can't read the image? click here to refresh.
    *required field

Your bulk quote request has been submitted successfully!

Please contact us if you have any questions.