• Tel: 858.663.9055
  • SeparatorEmail: info@nsjbio.com
  • Tel: 858.663.9055
  • Email: info@nsjbio.com
Home >> Antibodies >> NOXA1 Antibody / NADPH oxidase activator 1

NOXA1 Antibody / NADPH oxidase activator 1 (FY13338)

  Catalog No Formulation Size Price (USD)  
Image FY13338 Adding 0.2 ml of distilled water will yield a concentration of 500 ug/ml 100 ug 449
Bulk quote request
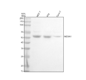
Western blot analysis of NOXA1 using anti-NOXA1 antibody. Lane 1: human MCF-7 whole cell lysates, Lane 2: human RT4 whole cell lysates, Lane 3: human Caco-2 whole cell lysates. After electrophoresis, proteins were transferred to a nitrocellulose membrane at 150 mA for 50-90 minutes. Blocked the membrane with 5% non-fat milk/TBS for 1.5 hour at RT. The membrane was incubated with rabbit anti-NOXA1 antibody at 0.5 ug/ml overnight at 4oC, then washed with TBS-0.1%Tween 3 times with 5 minutes each and probed with a goat anti-rabbit IgG-HRP secondary antibody at a dilution of 1:5000 for 1.5 hour at RT. The signal was developed using enhanced chemiluminescent. The expected molecular weight of NOXA1 is ~51 kDa.
Western blot analysis of NOXA1 using anti-NOXA1 antibody. Lane 1: human Hela whole cell lysates, Lane 2: human 293T whole cell lysates. After electrophoresis, proteins were transferred to a nitrocellulose membrane at 150 mA for 50-90 minutes. Blocked the membrane with 5% non-fat milk/TBS for 1.5 hour at RT. The membrane was incubated with rabbit anti-NOXA1 antibody at 0.5 ug/ml overnight at 4oC, then washed with TBS-0.1%Tween 3 times with 5 minutes each and probed with a goat anti-rabbit IgG-HRP secondary antibody at a dilution of 1:5000 for 1.5 hour at RT. The signal was developed using enhanced chemiluminescent. The expected molecular weight of NOXA1 is ~51 kDa.
Availability 1-2 days
Species Reactivity Human
Format Lyophilized
Host Rabbit
Clonality Polyclonal (rabbit origin)
Isotype Rabbit IgG
Purity Immunogen affinity purified
Buffer Each vial contains 4 mg Trehalose, 0.9 mg NaCl, 0.2 mg Na2HPO4.
UniProt Q86UR1
Applications Western Blot : 0.25-0.5ug/ml
ELISA : 0.1-0.5ug/ml
Limitations This NOXA1 antibody is available for research use only.
Review this product on BioCompare and get a $20 Amazon gift card

Related Products

Description

NOXA1 antibody detects NADPH oxidase activator 1, a cytoplasmic adaptor protein encoded by the NOXA1 gene located on chromosome 9q34.3. NOXA1 is an essential activator of the NADPH oxidase (NOX) enzyme family, which catalyzes the production of reactive oxygen species (ROS) in various cell types. It is highly expressed in colon, kidney, brain, and vascular smooth muscle cells, where it modulates redox signaling, host defense, and cell proliferation. NOXA1 belongs to the NOXO/NOXA family of cytosolic regulatory proteins that assemble with membrane-bound catalytic subunits to activate superoxide generation.

NOXA1 functions as an organizer and activator of NOX1 and NOX3 oxidase complexes. It forms part of a multi-protein complex that includes NOX1, NOXO1, p22phox, and Rac1/2, facilitating electron transfer from NADPH to oxygen. Through this mechanism, NOXA1 regulates ROS-dependent signaling pathways that influence gene expression, cytoskeletal dynamics, and cellular adaptation to stress. Its activation is stimulated by inflammatory cytokines, mechanical stress, and growth factors, integrating redox regulation with cell signaling networks.

Structurally, NOXA1 contains an N-terminal tetratricopeptide repeat (TPR) domain that interacts with NOXO1, a central proline-rich region for SH3 domain binding, and a C-terminal PB1 domain that mediates heterodimerization with NOX enzymes. These modular features allow NOXA1 to coordinate assembly of the active oxidase complex at the plasma membrane or endosomal compartments. NOXA1 is classified within the NADPH oxidase activator family, alongside NOXA2 (p67phox) and NOXO1, which share conserved interaction motifs.

Functionally, NOXA1 contributes to host defense and redox signaling rather than direct microbial killing, as its activity produces low levels of ROS for signaling purposes. It regulates processes such as vascular tone, cell migration, and epithelial barrier function. NOXA1 also modulates oxidative stress responses and participates in MAPK and NF-kappaB signaling cascades triggered by ROS intermediates. Co-localization studies show that NOXA1 associates with NOX1 at the plasma membrane and with cytoskeletal scaffolds in migrating cells.

Dysregulation of NOXA1 is associated with hypertension, inflammatory bowel disease, and cancer. Overexpression can enhance oxidative stress and contribute to tumor progression, while deficiency impairs epithelial defense and wound repair. Pathway involvement includes ROS-mediated signaling, PI3K-AKT, and TGF-beta pathways. Developmentally, NOXA1 expression increases during epithelial differentiation and vascular remodeling, reflecting its adaptive redox control functions.

The NOXA1 antibody from NSJ Bioreagents is a useful reagent for investigating ROS signaling, NOX complex activation, and redox-regulated cellular processes.

Application Notes

Optimal dilution of the NOXA1 antibody should be determined by the researcher.

Immunogen

E.coli-derived human NOXA1 recombinant protein (Position: A38-Q434) was used as the immunogen for the NOXA1 antibody.

Storage

After reconstitution, the NOXA1 antibody can be stored for up to one month at 4oC. For long-term, aliquot and store at -20oC. Avoid repeated freezing and thawing.

Cross
Bulk Quote Request Form
Name*:
Organization*:
Email*:
Phone Number*:
Catalog No.*:
Comments and Specifics(amount, formulation, etc.)*:
Validation code: Captchapackage Image


Can't read the image? click here to refresh.
    *required field

Your bulk quote request has been submitted successfully!

Please contact us if you have any questions.