• Tel: 858.663.9055
  • SeparatorEmail: info@nsjbio.com
  • Tel: 858.663.9055
  • Email: info@nsjbio.com
Home >> Antibodies >> NOX5 Antibody

NOX5 Antibody (RQ5745)

  Catalog No Formulation Size Price (USD)  
Image RQ5745 0.5mg/ml if reconstituted with 0.2ml sterile DI water 100 ug 449
Bulk quote request
Immunofluorescent staining of FFPE human SiHa cells with NOX5 antibody (green) and DAPI nuclear stain (blue). HIER: steam section in pH6 citrate buffer for 20 min.
IHC staining of FFPE human lung cancer with NOX5 antibody. HIER: boil tissue sections in pH8 EDTA for 20 min and allow to cool before testing.
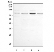
Western blot testing of human 1) Jurkat, 2) Raji, 3) HeLa and 4) 293T cell lysate with NOX5 antibody. Predicted molecular weight: ~86 kDa.
Flow cytometry testing of fixed and permeabilized human HeLa cells with NOX5 antibody at 1ug/million cells (blocked with goat sera); Red=cells alone, Green=isotype control, Blue= NOX5 antibody.
Availability 1-3 business days
Species Reactivity Human
Format Antigen affinity purified
Host Rabbit
Clonality Polyclonal (rabbit origin)
Isotype Rabbit IgG
Purity Affinity purified
Buffer Lyophilized from 1X PBS with 2% Trehalose
UniProt Q96PH1
Localization Cytoplasmic (ER)
Applications Western Blot : 0.5-1ug/ml
Immunohistochemistry (FFPE) : 2-5ug/ml
Flow Cytometry : 1-3ug/million cells
Immunofluorescence : 5ug/ml
Direct ELISA : 0.1-0.5ug/ml
Limitations This NOX5 antibody is available for research use only.
Review this product on BioCompare and get a $20 Amazon gift card

Related Products

  • Applications : WB, IHC-P, ICC
    Reactivity : Human
  • Applications : WB, ELISA
    Reactivity : Human
  • Applications : WB, ELISA (peptide)
    Reactivity : Human
  • Applications : WB, IF/ICC, Direct ELISA
    Reactivity : Human

Description

NOX5 (Nadph Oxidase 5), also known as NOX5A or NOX5B, is a protein which in humans is encoded by the NOX5 gene. The International Radiation Hybrid Mapping Consortium mapped the NOX5 gene to chromosome 15. NOX5 is a novel NADPH oxidase that generates superoxide and functions as an H+ channel in a Ca2+-dependent manner. It is found that, when heterologously expressed, NOX5 was quiescent in unstimulated cells. However, in response to elevations of the cytosolic Ca2+ concentration, it generated large amounts of superoxide. Using RT-PCR and Southern and Western blot analyses, NOX5 was identified as a flavin-containing Ca2+-dependent oxidase present in hairy leukemic cells (HC), but not normal B cells.

Application Notes

Optimal dilution of the NOX5 antibody should be determined by the researcher.

Immunogen

Recombinant human protein (amino acids A21-F765) was used as the immunogen for the NOX5 antibody.

Storage

After reconstitution, the NOX5 antibody can be stored for up to one month at 4oC. For long-term, aliquot and store at -20oC. Avoid repeated freezing and thawing.

Cross
Bulk Quote Request Form
Name*:
Organization*:
Email*:
Phone Number*:
Catalog No.*:
Comments and Specifics(amount, formulation, etc.)*:
Validation code: Captchapackage Image


Can't read the image? click here to refresh.
    *required field

Your bulk quote request has been submitted successfully!

Please contact us if you have any questions.