• Tel: 858.663.9055
  • SeparatorEmail: info@nsjbio.com
  • Tel: 858.663.9055
  • Email: info@nsjbio.com
Home >> Antibodies >> NOX5 Antibody

NOX5 Antibody (R34044)

  Catalog No Formulation Size Price (USD)  
Image R34044-100UG 0.5 mg/ml in 1X TBS, pH7.3, with 0.5% BSA (US sourced) and 0.02% sodium azide 100 ug 475
Bulk quote request
Western blot testing of human testis lysate with NOX5 antibody. Predicted molecular weight: ~86 kDa.
Western blot testing of human adrenal gland tissue lysate with NOX5 antibody. Predicted molecular weight: ~86 kDa.
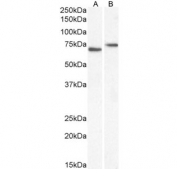
Western blot testing of human A) HeLa and B) Caco-2 cell lysate with NOX5 antibody. Predicted molecular weight: ~86 kDa.
Availability 1-3 business days
Species Reactivity Human
Format Antigen affinity purified
Host Goat
Clonality Polyclonal (goat origin)
Isotype Goat Ig
Purity Antigen affinity
UniProt Q96PH1
Gene ID 79400
Applications Western Blot : 1-3ug/ml
ELISA (peptide) LOD : 1:32000
Limitations This NOX5 antibody is available for research use only.
Review this product on BioCompare and get a $20 Amazon gift card

Related Products

  • Applications : WB, IHC-P, ICC
    Reactivity : Human
  • Applications : WB, ELISA
    Reactivity : Human
  • Applications : WB, IF/ICC, Direct ELISA
    Reactivity : Human
  • Applications : WB, IHC-P, FACS, IF, Direct ELISA
    Reactivity : Human

Description

Additional name(s) for this target protein: NADPH oxidase, EF-hand calcium binding domain 5

Application Notes

Optimal dilution of the NOX5 antibody should be determined by the researcher.

Immunogen

Amino acids EWHPFTISSAPEQKD were used as the immunogen for this NOX5 antibody. This sequence is common to isoforms v1-v6 (UniProt# Q96PH1).

Storage

Aliquot and store the NOX5 antibody at -20oC.

Cross
Bulk Quote Request Form
Name*:
Organization*:
Email*:
Phone Number*:
Catalog No.*:
Comments and Specifics(amount, formulation, etc.)*:
Validation code: Captchapackage Image


Can't read the image? click here to refresh.
    *required field

Your bulk quote request has been submitted successfully!

Please contact us if you have any questions.