• Tel: 858.663.9055
  • SeparatorEmail: info@nsjbio.com
  • Tel: 858.663.9055
  • Email: info@nsjbio.com
Home >> Antibodies >> NOX4 Antibody

NOX4 Antibody (R31029)

  Catalog No Formulation Size Price (USD)  
Image R31029 0.5mg/ml if reconstituted with 0.2ml sterile DI water 100 ug 449
Bulk quote request
Western blot testing of NOX4 antibody and rat kidney lysate. Expected molecular weight: ~65 kDa, 75-80 kDa.
Western blot testing of NOX4 antibody human 1) HepG2, 2) SW620, 3) HK-2, 4) HL-60, 5) 293T, 6) SW579 and 6) SK-OV-3 cell lysate. Expected molecular weight: ~65 kDa, 75-80 kDa.
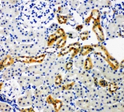
IHC-P: NOX4 antibody testing of rat kidney tissue. Required HIER: Boil the paraffin sections in 10mM citrate buffer, pH6, for 20 min.
Flow cytometry testing of human U-2 OS cells with NOX4 antibody at 1ug/10^6 cells (blocked with goat sera); Red=cells alone, Green=isotype control, Blue= NOX4 antibody.
Availability 1-3 business days
Species Reactivity Human, Mouse, Rat
Format Antigen affinity purified
Host Rabbit
Clonality Polyclonal (rabbit origin)
Isotype Rabbit IgG
Purity Antigen affinity
Buffer Lyophilized from 1X PBS with 2.5% BSA and 0.025% sodium azide/thimerosal
UniProt Q9JHI8
Localization Cytoplasmic and cell surface
Applications Western Blot : 0.5-1ug/ml
Immunohistochemistry (FFPE) : 0.5-1ug/ml
Flow Cytometry : 1-3ug/million cells
Limitations This NOX4 antibody is available for research use only.
Review this product on BioCompare and get a $20 Amazon gift card

Related Products

Description

NADPH oxidase 4, also called Renal NADPH oxidase or RENOX, is an enzyme that in humans is encoded by the NOX4 gene, and a member of the NOX family of NADPH oxidases. Geiszt et al.(2000) stated that the nucleotide sequence of NOX4 matches that found in a genomic clone on chromosome 15. In a note added in proof, they stated that genomic clones assigned to chromosome 11 also contain sequence corresponding to NADPH Oxidase 4. By FISH, Shiose et al.(2001) mapped the gene to chromosome 11q14.2-q21. Geiszt et al.(2000) found that NIH 3T3 fibroblasts overexpressing the transfected protein showed increased production of superoxide and developed signs of cellular senescence. They suggested that NOX4, as a renal source of ROS, may fulfill the function of the putative oxygen sensor in the kidney. By biochemical analysis of endogenous renal NOX4, Shiose et al.(2001) determined that the enzyme can use either NADH or NADPH as an electron donor for superoxide production.

Application Notes

The stated application concentrations are suggested starting amounts. Titration of the NOX4 antibody may be required due to differences in protocols and secondary/substrate sensitivity.

Immunogen

An amino acid sequence from the C-terminus of mouse NADPH oxidase 4 (NRNNSYGTKFEYNKES) was used as the immunogen for this NOX4 antibody (100% rat homology).

Storage

After reconstitution, the NOX4 antibody can be stored for up to one month at 4oC. For long-term, aliquot and store at -20oC. Avoid repeated freezing and thawing.

Cross
Bulk Quote Request Form
Name*:
Organization*:
Email*:
Phone Number*:
Catalog No.*:
Comments and Specifics(amount, formulation, etc.)*:
Validation code: Captchapackage Image


Can't read the image? click here to refresh.
    *required field

Your bulk quote request has been submitted successfully!

Please contact us if you have any questions.